对于忙碌的现代人来说,「眼前一黑」或「突然胸口闷闷的」的经历或许并不陌生。可能是在拥挤的地铁里,可能是猛然站起身的瞬间。大多数人会将其归结为「没休息好」或「低血糖」。
对于 45 岁的张先生(化名)来说,这个看似不起眼的症状,却在两个月内两次将他推向险境。当他带着一沓「一切正常」的检查报告,走进上海百汇医院心内科李延林医生的诊室时,一场抽丝剥茧的「探案」才刚刚开始……
魂时刻:高速公路上的短暂失忆
张先生是一位典型的职场中坚力量,工作繁忙,压力不小。故事的开端,发生在一个再普通不过的工作日早高峰。
他正坐车前往单位,突然一阵强烈的眩晕感袭来,伴随着胸口闷痛和一身冷汗。好在这种感觉来得快去得也快,不到 3 分钟就恢复了。张先生以为是最近熬夜加班太累,并未放在心上。
然而,4 天后,相似的情景再次上演,这次情况更为严重——他短暂地失去了意识。虽然很快醒来,但这足以让他和家人吓出一身冷汗。
「必须查清楚!」张先生第一时间去医院进行了全面检查。然而,结果出乎意料:心电图、心肌酶谱、BMP 生化指标都正常,胸部 CT 也未见异常。
「检查都好的,可能是一时性的,回去多休息,注意观察和随访。」医生的话让张先生既庆幸又隐隐不安。身体明明发出了强烈的「信号」,为什么仪器却显示「风平浪静」?这种矛盾感,让他感到自己像走在一片迷雾之中。
本着对自己高度负责的态度,张先生托人找到了上海百汇医院心内科的李延林医生,希望能得到一个更深入、更专业的解答。
在李延林医生的诊室里,张先生的「迷雾」终于开始有了散去的迹象。
李医生并没有只看报告,而是像一位经验丰富的「侦探」,仔细复盘了那两次「案发经过」。
「晕厥的原因很复杂,可能是神经源性的、反射性的,也可能是心源性的。」李医生耐心地分析道,「但您有一个非常关键的细节——晕厥时伴有明显的胸痛和出汗。这让我高度怀疑,问题的根源可能在心脏。」
李医生解释,最常见的血管迷走神经性晕厥通常不伴随器质性病变,但张先生的症状指向了更危险的「心源性晕厥」,即心脏因缺血或心律失常突然「罢工」,导致大脑供血不足。
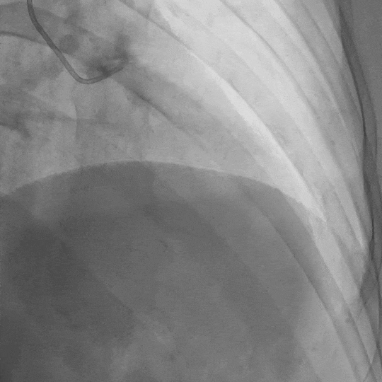
基于这个判断,李医生为张先生安排了更精确的检查——冠状动脉 CT 造影。结果果然发现了异常:患者的右冠状动脉起源异常且纤细,同时左前降支存在「心肌桥」。

图 | 冠脉 CTA 图像 1:右冠状动脉异常起源于左冠窦

图 |冠脉 CTA 图像 2:提示右冠状动脉开口及近段狭窄

图 | 冠脉 CTA 图像 3:前降支中段浅表型心肌桥
这还不是最终答案。为了看得更清楚,李医生建议张先生住院接受冠状动脉导管造影——这是诊断冠脉问题的「金标准」。
造影的结果,让一切豁然开朗。
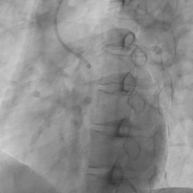
「我们发现,问题主要出在那个心肌桥上。」李医生指着影像解释道,「CT 上看到的心肌桥,在造影下原形毕露。在心脏收缩时,这段覆盖在血管上的心肌会像承受「紧箍咒」一样,用力挤压下面的血管,压迫程度最高时甚至达到了 90%!」

影像素材 | 患者冠状动脉造影 1:前降支中段长段心肌桥,收缩期管腔重度狭窄

影像素材 | 患者冠状动脉造影 2:前降支中段长段心肌桥,收缩期管腔重度狭窄

影像素材 | 患者冠状动脉造影 3:右冠起源于左冠窦,较细小,开口及近段狭窄不明显,血流 TIMI3 级
这就能解释为什么常规检查会「失灵」了。心电图捕捉的是静态或负荷状态下的心电信号,普通 CT 也难以观察到动态的血管压迫。而李延林医生通过层层递进的精准检查,终于找到了那个在「动态」下才暴露出来的「元凶」——因严重心肌桥压迫导致的心肌缺血,进而诱发了晕厥。
张先生的病因,终于从「云深不知处」到「云开雾散月分明」。
诊断明确,接下来的治疗便有了方向。对于心肌桥,治疗方案有药物和手术多种选择。考虑到张先生年仅四十多岁,发作次数不多,李延林医生为他制定了个性化的药物治疗方案:使用β受体阻滞剂和钙拮抗剂,来减慢心率,减轻心脏收缩时对血管的压迫,从而改善心肌供血。
从两次惊魂的濒危感,到回归正常的工作生活,张先生终于走出了那片笼罩他的迷雾。
张先生的案例非常典型,它告诉我们:晕厥,绝不是「休息一下就好」的小事,它可能是身体发出的最严厉的警告。
晕厥的病因复杂,常需多系统分析,主要分为以下几类:
反射性晕厥(最常见):
· 比如血管迷走神经性晕厥。常因紧张、疼痛、久站、闷热环境(如拥挤的地铁)诱发。这是由于植物神经调节失衡,导致血压心率突然下降,脑供血不足。
· 李医生提醒: 有此类困扰的朋友,日常生活中要学会「慢一点」。尤其是早上起床或久蹲站起时,记得「三个半分钟」:醒后在床上躺半分钟,坐起半分钟,双腿下垂在床边坐半分钟,然后再下地活动。避免憋尿后急速排尿,因为腹压骤降也易诱发晕厥。
心源性晕厥(最危险):
·由心脏器质性疾病引起,如张先生这样的严重心肌桥导致的心肌缺血,或是心律失常、心肌病等。这类晕厥往往来得突然,预后较差,是必须优先排查的病因。
· 李医生提醒: 如果晕厥发生在活动中或情绪激动时,伴有胸痛、心悸、出汗,或者有心脏病家族史,务必高度警惕,需要到心内科进行深入检查,如动态心电图、心脏超声甚至冠脉 CTA/造影。
神经源性晕厥:
·由脑卒中、短暂性脑缺血发作(TIA)等脑血管问题引起。
好文章,需要你的鼓励