结构性心脏病合并复杂冠脉病变患者,尤其是高龄、多合并症人群,构成了当下心血管介入领域最为棘手的临床难题。近日,西安市中医医院顺利完成一例 PCI+TAVR 一站式手术,处理「心门」与「管路」的双重危机。
胡爷爷被心血管疾病折磨多年,经检查发现,不仅心脏主要血管严重堵塞合并重度钙化,且心脏彩超提示二叶式主动脉瓣、主动脉瓣重度狭窄(瓣口面积 0.7 cm2),跨瓣压差平均值为 54 mmHg,最高 97 mmHg,EF 值 42%,被诊断为主动脉瓣重度狭窄合并严重冠心病。
经多种药物治疗,效果均不理想,胡爷爷的病情逐渐恶化,需要尽快置换主动脉瓣,来到西安市中医医院心血管病医院就诊时,胡爷爷的病情已严重到无法平躺。
心血管医院院长李逢春立即联系麻醉科、超声科、外科、导管室、ICU、医务科等进行多学科会诊,杨征心脏泛血管介入医疗团队最终决定采取一种创新的「一站式」微创联合手术方案——同时应用两种尖端技术的经导管主动脉瓣置换术(TAVR)与冠状动脉偏心旋磨术联合支架植入术(PCI)。
对于胡爷爷这样的患者,需要先通过旋磨清理严重钙化的冠脉血管,置入支架恢复血流后,再进行主动脉瓣置换。这两种技术的联合应用,为高龄、高危患者提供了新的治疗选择。
「一站式」手术

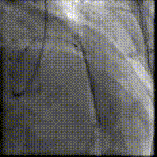
术中,杨征手术团队首先处理冠状动脉问题。造影结果显示,患者的冠脉血管不仅堵塞严重,而且钙化非常坚硬,常规器械难以通过。团队立即采用冠脉内旋磨技术,根据病变特殊性,选择高速旋转的「偏心」旋磨头对钙化部位进行处理。

与传统的同心旋磨不同,偏心旋磨系统的磨头质心与旋转轴线不重合。这种设计使得旋磨头在自转的同时,还能沿血管内壁进行公转扩径运动,扩大治疗范围,降低手术风险。尤其适用于处理过去难以治疗的血管转弯处的重度偏心型钙化斑块,能让支架得到完全扩张,减少残余狭窄。
完成血管的旋磨处理后,精准地释放了支架,冠脉血流瞬间通畅。手术团队则立即转向主动脉瓣置换。


麻醉科主任金梅生带领麻醉团队进行全身麻醉,给予全程监控保驾护航,超声科屈文涛副主任医师给予超声下指导及术前术后评估,王蓓副主任护师带领介入手术室护理团队密切配合。
通过术前的心脏超声和 CTA(CT 血管造影),已获取患者心脏的精确数据;在模型中精确测量主动脉瓣环直径、冠状动脉开口高度等关键数据,据此选择最适合的人工瓣膜型号。这个过程就像为患者「量身定做」一扇新门。



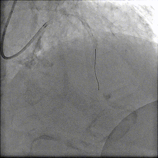
手术团队建立好通路后,沿着导丝将一个未充气的球囊送至主动脉瓣位置。球囊迅速充气膨胀,将严重钙化、几乎无法打开的「旧门」强行撑开。球囊预扩张后,真正的「主角」——压缩在输送系统中的生物瓣膜登场。团队将输送系统沿导丝送至主动脉瓣区域,在 DSA 透视和超声的双重引导下,精确调整瓣膜位置,确保新瓣膜既不会堵塞冠状动脉开口,也不会影响二尖瓣功能。当瓣膜位置确认无误后,开始缓慢释放瓣膜。
由于患者基础心功能极差,不能耐受瓣膜的多次回收释放。团队凭借丰富经验,在默契配合下仅一次就迅速将瓣膜完美植入既定位置。瓣膜释放后,跨瓣压瞬间清零。通过超声和主动脉根部造影评估手术效果:瓣膜释放位置正常,瓣膜启闭正常,无瓣周漏,术后转入 ICU 密切监测。
胡爷爷的 PCI+TAVR 一站式手术顺利完成。术后心衰症状得到明显缓解,心率血压趋于平稳;6 小时后,可以在床上简单活动;术后第二天就转回普通病房,他已经能够下床站立。复查心脏彩超显示,他的左心室舒张末径较术前有所减小,射血分数从术前的 42% 上升至 48%,心脏整体情况得到明显改善。

来源:心血管病医院 李臻
好文章,需要你的鼓励