近日,浙大四院心血管内科夏淑东主任团队顺利完成金华地区首台「球扩瓣」主动脉瓣置换术。该例手术标志着浙大四院在复杂心脏瓣膜病微创治疗领域迈出了重要一步。
对于那些不能耐受开胸手术或血管条件复杂的患者来说,TAVR 手术就像一道「生命之光」,为他们带来了新的治疗选择……
75 岁的王奶奶(化姓)近一年来常常感到胸闷气短,走几步路就喘不上气。医生检查发现,她的主动脉瓣天生是 「二叶式畸形」,如果说常人的心脏阀门是三扇门,那么她的只有两扇,长期使用后瓣叶变得僵硬、钙化,像生了锈的铁门一样难以打开。

心脏超声显示,王奶奶的主动脉瓣口血流速度快得像高速公路上的赛车(Vmax = 4.78m/s),最大压力差高达 92 mmHg,相当于正常瓣膜的 4 倍多,这意味着心脏每次泵血都要费尽九牛二虎之力。


更棘手的是,王奶奶的主动脉弓部像打了个 「急转弯」,血管又短又弯,加上她本身心室小,又有冠心病、高血压,传统开胸换瓣手术风险极高,就像在 「钢丝上跳舞」。
夏淑东主任团队经过详细评估,决定为她实施经导管主动脉瓣置换术(TAVR)。这种手术不用开胸,只需要在大腿根部的股动脉开一个小口子,就像用一根 「魔法导管」 把新瓣膜送到心脏里。

手术使用目前最先进的「球扩瓣」 瓣膜,瓣膜小、容易过弯,具有优秀的输送性及释放稳定性,能很好地在王奶奶的「急转通道」里安全穿梭。

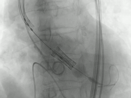
手术当天,夏淑东主任先从右侧股动脉穿刺置入血管鞘,在血管里搭建了一条 「临时通道」。接着用 20 mm 的球囊对狭窄的瓣膜进行预扩张,仿佛用打气筒把生锈的阀门稍微撑开一点。
最关键的一步是输送瓣膜过弓。王奶奶的主动脉弓严重弯曲,团队凭借精湛的技术,让装载着瓣膜的输送系统顺利 「过弯」 并跨瓣。瓣膜定位后,医生精准释放了 23 mm 的人工瓣膜,在正确的位置安装好了新的 「心门」。

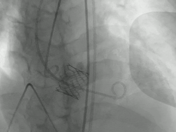
术后复查显示,瓣膜位置良好,没有明显瓣周漏。这下,王奶奶的心脏终于可以 「轻松呼吸」 了。
夏淑东提醒,主动脉瓣狭窄早期可能只有轻微的胸闷、气短,容易被误认为是年纪大了的正常现象。随着病情加重,可能出现胸痛、心律失常、脑缺血以及心力衰竭的症状等,如心绞痛、晕厥、呼吸困难等。以下人群尤其要特别注意:
先天性二叶式主动脉瓣畸形患者
长期高血压、冠心病患者
出现活动后胸闷、胸痛、呼吸困难等症状的老年人
「早期通过心脏超声检查可以明确诊断,一旦出现症状应及时就医,避免病情进展到重度狭窄危及生命。」
好文章,需要你的鼓励