近日,西安华厦眼表科接诊了一位特殊的患者,患者自述 1 小时前躺在沙发上正美滋滋地撸猫,猫咪突然一个喷嚏,小猫的唾液直接溅到左眼里面了,自己眼睛顿时就变得红彤彤的。值得表扬的是,这位患者第一时间就用清水冲洗眼睛,然后第一时间就来医院挂号就诊了。
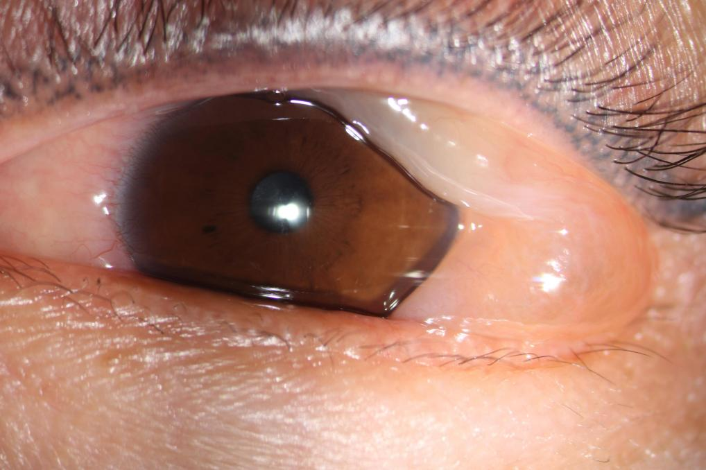
到医院后,医生在裂隙灯下观察到患者左眼结膜充血,球结膜Ⅱ°水肿,像水气球一样突出眼睛表面。

那到底为什么会出现以上情况呢?
其实是猫咪打喷嚏时,唾沫不小心飞进眼睛,引起过敏反应,这是宠物和主人亲密接触时可能会遇到的健康问题。这个偶然事件,实际上是因为人体免疫系统对猫咪唾液中的特定蛋白质反应过度造成的。
01 为什么会发生过敏?
猫咪的唾液中有多种潜在的过敏原,其中 Fel d 1 蛋白最常见。这种蛋白质由猫咪的皮脂腺、唾液腺和肛周腺分泌。猫咪舔毛时,唾液会沾在毛发上间接与人形成接触,打喷嚏时高速气流也会把这些带唾液的飞沫喷到空气里,产生直接和人接触的机会。如果飞沫不小心进眼睛,就可能引起眼部的过敏症状。即使是一些短毛猫或「低敏」品种,也可能携带这种蛋白。
02 眼部过敏会有哪些表现?
1. 眼部瘙痒: 眼结膜受过敏原刺激会产生强烈的痒感,患者会不自觉地揉眼睛,这可能会加重对结膜、角膜的摩擦损伤;
2. 结膜充血: 结膜也就是眼白部分,会出现血管扩张,呈现鲜红色或粉红色,严重时可能会波及眼睑内侧黏膜;
3. 眼睑肿胀: 上下眼睑因炎症反应出现水肿,可能会伴随轻微的疼痛或灼热感;
4. 分泌物增多: 眼部分泌物通常是清澈黏液状,如果合并细菌感染,可能会变成黄色脓性;
5. 畏光与流泪: 炎症导致角膜敏感性增加,遇到强光时会流泪加剧,视力可能会短暂模糊;
6. 全身症状: 如果过敏反应累及鼻黏膜或皮肤,还可能会伴随打喷嚏、流鼻涕、面部皮疹等全身症状。
03 眼睛过敏了应该做什么?
1. 紧急冲洗眼部: 立即用大量常温清水或生理盐水冲洗眼睛,持续 15 - 20 分钟,翻开上下眼睑确保冲洗彻底,以减少过敏原残留;
2. 局部用药缓解: 出现过敏时及时到院就诊,遵医嘱用药。
3. 避免揉眼睛和刺激: 揉眼睛可能会损伤角膜上皮,增加感染风险,可以用冷毛巾冷敷眼睑(每次 10 - 15 分钟)缓解肿胀;温馨提示,如果您也出现了「水气球」(见图 2),一定不要刺破,刺破水肿会增加感染风险,应立即就医。
4. 全身症状管理: 如果伴随全身过敏反应,可以在医生指导下口服抗过敏的药物。
5. 预防二次接触:过敏期间避免与猫咪亲密接触,暂时由家人负责喂食和清洁,接触宠物后立即洗手。定期清洁猫窝和沙发。

04 日常怎么预防眼部过敏?
频繁过敏的人,要从源头减少过敏原:
1. 猫咪护理: 定期用宠物专用沐浴露给猫洗澡,减少唾液蛋白粘在毛上;用除螨吸尘器定期清洁家,选可水洗的沙发套和窗帘。
2. 眼部防护: 和猫玩时别靠太近,尤其是猫打喷嚏、舔自己时及时躲开,必要时戴护目镜。
3. 免疫调节和医疗干预: 如果过敏症状反复,建议去医院做过敏原检测,找到过敏原后可以咨询医生是否可以进行脱敏治疗。
4. 定期健康检查: 定期做眼科检查,特别是过敏体质者,排查干眼症、结膜炎等基础眼病,避免过敏引发慢性炎症。
05 人宠共处的健康建议
猫咪是家庭的重要成员,完全隔离不是最佳选择。过敏体质者可以通过以下方式降低风险:
1. 选低 Fel d 1 蛋白的猫品种(如西伯利亚猫、巴厘猫)。

2. 保持室内通风,用空气净化器过滤过敏原。
3. 避免猫进卧室,减少夜间接触。
4. 定期修剪猫指甲,防止抓挠引发二次感染。
如果过敏症状严重影响生活质量,要在医生指导下权衡人宠健康,制定个性化共处方案。猫咪唾液入眼引发的过敏虽然常见,但及时、科学处理可以避免并发症。通过了解过敏原特性、规范应急措施并长期做好预防管理,过敏体质者也能安全享受和宠物在一起的时光。如果症状持续不缓解或出现视力下降、剧烈疼痛,要立即就医,排除角膜损伤或感染等严重情况,保护眼部健康。
图:自摄/豆包 AI 生成
好文章,需要你的鼓励