近日,华润武钢总医院甲状腺乳腺外科团队,成功为一名合并肾功能衰竭、心功能衰竭的甲状腺巨大肿瘤患者实施手术治疗,现患者已顺利康复出院。
余女士(化名)2 年前因颈部不适于总医院甲乳专科门诊就诊,甲乳外科寇祖健主任检查发现其颈部甲状腺右叶可及约鸡蛋大小结节,当即建议她手术治疗。患者合并慢性肾功能衰竭,长期行血液透析治疗,因担心手术风险,当时拒绝了手术。2 年来甲状腺肿瘤进行性增大,目前已有拳头大小,因肿瘤压迫气管,严重影响生活质量,今年 5 月,余女士再次来到华润武钢总医院甲乳外科诊治。
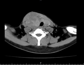
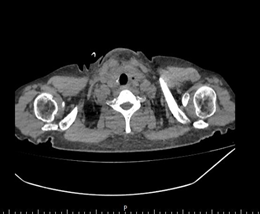
术前检查发现,余女士甲状腺右叶结节达到 10*7*5 厘米大小,气管明显受压移位。因患有慢性肾功能衰竭、肥厚型心肌病、高血压病 3 级,2 型糖尿病等多种内科疾病,长期血液透析治疗,余女士及家属对手术治疗有一定的顾虑。
寇主任及其手术团队与麻醉科、心血管内科、肾病内科、重症监护室一起进行 MDT 多学科讨论,通过充分的术前评估,制定了详细的手术方案及各种应急预案,最终消除了患者及家属的顾虑。


手术过程仅 1 小时,术中出血量 10 ml
因病灶巨大,局部解剖结构受压移位,寇主任及其手术团队通过精细化被膜解剖技术,完整显露并保护患者双侧喉返神经及甲状旁腺,顺利切除了甲状腺右叶及部分左叶。
术中病检示甲状腺双叶良性肿瘤,全部手术过程 1 小时,术中出血量 10 ml 左右。术后患者即转入重症监护病房行床边血透治疗(CRRT),术后 6 小时恢复正常饮食。
患者术后发音正常,饮水无呛咳,无手足抽搐症状,在医护人员的精心照顾下,术后 5 天即顺利出院。

专家解读
华润武钢总医院甲乳外科主任寇祖健主任介绍,甲状腺结节是很常见的疾病,女性多于男性,一般人群通过触诊的检出率为 3%-7%,借助高分辨率超声的检出率可高达 20%-76%。我国甲状腺疾病、碘营养和糖尿病全国流行病学调查 (TIDE) 项目调查了 31 个省市自治区的 78470 名 18 岁以上成人甲状腺结节的患病率是 20.43%(结节直径>0.5 cm)。甲状腺结节的患病率随着年龄和体重指数 (BMI) 增加而增加。
依据最新版(2023 版)《甲状腺结节和分化型甲状腺癌诊治指南》所示,可以考虑手术治疗的良性甲状腺结节标准如下:
1. 出现与结节明显相关的局部压迫的临床症状;
2. 结节进行性生长临床考虑有恶变倾向或合并甲状腺癌高危因素;
3. 肿物位于胸骨后或纵隔内;
4. 合并甲亢内科治疗无效以及甲状腺自主性高功能腺瘤 (TA) 和毒性多结节性甲状腺肿 (TMNG);
好文章,需要你的鼓励