来源:《临床儿科杂志》
1 岁多的幼儿误吞纽扣电池,3 小时后就诊取出,却仍在 4 天后发生食管穿孔;51 颗磁力珠在孩子胃里相互吸引,造成多发溃疡……这些并非个案,而是本刊 2025 年第 4 期刊发的《儿童消化道内异物 614 例分析:一项单中心回顾性研究》[1] 一文中的真实病例。本文一经发表引起社会广泛关注,数百个病例再次为家长们敲响了儿童安全防护的警钟。
本研究显示,614 例患儿中,男女比例约 1.7:1,1-3 岁儿童占比高达 52.34%。这个阶段的孩子正处于「口欲期」,喜欢用嘴巴探索世界,而家长稍不留意,身边的小物件就可能变成「致命凶器」。
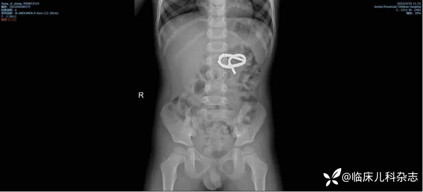
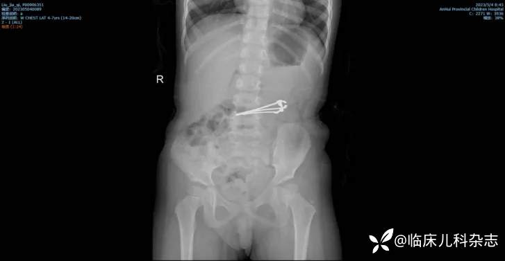
从异物类型来看,磁力珠、纽扣电池、尖锐金属 堪称「三大凶器」:
41 例磁力珠误食患儿中,22 例出现消化道穿孔,部分需手术造瘘;
29 例纽扣电池误食患儿中,1 例因食管气管瘘抢救无效导致家属放弃治疗,电池的腐蚀性可在短短两小时内造成严重的组织损伤 [2];
尖锐异物(如缝衣针、枣核、刀片)易引起消化道黏膜损伤、溃疡、穿孔、瘘、憩室等并发症,甚至包括纵隔感染及胸腹腔感染。



研究发现,四分之一的患儿出现并发症,包括黏膜损伤、溃疡、穿孔等,而以下行为会显著增加风险:
拖延就医:异物滞留超过 24 小时,并发症风险飙升;
错误处理:部分家长采用「吞馒头」「喝醋」等土方法,反而加重食管损伤;
忽视症状:219 例患儿初期无症状,但尖锐异物可能在移动中突然造成穿孔。
1. 选择适合孩子年龄的玩具。检查玩具是否有容易脱落的小部件,避免孩子误吞。
2. 选择适合孩子年龄的食物。避免大块、硬物或尖锐带刺的食物给孩子带来伤害。
3. 选择简单舒适的衣物。孩子应穿着不带饰品和配件的的简单衣物。
4. 妥善放置危险物品。将家里的危险物品放在孩子接触不到的位置,如药品、酒精、碘伏、纽扣、电池、硬币、别针、洗衣液、蚊香液等。
5. 加强看护重点人群。特别是 1-3 岁幼儿、有认知障碍或异食症的儿童需加强监护,避免独自接触小物件。
总结一下就是加强看护,把家里有可能被孩子误食、误吸的东西都放在孩子无法触及的地方,给孩子易于消化、不易误食的食物。
孩子误食异物,可能会出现呛咳、憋气、哭闹、恶心、呕吐、大量流口水等症状。家长不一定能第一时间发现孩子误食了什么异物,这时要详细检查宝宝周围玩耍的物件有没有缺少。
发现孩子误食家长一定要牢记,如果咽部有异物,绝不可用手指推挖,也不要试图用吞咽大块食物的方法将异物咽下去,应该设法诱导孩子吐出。如果无法让孩子把东西吐出来,一定要及时送医。
(以上防护指南由「老爸评测」与「临床儿科杂志」联合提供)
参考文献:
[1] 李闵, 邓芳. 儿童消化道内异物 614 例分析:一项单中心回顾性研究 [J]. 临床儿科杂志,2025,43(4):264-270 DOI:10.12372/jcp.2025.24e1146.
[2]Litovitz T,Whitaker N,Clark L,et al.Preventing battery ingestion:an analysis of 8648 case[j]. Pediatrics,2010, 125(6):1178-1183.
好文章,需要你的鼓励