当大家都在兴高采烈地忙着假期出游时,6 岁男孩文文(化名)却因发热、贫血、血小板减少而辗转于各个医院,家长忧心忡忡。虽然在当地医院积极进行了抗感染治疗,但效果不好。文文随后还出现了高热、呕吐的症状,病情日益加重。
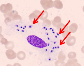
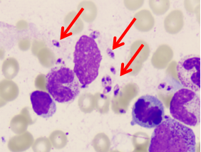
家长随后带着文文来到郑州大学第三附属医院(河南省妇幼保健院、省妇女儿童医院),经医生详细检查,还发现文文有肝、脾增大、肝门处淋巴结肿大等问题。血液科医生根据文文的临床症状及体征,为文文送检了「骨髓细胞学涂片检验」,以排除可能存在的问题。经检验科实验室工作人员在显微镜下仔细查找,终于发现了重大线索——「利杜小体」。

血液科医生收到检验报告后,及时完善了利什曼原虫相关检测,同时向文文家长解释了病情,并协助向传染病专科医院转诊。
医生及时为文文送检了「骨髓细胞形态学检验」,实验室人员准确地发现了骨髓中存在的「利杜小体」,为文文疾病的后续诊疗明确了方向。

利杜小体是利什曼原虫的无鞭毛体形态,是利什曼原虫的一个生命阶段,该阶段主要寄生于哺乳动物的巨噬细胞内,瑞吉氏染色后可见虫体卵圆形,体积小,较大的紫红色核呈圆形且偏位,胞质呈灰蓝色,细小杆状的动基体位于核旁。利什曼原虫的另一个生命阶段为前鞭毛体,该阶段寄生于白蛉的消化道内,呈梭形,一根鞭毛游离于虫体外,具有活动能力。
黑热病又称内脏利什曼病,俗称"大肚子病",是由利什曼原虫所引起的慢性地方性传染病。常有不规则发热甚至高热、脾、肝及淋巴结肿大,尤其脾明显肿大,多见全血细胞减少,皮肤黑色素沉着,故称之为黑热病。本病如不给予适当的治疗,则在发病后 1~2 年内大都可因并发症而导致死亡。有些病例可急性发作,常有寒战、发热、呕吐,可在短期内死亡。
传染源是患者和病犬,传播媒介是白蛉,传播途径是通过白蛉的叮咬吸血作用在人、犬之间相互传播。
需要结合流行病学、临床症状体征,如骨髓、脾或淋巴结穿刺物涂片发现利什曼原虫可确诊。由于该病与结缔组织病和噬血细胞综合征的临床表现相似,容易发生漏诊和误诊。其他实验室检测方法还包括:直接凝集试验、γK39 抗原免疫层析试验、组织穿刺液涂片镜检以及 PCR 反应或高通量二代测序(NGS)等分子生物学方法。
首先,若身处流行区、白蛉活动季节内(5~9 月),不在室外露宿;如需外出,需着长衣长裤,喷洒防蚊驱蛉药水。其次,家里使用细孔纱窗和蚊帐,避免蚊虫叮咬。第三,要积极消灭白蛉,打扫狗窝、圈舍及污物垃圾汇集处,改善居住地周围环境。最后还要积极治疗患病人群和管理病犬,消除传染源。
好文章,需要你的鼓励