当胃癌术后复发连饭都吃不下,当癌症复查发现「骨转移」的迹象……对任何患者和家庭来说,这都像是被宣判了「绝境」。但在合肥京东方医院,这两条看似走投无路的路,却被多学科专家团队硬生生「凿」出了新方向。近日,合肥京东方医院肿瘤放疗科联合多科室,经历数次尝试与严密推理,成功破解两例疑难危重病例。
案例一:一根导丝,重新打通她的「生命营养线」
患者遭遇:胃癌术后,她连水都喝不进去了
一位年轻女性胃癌患者,术后不幸复发。肿瘤像一块「巨石」,死死堵住了她消化道的关键位置——输出袢。后果很残酷:她吃下的每一口食物、喝下的每一口水,都会原封不动地吐出来,甚至混杂着黄绿色的胆汁。
她彻底失去了「经口进食」的能力,只能日复一日地输注全营养混合液维持生命。这种「肠外营养」的方式,不仅每天费用高昂、必须长期住院,更随时可能引发感染、肝肾功能损伤,甚至让心脏不堪重负。
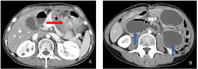
破局关键:两根导丝「减压+探路」
「不是不能做手术,是创伤太大、风险太高。」患者复发部位的解剖结构,因为初次手术已经完全改变,变得像一座复杂的「立交桥」,再加上盆腔种植转移,常规的二次开腹手术,创伤巨大,且获益有限,极有可能无法解决当下问题。
不过,她的梗阻不是完全「死」的,而是留下了一道几乎无法察觉的「缝隙」。要打通它,唯一的希望是微创介入——用比头发丝还细的导丝,在这片「迷宫」中找到正确的路径。
合肥京东方医院肿瘤放疗科联合影像科韦树华主任、肿瘤科介入治疗组,像刑侦专家一样,对着患者的片子反复研判,终于在错综复杂的影像中,锁定了那条理论上可行的「生命缝隙」。真正的挑战,在手术台上。介入治疗组专家孙东旭,操控着两根导丝开始 「探险」:
术后,患者成功实现了经鼻饲管输入肠内营养液且无呕吐,这不仅让她逐步摆脱住院完全依赖输液的日子,更意味着身体有了承受后续抗癌治疗的「本钱」,是康复路上的关键一步。



案例二:别让「惯性思维」害了你,癌症史+骨破坏,不一定是「骨转移」
患者遭遇:癌症复查发现「骨破坏」
一位老年女性,1 年半前因子宫内膜癌做了手术,一直平安无事。但最近一个月,她突然发起高烧,紧接着腰骶部疼得直不起腰。当地医院 CT 检查发现:腰椎和骶髂关节有明显的骨质破坏。
结合她的癌症病史,一个几乎「板上钉钉」的结论出现了:恶性肿瘤骨转移。这个诊断像一块巨石,再次压在了这个家庭的心头。
所有「证据」都指向转移,但医生觉得「不对劲」
肿瘤放疗科接手患者后,却没有立刻接受「骨转移」这个看似合理的结论。
「先发烧,后骨头疼,这个顺序不太对。」盛翔医生敏锐地发现了疑点。典型的骨转移,通常是疼痛在先,或者没有明显发热。
但仅凭一个疑点,就想推翻「癌症史+骨破坏 = 骨转移」这个强大的「临床常识」,谈何容易?患者炎症指标居高不下、血沉异常高值、免疫球蛋白异常……这些数据,既可以解释为肿瘤引发的副癌综合征,也可以指向感染或其他疾病。诊断,陷入了胶着状态。
曲折过程:逐一排除,步步为营,真相浮出水面
「我们不能让『惯性思维』害了患者。」治疗组决定,不急于下结论,而是启动多学科「大讨论」。
他们请来了肿瘤科血液病治疗组胡艳主任、介入治疗组孙东旭团队、影像科韦树华主任。一张张片子重新读,一个个数据重新分析。
讨论一圈,每个可能性都有支持点,也都有疑点。怎么办?穿刺活检,拿证据说话!
最终,与病理科沟通基本排除恶性肿瘤可能。结合强阳性的结核菌素试验(PPD)、阳性的 T-sport、以及影像学的蛛丝马迹,再加上与感染科赵秋香主任沟通、协商,真相终于大白:导致她腰疼和骨头破坏的「元凶」,不是癌症,可能是结核感染!
从「治癌」到「抗结核」,一个决定改变一生
如果当初骨转移的诊断被草率接受,如果医生们没有坚持「多问一个为什么」,这位患者很可能已经开始了针对「骨转移」的放化疗或靶向治疗。那将是一场彻头彻尾的错误治疗,不仅无效,还会严重摧残她的免疫系统,让真正的结核感染疯狂扩散。
正是这次严谨的、充满曲折的鉴别诊断,让患者避免了误诊误治,走上了正确的抗结核治疗之路。
这两个疑难病例的成功破解,过程并非一帆风顺,甚至充满了反复与胶着。但正是合肥京东方医院坚持的「多学科协作、精准化诊疗」模式,让专家们能够聚在一起,为同一个患者、同一个难题,从不同角度思考、碰撞、求证。
一个人打不开的锁,一群人总能找到钥匙。 未来,医院将继续打破学科壁垒,用更精湛的技术和更不轻言放弃的决心,为每一位患者的健康保驾护航。
好文章,需要你的鼓励