对于拍胸片,想必大家有不少的困惑,有辐射吗?对身体有没有危害?需要脱衣服吗?
坊间人云亦云、危言耸听的传闻也不在少数,导致许多人对拍胸片误会颇深。
今天,我们就请来医学影像中心的医生,和大家好好聊聊。
先来看看几个影像中心医生在工作中遇到的病例:

上图患儿发热咳嗽 6 天,无其他不适,外边诊所吃药无好转,来院拍片,如上图箭头所指,右肺肺炎。

这个病人间断性心前区疼痛伴咳嗽,没有重视,症状持续一周多后来医院检查,医生让其拍片,如上图箭头所指气胸。

上图患儿咳嗽 10 余天,发热 3 天,诊所吃药治疗无好转后,才来医院检查,医生让其拍片,如上图箭头所指发现可疑软骨瘤。
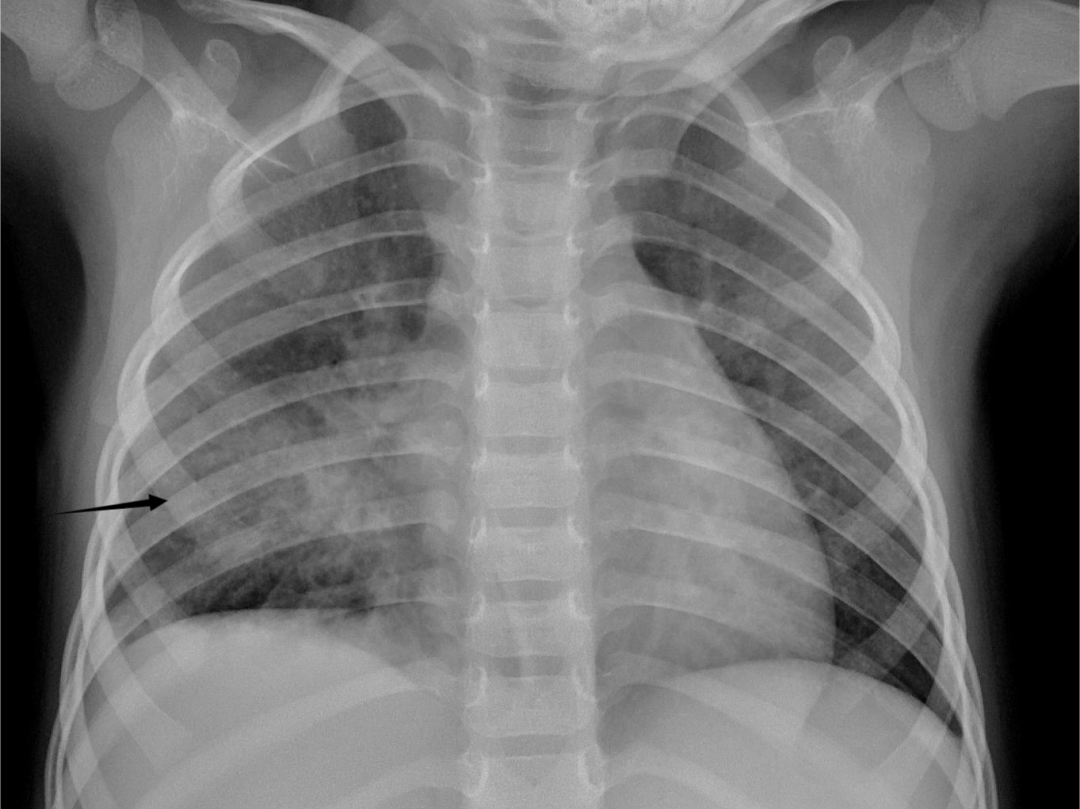
上图患儿发热咳嗽 3 天,在家服用退烧和止咳药物后无明显好转,来我院检查,遵医嘱拍片,如上图箭头所指发现实变(畸胎瘤待排)。
从以上几个典型例子可以看出,胸片能更快、更直观地查出肺部病变,诊断出患者是否存在肺部疾病,这就是拍胸片的价值。
西北妇女儿童医院 DR 机(医学数字影像设备)针对小朋友专门设置小剂量辐射,拍一次胸片剂量大概为 0.01 毫西弗(婴幼儿辐射剂量更小)。
这个剂量相当于什么呢?
有研究表明,人每吃一根香蕉,所受的辐射为 0.0778 微西弗,拍一次胸片的剂量相当于吃了二百根香蕉,是不是容易理解了呢?
此直观对比下,拍一次胸片是不是就没有那么危言耸听了?
再来看几个典型的例子:



从上边三幅图可以看出,小孩衣服上塑料纽扣和图案,在胸片上是显影的,会造成假阳性、漏诊,导致重拍。
所以,建议穿着简单的小背心哦。在这里要提醒各位宝爸宝妈,带小朋友来就诊时,最好里层穿没有纽扣和图案的小背心,这样就会减少麻烦和矛盾,也能让小朋友少受一次辐射。
好文章,需要你的鼓励