糖尿病不仅伤血管,更会悄悄「侵蚀」眼底,引发多种眼底疾病,很多糖友早期无症状,发现时已到中晚期,追悔莫及。
糖尿病眼底病变可防、可控、可治,早筛查、早干预是保住视力的关键。
案例一:52 岁糖友忽视筛查,右眼险些失明
52 岁的王大叔患 II 型糖尿病 10 年,平时只吃药控血糖,从没查过眼底。半年前,他看东西偶尔模糊,以为是老花眼,没当回事。直到上个月,右眼突然出现大片黑影,视力骤降到只能看清手指晃动,才急忙就医。


经哈尔滨普瑞眼科眼底病科张小宇主任为其详细检测,确诊为 增殖期糖尿病视网膜病变,伴随玻璃体积血、黄斑水肿,属于晚期重症。张小宇主任立即制定方案:先注射抗 VEGF 药物控制新生血管,再实施 27 G 微创玻璃体切除术。术后王大叔视力得到恢复。
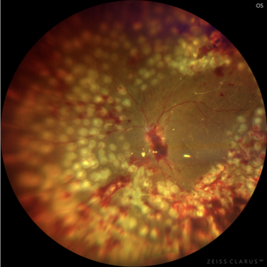
案例二:60 岁阿姨定期筛查,轻松规避失明风险
60 岁的张阿姨患糖尿病 8 年,每年都坚持到哈尔滨普瑞眼科做眼底筛查。去年检测时,张小宇主任发现她有 轻度非增殖期糖尿病视网膜病变,伴随轻微黄斑水肿。

张小宇主任为其制定个性化方案:严格控糖+口服改善微循环药物+定期激光光凝封闭渗漏血管。一年来,张阿姨坚持复查,病情完全控制,视力稳定,没有进一步发展。
糖尿病易引发这些眼底疾病,早认清早预防
1.糖尿病视网膜病变(十分常见):分非增殖期(早期,微血管瘤、出血、渗出)和增殖期(晚期,新生血管、玻璃体积血、视网膜脱离,可致盲);
2.黄斑水肿:视网膜黄斑区积液,视物变形、视力骤降;
3.玻璃体积血:新生血管破裂出血,遮挡视线,严重时引发视网膜脱离;
4.视神经病变:损伤视神经,导致视力下降、视野缺损。
预防+诊疗
科学预防,筑牢「视力防线」
1. 严控血糖血压血脂:空腹血糖 4.4-7.0 mmol/L,餐后 2 小时<10 mmol/L,糖化血红蛋白<7%;血压<130/80 mmHg,低脂饮食;
2. 定期眼底筛查:II 型糖尿病确诊后立即查眼底,每年 1 次;已病变者每 3-6 个月复查;
3. 警惕早期信号:视物模糊、眼前黑影、视物变形、视力骤降,立即就医。
准确诊疗,普瑞眼科「硬核」实力
-早期/中期:眼底激光光凝术封闭渗漏血管,口服药物改善微循环,门诊即可完成;
-中晚期:眼内注射抗 VEGF 药物,消退黄斑水肿、抑制新生血管,微创无痛;
-晚期重症:27 G 微创玻璃体切除术。
好文章,需要你的鼓励