病史摘要
外院 CT 提示:右卵巢占位?
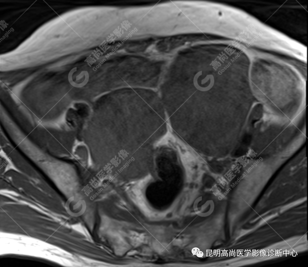
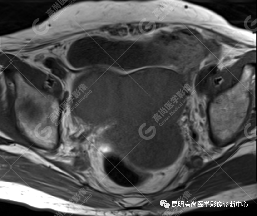
检查图像
















影像诊断
子宫、附件未见显示;下腹部及盆腔内巨大占位,考虑恶性肿瘤,肉瘤可能,阴道及肛管受侵,建议活检。
病理结果

病例小结
子宫恶性苗勒管混合瘤(malignant mixed Mullerrian tumor, MMMT),亦称子宫癌肉瘤(UCS)和恶性中胚叶混合瘤,是一种罕见的女性高侵袭性恶性肿瘤。其发病率仅为 1.4/10 万,占所有子宫体恶性肿瘤的 2%~5%,但其相关死亡在子宫恶性肿瘤的占比却超过 16%。UCS 以双相组织学为特征,既有癌成分,也有肉瘤成分,其上皮成分是主导肿瘤生物学行为的主要成分。子宫肿瘤中肉瘤成分>50% 与更差的预后有关。其高危因素与子宫内膜癌类似,包括高龄、肥胖、未产妇、外源性雌激素应用、他莫昔芬和盆腔放疗等。
病症概述
子宫癌肉瘤又称恶性中胚叶混合瘤或恶性同源性苗勒管混合瘤,占所有子宫癌的 2%~5%,好发于 50-60 岁绝经后妇女。
常见症状/体征
阴道不规则流血(75%);
阴道流液(11%),为癌瘤渗出液或感染坏死所致;
腹痛腹胀包块(9%)等。
病理特点
子宫癌肉瘤来源于苗勒管衍生物中分化最差的子宫内膜间质组织,能够分化成黏液样组织/结缔组织/软骨组织/横纹肌组织和平滑肌组织等,是高度恶性的女性生殖道肿瘤,预后差,5 年生存率仅有 25%,比子宫内膜癌低,虽然近一半的病例诊断为Ⅰ期或Ⅱ期,但其中 50% 的早期患者即有复发或转移。子宫癌肉瘤生长迅速,即使肿瘤局限于宫腔内亦常转移至盆腔及主动脉旁淋巴结、盆腔软组织、阴道、腹膜表面与肝肺等。
子宫癌肉瘤的上皮和间叶成分均为恶性,癌的成分通常为腺癌,常见的是子宫内膜样癌、浆液性癌、透明细胞癌、鳞癌、单一成分存在或几种成分混合存在;肉瘤成分依据间质成分的起源,又分为同源性及异源性两种,同源性是指间质成分起源于子宫本身存在的间质成分,通常由未分化肉瘤、平滑肌肉瘤、纤维肉瘤或子宫内膜间质肉瘤组成;异源性指起源于子宫本身不存在的间质成分(如软骨组织等,此系病灶中可见钙化的原因),异源性肿瘤常由横纹肌肉瘤、软骨肉瘤和骨肉瘤组成。
组织学发生学说
目前子宫癌肉瘤的组织学发生有几种不同学说:
(1) 碰撞学说
(thecollision theory):
认为肿瘤同时起源于两种不同干细胞,一种发展为上皮癌,另一种形成肉瘤,又称为多克隆起源学说。
(2) 联合学说 (thecombinationtheory):
认为肿瘤的上皮及间质两种成分由共同的多能干细胞增殖及异常分化而成,又称为单克隆起源学说。
(3)转化学说 (theconversiontheory):
认为肿瘤中肉瘤成分由肿瘤演变过程中的癌成分衍生而来。
(4)组成学说
(thecompositiontheor y):
认为在纺锤体细胞中肿瘤的癌成分是肿瘤的肉瘤成分的基质反应而来目前大多数研究认为癌肉瘤为单克隆起源。
影像表现
CT 表现
软组织肿块内见低密度坏死,亦可无坏死,部分伴有钙化,考虑为异源性子宫癌肉瘤中的间质成分中软骨所致的钙化。
MRI 表现
不规则菜花状或息肉状肿物,子宫内膜正常 T2WI 清晰连续的高信号消失,取而代之是中高、高信号,不均匀混杂信号,信号强度低于内膜正常信号强度,T1WI 上内膜信号增高,子宫肌层明显变薄,未受侵者肌层信号均匀,因肿物组织来源不同,病变信号复杂,以 T2WI 表现为等高混杂信号为主。因病灶较大,可合并囊变坏死及肿瘤出血。
小的子宫癌肉瘤显示为内膜肿块,不能与子宫内膜癌鉴别,大的肿块因坏死而与子宫平滑肌肉瘤相似。
肌层到肿块内的血管流空信号,可提示肿瘤内有血供丰富的肉瘤成分,血管流空信号在子宫内膜癌中未见报道,但在子宫平滑肌瘤、平滑肌肉瘤中可见。
各学者认为子宫内膜肿瘤内部不同的强化方式能够提高子宫癌肉瘤的诊断概率,多数学者认为病灶中早期明显强化,并持续强化的区域是肿瘤中的间质成分的强化特点,而上皮成分一般呈轻度强化。
子宫癌肉瘤分期
沿用子宫内膜癌的分期:
I 期:肿瘤局限于宫体:
la:肿瘤浸润深度<1/2 肌层;
lb:肿瘤浸润深度>1/2 肌层
II 期:肿瘤侵犯宫颈间质但无宫体外蔓延
III 期:肿瘤局部或区域扩散:
llla:肿瘤累及浆膜层和/或附件;
lllb:阴道和/或宫旁受累
lllc:盆腔淋巴结和/或主动脉旁淋巴结转移
IV 期:远处转移:
IVa:肿瘤侵及膀胱或直肠粘膜;
IVb:远处转移
鉴别诊断
(1)子宫内膜癌:绝经后不规则阴道出血,通常表现为子宫内膜不均匀弥漫性增厚,信号异常,T2WI 上表现为宫腔内高信号肿物,明显扩散受限,肿瘤信号多高于子宫肌层但低于正常子宫内膜,周围纤维基质环不连续或消失,增强扫描肿瘤呈中等强化,且动态增强曲线呈快进快出流出型。
(2)滋养层类细胞疾病:包括葡萄胎、侵袭性葡萄胎、绒毛膜癌胎盘部位滋养细胞肿瘤,MRI 可表现为葡萄状或蜂窝状 ( 长 T1、长 T2 信号),如有出血可见长 T1、短 T2 信号及血管「流空效应」。
(3)子宫内膜息肉:为子宫腔内最常见的疾病,增强后比周围子宫肌层强化明显,T2WI 瘤内可见低信号的纤维核及高信号的囊变为其特征性表现,有助于与癌肉瘤鉴别。
(4)子宫内膜间质肉瘤:起源于子宫内膜间质细胞,多位于宫腔内亦可侵犯子宫肌层,呈实性或囊实性,内可见壁结节,可有坏死囊变,增强后强化比子宫肌层明显。
(5)子宫平滑肌肉瘤: 病灶主要位于子宫肌层,与癌肉瘤主要位于宫腔内不同,病灶内可见血管流空信号及变性坏死,增强后明显强化与肌层一致,有时与弥漫浸润子宫肌层的癌肉瘤鉴别困难。
(7)子宫黏膜下肌瘤:增强后明显强化,在 T1WI 及 T2WI 均呈低信号均有特征性。退变性的黏膜下肌瘤,T2WI 上呈高信号,但周围有正常的子宫内膜高信号环绕,文献报道 DWI 有助于子宫肉瘤与子宫肌瘤的鉴别。
治疗方案
手术是首选的治疗方法,术后需辅以化疗和/或放疗。
作者简介

晏海淑
从事影像诊断工作 6 年:2015 年毕业于遵义医学院医学影像学专业,2021 年于昆明市延安医院放射科完成住院医师规范化培训并获得合格证书。对 DR、CT、MR、PET/CT 各系统常见疾病影像诊断有一定见解。
参考文献等相关资料:
[1] 储云鹏, 蔡伟, 孟博. 基于数据库对子宫肌瘤和子宫肉瘤诊治的关键基因进行生物信息学分析 [J]. 标记免疫分析与临床, 2023, 30(1):8.
[2] 赵明丽, 马锦涛, 秦凤英, 等. 常规 MRI 对子宫肉瘤与子宫内膜癌的鉴别诊断价值 [J]. 2021.
[3] Hacking S, Chavarria H, Jin C, Perry A, Nasim M. Landscape of Immune Checkpoint Inhibition in Carcinosarcoma (MMMT): Analysis of IDO-1, PD-L1 and PD-1. Pathol Res Pract. 2020 Apr;216(4):152847. doi: 10.1016/j.prp.2020.152847. Epub 2020 Jan 31. PMID: 32085927.
[4] Zhou L, Xiong Y, Wang Y, Meng Y, Zhang W, Shen M, Zhang X, Li S, Ren B, Li R, Han Y, Zhang J, Cao S, Du W, Sun Q, Wei F, An X, Yang L, Zhang Y, Ma W, Xu W, Zhang Y, Jiang J, Xu X, Xia J, Liu L, Ren X. A Phase IB Trial of Autologous Cytokine-Induced Killer Cells in Combination with Sintilimab, Monoclonal Antibody Against Programmed Cell Death-1, plus Chemotherapy in Patients with Advanced Non-Small-Cell Lung Cancer. Clin Lung Cancer. 2022 Jul 21:S1525-7304(22)00153-X. doi: 10.1016/j.cllc.2022.07.009. Epub ahead of print. PMID: 35995696
好文章,需要你的鼓励