「初极狭,才通人。复行数十步,豁然开朗。」东晋诗人陶渊明描述桃花源时有如上诗句,有山穷水复疑无路,柳暗花明又一村之感,其实,在临床上很多病例亦有类似境遇,轻微表象之下往往隐藏着较大隐患。
近日,在西安市中医医院心血管病院院长李逢春大力支持下,由心血管病院副院长张拓伟指导,陶涛副主任医师和刘毅龙主治医师协作完成三例相对「特殊」患者手术,结合常见的高血压、冠心病、肺栓塞做三则科普。
始于降压不止于降压
高血压是临床最为常见的心血管疾病之一,长期得不到有效控制时可能引起脑、心脏、肾等脏器的功能严重受损,造成多种并发症,有些并发症如主动脉夹层、脑出血可能是致命性的。很多患者在单纯降压的同时,往往会忽视高血压的溯因,即明确或排除诸如肾动脉狭窄、肾上腺疾病、甲状腺功能亢进等继发性高血压的原因。
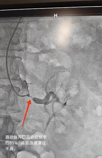
第一例患者既往高血压病史 20 余年,初期使用中效降压药即可控制,近年硝苯地平控释片 30 mg 每天两次、厄贝沙坦 150 mg 每天两次,血压仍然在 160/100 mmHg 左右。排查继发性因素时彩超发现患者左肾动脉重度狭窄及肾脏轻度萎缩,进一步肾动脉造影后明确左肾动脉开口及近段狭窄约 85%。经介入治疗后,肾动脉狭窄解除,血流恢复。


术后患者降压药减半血压即可控制较平稳,随着良好的血液灌注待患侧肾脏功能逐渐恢复,以期降压药进一步减量。
02 有一种气短是命悬一线
冠状动脉粥样硬化性心脏病是冠状动脉血管发生动脉粥样硬化病变而引起血管腔狭窄或阻塞,造成心肌缺血、缺氧或坏死而导致的心脏病,临床症状多变,有些病例较为容易被漏诊。
第二例患者主诉活动后气短,休息后好转,无胸痛、胸闷,运动耐量渐进性下降。经冠脉造影提示左主干严重病变,此类病变特点一旦发生急性冠脉事件,往往命悬一线,非常凶险,很多时候来不及到医院抢救。


经及时介入治疗并在 IVUS(血管内超声)验证后,临床症状明显好转,运动耐量恢复。
久蹲可能带来致命性后果
肺栓塞是三大致死性胸痛之一,往往继发于骨折、外科手术后、长期卧床、妊娠等情况。
第三例患者为中年男性,长期锻炼,身体素质良好,无基础疾病。起因于入院前半月下蹲给宠物洗澡时间较长,随之出现右下肢膝盖以下肿胀,未行诊治;于入院前 1 天出现气短、胸闷。虽然心电图和其他初步临床资料不典型,但医院急诊科同仁果断行肺动脉 CTA 明确双侧肺动脉栓塞。




经心血管病医院及时植入下腔静脉滤器后溶栓及强化抗凝治疗,病情明显好转。由初始吸氧状态下指脉氧 86%,改善为非吸氧时 97%,气短、胸闷及右下肢肿胀消除。以上三例病例均为心血管病科日常诊疗活动中常见疾病,轻微的表象下却隐藏着巨大的隐患。因此,患者在出现身体、疾病异常的现象和标准治疗收效不佳时,往往可以追踪到实质的病因,及时采取有效治疗可以降低疾病风险,使患者生存质量提高,预后改善。
好文章,需要你的鼓励