梁先生自觉身体一直很好,平时也很少进医院。考虑到今年已经 50 岁了,需要关注健康问题,于是选择了一些项目进行身体检查,想了解一下自己的身体状况。
完成体检后的次日早上,梁先生收到了来自南方医科大学顺德医院健康管理中心医生的电话,对方告知他体检结果中有一项肿瘤标记物明显升高,达正常上限值的 7 倍以上,建议尽快来医院排查是否存在肿瘤性病变,以便尽早诊断治疗。
肿瘤?梁先生虽有些难以置信,但出于信任,还是很快来到了健康管理中心领取了报告并咨询。接诊医生对梁先生的体检结果进行了详细解读:肿瘤标记物中有一项指标——癌胚抗原,它是一种常用的广谱肿瘤筛查标记物,敏感性较高,其与肺部、消化道及其他部位肿瘤关系较为密切,如升高达正常值上限的 2 倍以上,提示很可能存在恶性病变。梁先生测得值超过正常值的 7 倍,高度怀疑恶性肿瘤可能性,因此启动了体检重要异常结果回访程序。
考虑到梁先生有吸烟史,年龄 50 岁,属于肺癌高危人群,需进行肿瘤专项筛查。虽此次胸片结果回报正常,但胸片准确性相对差,其结果不能作为肿瘤早筛的依据,需进行肺部低剂量 CT 平扫筛查肺部病变;此外,梁先生此前从未进行过消化道肿瘤筛查,医生强烈建议 50 岁及以上人群进行无痛胃肠镜检查,建议先排查肺部、消化道肿瘤等常见癌肿,如无异常再考虑筛查其他类型肿瘤。


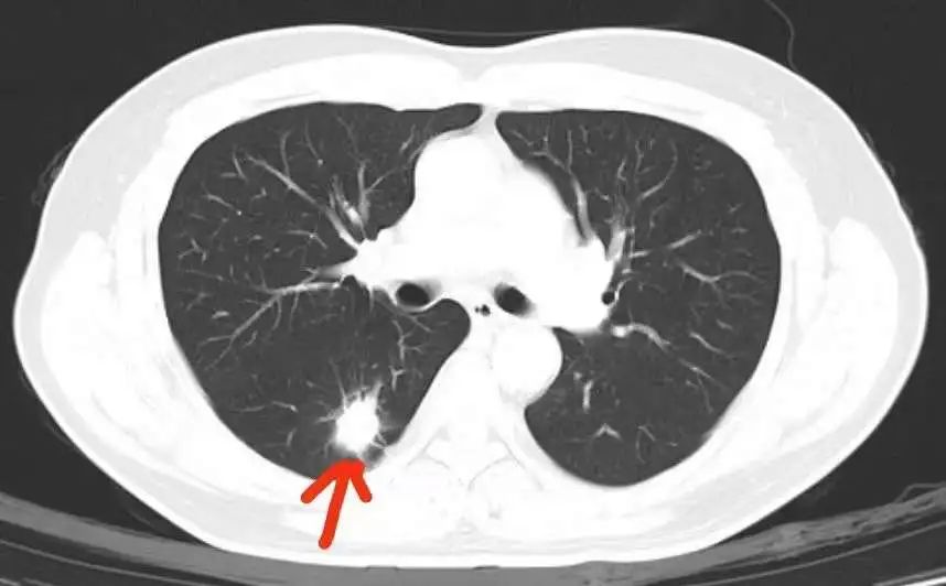
梁先生接受了医生的建议,即时前往健康管理中心医学影像区进行肺部 CT 扫描检查。当天结果回报:右肺下叶背段结节 2.5 cm 伴毛刺及胸膜牵拉,高度怀疑周围性肺癌。经医生对比后发现,肿瘤部位特殊,因 X 光分辨率及检查方法的局限性,正位及侧位分别被右侧肺门及脊柱遮挡,导致胸片难以发现肿瘤。健康管理中心再次立即启动体检重要异常结果回访程序及转诊通道,梁先生很快转入专科进行治疗。
很多人都有这样的观点,认为单位每年都有健康体检,没必要去做其他检查了。实际上,健康体检和肿瘤筛查的概念是不一样的。健康体检是为了发现身体存在的健康问题,而肿瘤筛查是有目标性的专项筛查,两者着重点不同。防癌体检是由专业检测手段组成的,其目的不仅仅是为了发现身体内部存在的肿瘤,也是为了对各种癌症相关病因、癌前病变进行检查,预防癌症的发生。
对高危人群进行有针对性的肿瘤筛查,是非常有必要的。实际上,早期癌症的治愈率非常高,治愈率常常能达到 80%-90%,也能很大程度上减少治疗的副反应,提高生存质量。而一旦出现晚期、进展期的癌,治愈率会下降到 20%,这就是我们提倡早癌筛查的根本原因。很多消化道肿瘤早期没有任何信号,以肠镜检查为例,如在筛查中发现肠息肉、腺瘤等,早期发现早期切除,就可以预防今后进一步发展为肠癌。
高危人群:
年龄>40 岁,至少合并以下一项危险因素者:
吸烟 ≥ 20 年包(年包:指每天吸烟多少包乘以持续多少年,例如 20 年包指每天 1 包持续 20 年或每天 2 包持续 10 年。),其中包括戒烟时间不足 15 年者;
被动吸烟者;
有职业暴露史(石棉、铍、铀、氡等接触者);
有恶性肿瘤病史或肺癌家族史;
有慢性阻塞性肺病(COPD)或弥漫性肺纤维化病史。
筛查建议:
首选低剂量螺旋 CT,高危人群每年一次。
高危人群:
凡有下述情况之一者,均系高危对象:
60 岁以上人群;
中重度萎缩性胃炎;
慢性胃溃疡;
胃息肉;
胃黏膜巨大皱褶征
良性疾病术后残胃(术后 10 年)
胃癌术后残胃(术后 6-12 月)
幽门螺杆菌感染者;
明确胃癌或食管癌家族史;
恶性贫血者。
筛查建议:
根据医师建议定期行胃镜检查。
高危人群:
40 岁以上有两周肛肠症状(※)的人群;
有大肠癌家族史的直系亲属;
大肠腺瘤治疗后的人群;
长期患有溃疡性结肠炎的患者;
大肠癌手术后的人群;
有家族性腺瘤性息肉病(FAP)和遗传性非息肉病性结直肠癌(HNPCC)家族史的 20 岁以上直系亲属。
※两周肛肠症状指有以下任意症状持续两周以上:大便习惯改变(便秘、腹泻等);大便形状改变(大便变细);大便性质改变(便血、粘液便等);腹部固定部位疼痛。
筛查建议:
大便潜血试验
肠镜检查
高危人群:
男性 35 岁以上、女性 45 岁以上的以下人群:
感染乙型肝炎、丙型肝炎者;
有肝癌家族史者;
酒精性、脂肪性肝硬化等任何原因引起的肝硬化患者;
药物性肝损害患者。
筛查建议:
联合应用血清甲胎蛋白(AFP)和肝脏 B 超检查,每 6 个月筛查一次。
高危人群:
未育或 ≥ 35 岁初产妇;
月经初潮 ≤ 12 岁,或行经 ≥ 42 年的妇女;
一级亲属(指父母、子女及同父母的兄弟姐妹)在 50 岁前患乳腺癌者;
两个以上一级或二级亲属在 50 岁以前患乳腺癌或卵巢癌者;
对侧乳腺癌史或经乳腺活检证实为重度非典型增生或乳管内乳头状瘤病者;
胸部放射治疗史(≥ 10 年)者。
上述情况均为乳腺癌高危因素,伴 2 条及以上因素时,应考虑为高危对象。
筛查建议:
1、一般妇女
乳腺自查:20 岁以后每月检查一次;
临床体检:20-29 岁每 3 年 1 次,30 岁以后每年 1 次;
X 线检查:35 岁,摄基础乳腺片;隔年 1 次乳腺 X 线检查(钼靶);>40 岁,每 1-2 年 1 次乳腺 X 线检查。60 岁以后可隔 2-3 年乳腺 X 线检查 1 次;。
超声检查:30 岁以后每年 1 次乳腺超声检查。
2、乳腺癌高危人群
鼓励乳腺自查,20 岁以后每年临床体检 1 次,30 岁以后建议乳腺核磁共振(MRI)检查。
高危人群:
有放射线照射史或放射性尘埃接触史;
感染及慢性炎症患者;
免疫功能低下,有自身免疫性疾病或器官移植史者。
筛查建议:
外科体检:浅表淋巴结和肝脏脾脏触诊;
B 超检查:浅表淋巴结、肝脏脾脏和腹腔淋巴结;
血常规检查。
好文章,需要你的鼓励