脊柱侧弯 90 度、12 块胸椎先天发育畸形……12 岁新洲女孩可可(化名)的世界曾发生严重倾斜。近日,随着最后一次矫形大手术的完成,在武汉儿童医院长达十年的积极救治下,这棵曾经折叠成 90 度的「小树苗」终于被扶正,她的世界也终于恢复了平衡。术后,可可第一次双脚站立在地面上,孩子开心地告诉父母:「我终于能平视这个世界了」。
可可(化名)今年 12 岁,家住新洲。从一出生起,她就患有先天性椎体发育畸形,脊柱向左倾斜,身体扭曲。2 岁时,可可脊柱倾斜度数达到了 90 度,上半身几乎被「折」成了直角。父母带可可四处求医,可都因为畸形严重且复杂,矫形难度大,年龄小且治疗周期长,未来治疗存在不可预测性,迟迟没能得到有效救治。

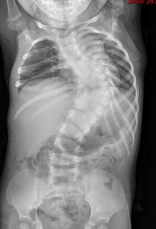
「如果把脊椎比作一栋大厦,她从第 5 胸椎到第 3 腰椎如同一片『废墟』,有的『楼层』合并,有的被拆成两半,没有一处正常。」武汉儿童医院骨科副主任医师周治国当时在北京进修,接诊可可后,联手北京的专家为可可进行检查。
令他担忧的是,当时可可年仅 2 岁半,是生长发育的快速生长期,这样严重的结构畸形将导致胸腔空间减少,直接压迫脏器。对于可可来说,矫正手术必须得做,而且要尽快。
2015 年,2 岁半的可可在武汉儿童医院接受了一期手术,专家在她的胸椎、腰椎植入 4 根生长棒和 8 枚椎弓根钉当「支架」,尽可能给扭曲的脊柱以支撑,延缓侧弯的进展,同时为胸腔和内脏争取生长空间。
此后的 9 年时间,可可每年接受一次调整手术。周治国团队根据生长和矫正情况,对生长棒进行延长和调整,一点点「掰直」扭曲的脊柱。最终,可可脊柱侧弯的度数从 90 度降至 72 度,这也为后期手术争取到机会。

2025 年,可可年满 12 岁,胸腔、胸廓已基本发育成熟,周治国团队决定对最严重的顶椎「动手」,他们利用 3D 打印技术,1:1 还原了畸形的脊柱,并制定了截骨矫正的手术方案。

整场手术进行了 10 个多小时,周治国团队避开脊柱周围的神经和血管,对可可畸形弯曲最严重且最突出的顶椎进行截骨、重整、固定。手术结束时,可可脊柱的侧弯度数从 72 度改善到 30 度,她可像正常人一样生活。
术后第一次下地,可可惊讶感慨:「我终于可以平视这个世界了!」她说,从前身子扭着,总要费力仰头,可即便是这样,她的世界始终是歪斜的。
2 月 2 日,可可到武汉儿童医院复诊,她的双肩基本平整,身形也和普通孩子无异。「这十年,太不容易了。」看着女儿的蜕变,爸爸百感交集。

「先天性脊柱畸形在胎儿期很难通过产检完全发现。」武汉儿童医院副主任医师周治国表示,胎儿在宫内呈蜷缩状态,且处于活动状态,细微的脊柱畸形是很难通过产检发现的。但是家长也无需过度焦虑,早期干预愈后效果好。在武汉儿童医院骨科,医务人员每年约帮助 50 余名严重脊柱畸形的孩子「扶直」脊柱。
武汉儿童医院骨科张平主任医师提醒,脊柱侧弯在幼年期常有「提示信号」,比如双肩不等高,背部不对称,站立时身体偏向一侧等。家长在日常生活中、洗澡过程中要多观察孩子的体态,如果发现孩子存在脊柱侧弯的异常信号,建议及时到医院骨科脊柱侧弯亚专科就诊。
好文章,需要你的鼓励