近日,在心血管内科朱永彪主任的带领下成功开展了介入房间隔缺损封堵术,这是西藏阜康医院继开展冠状动脉支架植入术、起搏器植入术等手术后,心脏介入诊疗技术的再次突破。

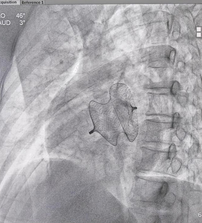
一名中年女性患者,因「间断心慌、气促、水肿 1 年加重 1 周,反复头晕」收治入院,诊断为先天性心脏病——房间隔缺损。经进一步详细检查心脏结构,确定了患者房缺最大直径约 30 mm,左向右分流。考虑到患者年龄,合并严重肺动脉高压等因素,经详细术前讨论认为患者可以采取经皮房间隔缺损封堵治疗方案。征得患者和家属同意后,7 月 26 日为患者施行介入手术。

该项新技术的突破,标志着西藏阜康医院心血管内科在结构性心脏病的介入治疗上迈出坚实的一步。
科普知识
什么是房间隔缺损
房间隔缺损为临床上常见的先天性心脏病之一,是原始房间隔在胚胎发育过程中出现异常,致左、右心房之间遗留孔洞。房间隔缺损可单独发生,也可与其他类型的心血管畸形并存,女性多见,男女之比约 1:3;先天性心脏病一经发现应尽早手术治疗,否则随着年龄增长会导致肺动脉高压、心衰等严重后果。
房间隔缺损治疗方式有哪些?
药物治疗:仅能改善症状,并无根治作用。
外科治疗:开胸补「心眼」,能够有效地治疗房间隔缺损,但开胸手术创伤大,风险高,并发症多。
介入诊疗:经皮导管封堵术,是治疗房间隔缺损的主流术式,但要把握严格的适应症。
好文章,需要你的鼓励