过去的一年,郑州大学第五附属医院胃肠·甲状腺外科不仅为大量胃肠道肿瘤、甲状腺疾病、复杂腹外疝及肛周疾患患者提供了规范化、精准化的诊疗,同时依托河南省医学重点学科「肠瘘与临床营养」建设平台,在腹部术后并发症尤其是肠瘘诊治领域,成功救治了多例危重患者。
这不仅是一份技术报告,更是一段关于思考、决策与守护生命的真实记录。

病情简述:60 岁男性,结肠癌肝肺转移,经历多线治疗后并发肠梗阻、肠造口术后出现严重腹腔感染、重度营养不良。
诊疗破局: 面对肿瘤压迫、感染、营养不良三重打击,团队未轻言放弃。从精细化的伤口缝合入手,先为患者创造手术条件;最终通过多学科协作,一次性完成「肿瘤切除+感染清理+腹壁重建」的高难度手术。
技术体现: 在极端复杂的晚期肿瘤并发症面前,系统的整合救治能力是逆转危局的关键。

病情简述:56 岁女性,两次腹膜后手术后出现降结肠瘘。
诊疗破局: 按传统疗法,需先做结肠造口(挂粪袋),等半年后再做二次手术还纳。为减轻患者痛苦,团队制定「清创、控感、一期修复」三步法,实施腹腔镜下瘘切除+一期结肠端端吻合术。术后一周患者正常进食,免去了半年造口之苦。
技术体现: 精准的术前评估与微创技术,让创伤最小化与疗效最大化不再是单选题。

病情简述:67 岁女性,结肠癌肝转移术后,顽固性咳嗽、咳黄绿色痰。
诊疗破局: 常规抗感染治疗无效,团队从「胆汁样痰液」这一细节敏锐捕捉线索,通过痰液检测与 PET/CT,确诊为极其罕见的「胆管-支气管瘘」。随后行微创胆道引流术,患者咳嗽症状迅速缓解。
技术体现: 打破常规思维束缚,从细微处见真章,精准诊断是罕见病治疗的基石。

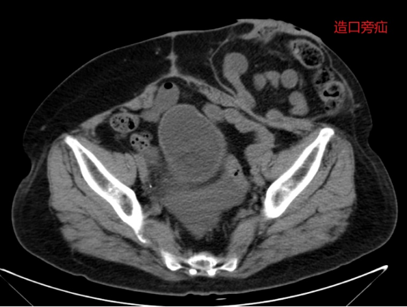
病情简述:59 岁女性,宫颈癌术后第 3 天并发乙状结肠瘘。
诊疗破局: 团队急诊行腹腔镜手术控制感染并造口。半年后患者要求还纳造口,术前发现合并造口旁疝。经周密规划,在一次腹腔镜手术中同时完成「造口还纳」与「疝修补术」,避免了两次手术创伤。
技术体现: 从急诊处理到远期重建,微创外科贯穿始终,体现了系统性治疗的前瞻性。


病情简述:69 岁女性,多次腹部手术史,补片感染后出现严重腹壁肠瘘,重度营养不良。
诊疗破局: 面对严重粘连的腹腔和持续感染的切口,团队分步走:先充分引流、控制感染;再通过内镜放置营养管改善营养;最后借助「腹部疑难云平台」多学科会诊,行腹腔镜下精准粘连松解并切除瘘段小肠。
技术体现: 复杂肠瘘的救治,是「营养支持+感染控制+精准手术」三位一体的系统工程。

病情简述:53 岁男性,肠系膜上动脉夹层术后出现复杂肠瘘,经历三次手术仍无法愈合,入院时白蛋白仅 15.0 g/L(严重营养不良)。
诊疗破局: 面对再次手术的高风险,团队决定「先退一步」,将治疗重点转向营养支持。经过长达 3 个月的肠内联合静脉营养强化治疗,待患者身体状况改善后,再成功施行「腹腔镜肠粘连松解、瘘口小肠切除+远端回肠及回盲部结肠切除术」,最终成功康复。
技术体现: 有时候,充分的术前准备与对手术时机的精准把握,比手术本身更重要。
病情简述: 患者胰十二指肠术后并发胆瘘、胰瘘、肠瘘,外院四次清创仍无法控制,瘘口位置不明。
诊疗破局: 明确诊断是治疗的起点。团队通过精心设计的多次、多途径造影检查,最终精准定位瘘口位于结肠肝区。明确「敌情」后,先通过营养支持稳住「阵地」,再行回肠造口转流,为后续治疗创造了条件。
技术体现: 在复杂的术后并发症中,「诊断先行」的思维是个体化序贯治疗的核心。

病情简述:52 岁女性,宫颈癌术后放疗,盆腔组织严重纤维化。后因肿瘤复发侵犯直肠,形成直肠瘘。
诊疗破局: 盆腔放疗导致的组织纤维化是本例治疗的主要难点。盆腔组织血供差,质地脆弱,解剖层次不清,手术风险极高。多学科团队制定了精细的腹腔镜方案,术中以毫米级的谨慎操作完整切除病灶,最大程度保护周围脏器。
技术体现: 在「刀锋」上行走,依靠的是对解剖的深刻理解和对生命的极度敬畏。

病情简述:69 岁男性,ESD 术后结肠穿孔,引发腹膜后感染。
诊疗破局: 急诊腹腔镜探查发现瘘口。术中评估感染尚局限,团队果断选择「直肠瘘修补+冲洗引流」的保守手术方案,成功为患者保住了肠道,避免了结肠造口。
技术体现: 在急重症处理中,贯彻快速康复理念,以最小创伤解决大问题,是医者不懈的追求。

病情简述:19 岁女性,间断腹痛腹胀 4 年,辗转求医未果。此次因急性加重急诊入院。
诊疗破局:CT 提示结肠梗阻,非手术减压无效。急诊剖腹探查发现元凶是罕见的「结肠重复畸形」并扭转。及时的手术不仅解除了急性梗阻,切除了病变肠段,更找到了困扰她 4 年的病根。术后患者恢复良好,已回归正常生活。
技术体现: 面对罕见急腹症,果断的手术决策与扎实的探查功底,是挽救患者、明确病因的根本。
从新生儿到花季少女,从晚期肿瘤到罕见畸形,每一步都凝结着多学科团队的审慎决策与协力攻关。医学的海洋浩瀚无垠,尤其是在肠瘘等疑难并发症领域,依然存在诸多未知。
这份总结,是一个阶段的终点,更是新征程的起点。前路漫漫,惟精惟一。新的一年,郑州大学第五附属医院胃肠·甲状腺外科将继续以解决疑难重症为己任,用更优质的医疗服务,守护每一位患者的生命尊严。
好文章,需要你的鼓励