「铃......」夜间延安大学附属医院儿科病房的急诊电话突然响起,值班医生任华大夫接到电话后接诊一位腹痛的患儿,原来小儿急诊收治了一位反复腹痛、高热 2 天的 9 岁小男孩,孩子因腹痛、呕吐辗转反侧,在当地医院行血常规示血象高、C-RP 增高,给予抗感染治疗,效不佳。在我院行急诊阑尾区 B 超示:右下腹所见考虑阑尾炎性改变。

下一步应该怎么办?外科手术?内科保守治疗?内镜下微创手术治疗(ERAT)?儿科大主任高春燕主任、三线李兴珍主任医师和二线马晓鹏副主任医师商议后启动 MDT 团队,并与消化内科刘鹏飞主任、普外科赵宇副主任医师讨论会诊后,当机立断决定急诊行内镜下(ERAT)手术。

在刘鹏飞主任的指导下,在王玲和呼红艳护理师的配合下,郝婷婷副主任医师为患儿急诊行 ERAT 手术。通过球囊疏通,阑尾腔内引流出大量脓性分泌物,术后患儿腹痛立即缓解,步行回到病房。

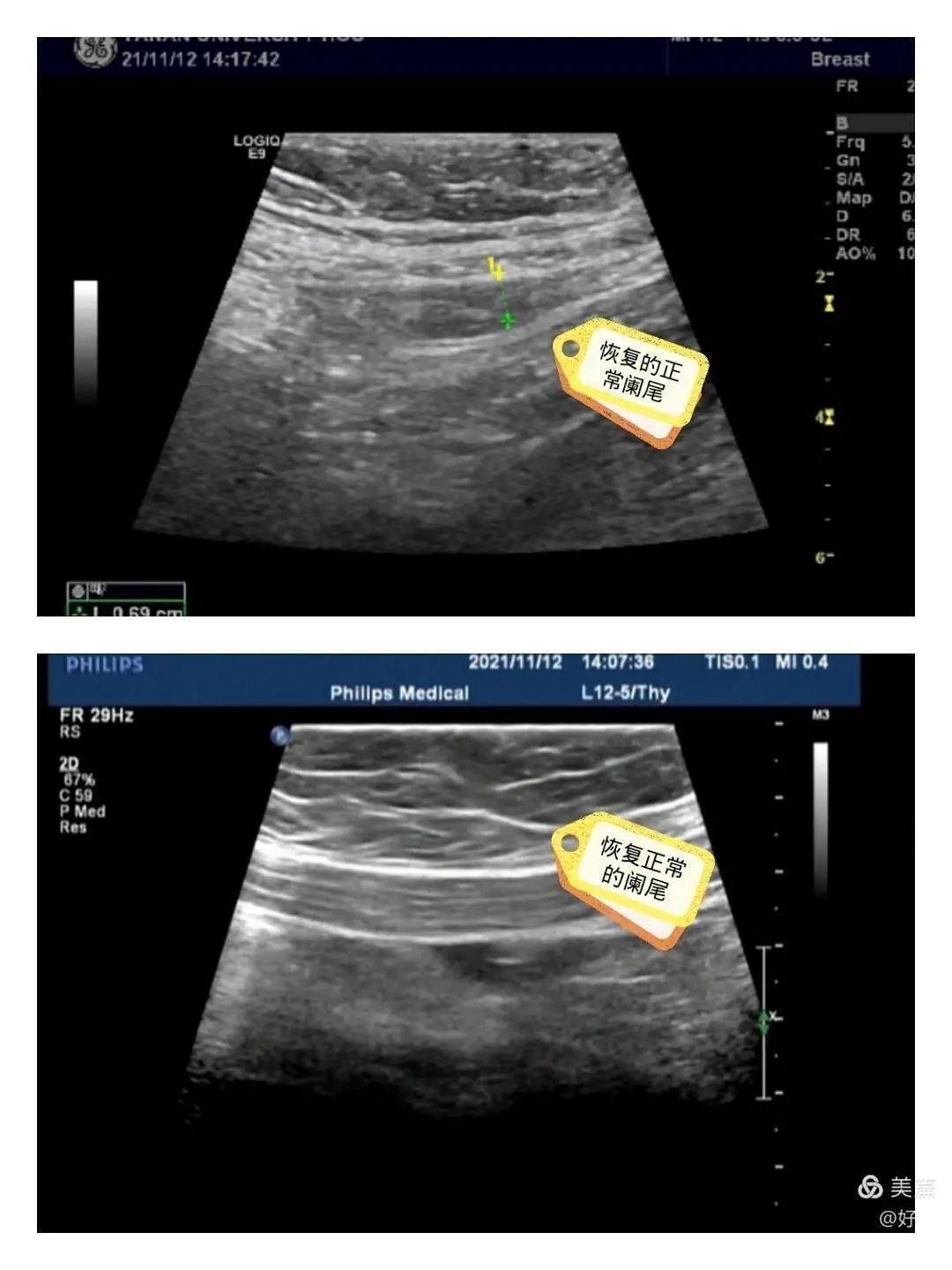
术后第二天复查感染指标下降,阑尾区 B 超示:未见明显阑尾肿胀。患儿 5 天后痊愈出院。
ERAT(endoscopic retrograde icitis therapy):内镜逆行阑尾炎治疗术。是一种简便、无创、无疤的内镜下微创手术。哈医大二院刘冰熔教授受到内镜下治疗化脓性胆管炎的启发,于 2010 年创新的提出了内镜下治疗急性阑尾炎,并命名为内镜逆行性阑尾炎治疗(ERAT)。该方法不开腹,不切阑尾,通过解决急性阑尾炎的病因,来达到治疗阑尾炎的目的,并完整保留了阑尾及其功能。
各种原因引起的急慢性阑尾炎而未坏死穿孔者,均适合内镜逆行阑尾炎治疗术,阑尾粪石梗阻急性阑尾炎、阑尾炎反复发作、阑尾化脓腔内高压、阑尾腔局部狭窄、阑尾穿孔脓肿局部包裹等。
1. 恢复快,内镜下阑尾插管行阑尾腔减压后,患者疼痛症状迅速缓解,病人可以立即恢复日常的活动,避免外科手术后的切口疼痛;
2. 创伤小、无疤痕,操作快捷、方便;
3. 保留阑尾完整,保留了潜在的阑尾生理功能。
随着消化内镜学的发展,我们越来越意识到,「基于保持人体解剖结构不变的情况下,使用手术方式,祛除疾病」,是手术的最佳模式,也是未来医学发展的必由之路,我们称之为「超级微创」。此类手术的成功开展,标志着我院小儿内镜下治疗的突破,也是 MDT 协作的成功案例。
好文章,需要你的鼓励