近日,南昌大学二附院疼痛科成功治疗了一位罕见的儿童带状疱疹后遗神经痛患者。带状疱疹后遗神经痛多见于老年患者,小儿出现该疾病的概率极低。
患者是一名 8 岁有白血病病史的男孩,因右侧头面部疼痛 20 余天于南昌大学二附院疼痛科就诊,5 个月前曾行骨髓移植手术,术后长期口服免疫抑制剂。
由于长期服用免疫抑制剂,患者免疫力低下,20 多天前在右侧眼眶周、头额部出现团簇样疱疹,伴有针刺样神经疼痛症状,一直于当地医院接受抗病毒、营养神经等治疗。但疼痛一直无明显好转,甚至加重并出现了神经性瘙痒。
为求诊治,患者父母带患儿来到了南昌大学二附院疼痛科,经过梁应平主任团队详细的检查和诊断,确诊为罕见的小儿带状疱疹后三叉神经痛。



为缓解患者的疼痛、瘙痒等症状,疼痛科诊疗团队在完成相关检查后,对患者进行了右侧三叉神经脉冲射频术+神经阻滞术。经过治疗,患者症状大幅度下降,原有疼痛感已经消失。患者顺利出院后,医生们对其进行随访,患者术后疼痛未再发,瘙痒感消失。


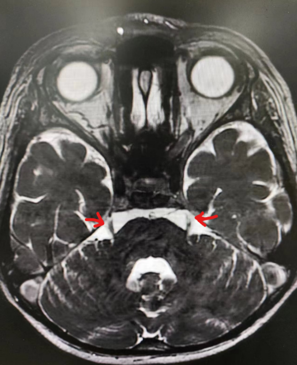
术前磁共振影像排除继发性疼痛,术中透视见穿刺针穿刺位置良好。
带状疱疹,又称蛇缠腰,是由水痘-带状疱疹病毒引起一种疾病,大多数人感染后不表现症状而成为带病毒者,当宿主的细胞免疫功能低下时,病毒又被激发,致使神经节产生炎症、坏死,临床表现为神经元功能紊乱、异位放电、外周及中枢敏化,同时再次激活的病毒可以沿着周围神经纤维再移动到皮肤发生疱疹,特征为局部出现强烈疼痛的群聚皮肤水泡。
带状疱疹性神经痛是带状疱疹患者常见的症状,是由于带状疱疹病毒导致的神经炎症引起的神经病理性疼痛,主要表现为持续性刺痛、烧灼感,甚至轻微接触皮肤就会引起剧烈的疼痛。若是早期疼痛控制不佳、导致神经损伤,甚至会发展成后遗神经痛,剧烈且持续的疼痛将严重影响患者的生活质量。
好文章,需要你的鼓励