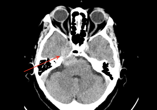
半个月前,一场突如其来的不适打破了李阿婆平静的生活 —— 莫名头晕症状,行走时摇摇晃晃,右耳听力也随之下降。当地医院颅脑 MRI 检查提示右侧岩尖区存在占位,疑似三叉神经鞘膜瘤。为寻求精准的治疗,家属带着李阿婆辗转咨询多家国内顶尖医院,得到的结论,如出一辙且令人绝望:「肿瘤位置太糟了,压着颈内动脉、小脑、脑干,还挨着好几条重要神经,手术风险极高,术后可能留后遗症,甚至有生命危险。」 接连的负面消息,让满怀期待的一家人陷入绝境。
初见黄光富教授,其和蔼可亲的态度与精神矍铄的状态,让焦虑的家属卸下了部分心防,一句 「问题不大」的结论,更给了家属莫大的信心。虽然只是简单的 4 个字,但只有医务人员才懂得其背后的分量,是数十年的临床经验沉淀,更是敢于挑战 「手术禁区」 的专业底气。

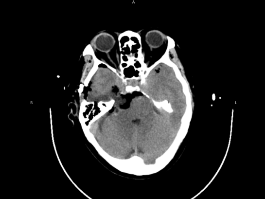
确定入院治疗后,黄光富教授既充分发挥自身专长,全程细致跟进住院事宜。在黄光富教授的带领下,神经外科团队成功为李阿婆实施了显微镜下三叉神经鞘膜瘤切除术,顺利切除这个被多家医院判定的 「高风险」 的肿瘤。患者后续恢复中,她的状态一天好过一天,最终顺利出院,与家人团圆。


此次成功救治,不仅充分展现了四川蓝生脑科医院在脑科疾病诊疗领域的专业实力,更生动体现了医院 「以患者为中心」 的人文关怀。从陷入绝境到重获新生,这场跨越 「手术禁区」 的救治,不仅守护了患者晚年健康,更温暖了一整个家庭。未来,四川蓝生脑科医院将继续不断精进脑科疾病诊疗技术,完善人文关怀服务体系,为更多被脑科疾病困扰的患者带来康复希望,用专业与温暖守护百姓脑健康。
好文章,需要你的鼓励