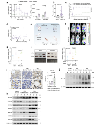
近日,南昌大学第二附属医院检验科主任 王小中教授 领衔的研究团队,在 Nature Communications 在线发表题为 「Hexokinase 2-mediated histone H3K18la promotes PAI-1-dependent thrombosis in acute myeloid leukemia via tumor-endothelial crosstalk」 的研究论文。该期刊 JCR 分区为 Q1,中科院分区为 1 区,最新期刊影响因子 15.7。该研究阐明乳酸通过促进组蛋白乳酸化,增强肿瘤细胞与血管内皮细胞之间的相互作用,进而促进血栓形成。这一发现为 急性髓系白血病(acute myeloid leukemia, AML)血栓防治提供了新的分子靶点,具有重要的临床转化价值。
血栓是癌症患者常见的并发症,在 AML 中,因常伴有血小板减少和凝血异常,使得抗凝治疗风险高、难度大。王小中教授团队发现,白血病细胞在代谢过程中会产生大量乳酸,这些乳酸不仅影响肿瘤细胞自身,还会「传递」给血管内皮细胞,共同促进血栓形成。


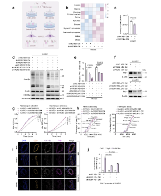
具体机制上,研究团队锁定了一个关键酶——己糖激酶 2(hexokinase 2, HK2),它促进了乳酸生成。乳酸进一步引发组蛋白 H3K18 乳酸化修饰,从而激活了纤溶酶原激活物抑制剂-1(plasminogen activator inhibitor-1, PAI-1)的表达,抑制纤维蛋白溶解,促使血栓形成。更值得注意的是,肿瘤细胞与血管内皮细胞之间通过「乳酸信号」形成恶性互动,进一步放大了血栓风险。


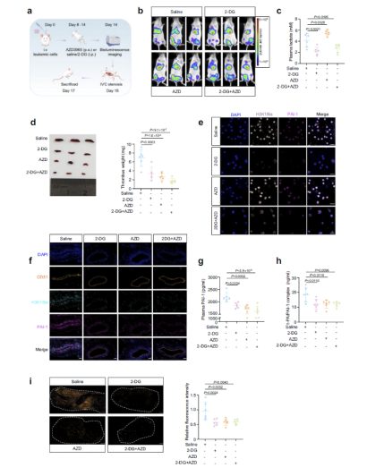
在动物模型中,研究人员使用 HK2 抑制剂(2-DG)或乳酸转运蛋白 MCT1 抑制剂(AZD3965)进行干预,均显著降低了血栓形成。这表明,针对该通路的药物有望成为预防或治疗 AML 相关血栓的新策略。

该研究深入解析了白血病细胞代谢重编程如何通过表观遗传修饰影响凝血功能,为 AML 血栓形成的发病机制提供了分子水平的解析。

好文章,需要你的鼓励