如果把大脑比作人体的「总指挥部」,那么颈动脉就是 24 小时不间断输送血液的「生命主干道」。当这条主干道因斑块堆积而变得狭窄拥堵,大脑就会供血不足,甚至随时面临「断供」风险——这就是颈动脉狭窄。
近日,重庆松山医院神经疾病科团队成功开展首例颈动脉内膜剥脱术,为一位 84 岁高龄的严重颈动脉狭窄(通常指狭窄程度达到 70%-99%)患者清除了堵塞颈部血管的「定时炸弹」。

高龄老人频现眩晕,检查揪出颈部「定时炸弹」
2 个月前,84 岁的刘大爷(化名)身体开始出现异样:每次从沙发或椅子上起身,整个世界就在他眼前旋转起来。最近,刘大爷的头晕愈发频繁,哪怕只是走两步,那种天旋地转的感觉就会随之袭来。家人看在眼里、急在心里,赶紧把他送到重庆松山医院神经疾病科就诊。


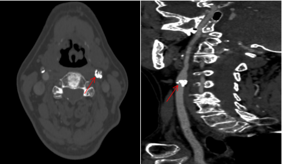
经头颅 CTA、全脑血管造影等检查,发现刘大爷左侧颈动脉窦部出现严重环形钙化斑块,已造成血管重度狭窄,导致同侧大脑供血严重不足,只能依靠对侧颈内动脉通过前交通动脉向左侧大脑中动脉部分代偿供血。
神经疾病科史树贵教授团队分析认为,刘大爷属于「症状性颈动脉重度狭窄」,他的头晕等症状正是由这条狭窄血管引起的,因此有明确的「血运重建」指征——也就是说,必须打通这条堵塞的颈动脉,恢复大脑的正常供血。
多学科会诊,敲定颈动脉内膜剥脱术
医院迅速启动多学科会诊(MDT)。神经疾病科、呼吸与危重症医学科、心血管内科、麻醉科等多科室专家齐聚,全面评估患者的高龄体质、血管狭窄情况及身体耐受度,反复研讨手术方案。
目前,治疗颈动脉中重度狭窄主要有两种方式:一种是微创的颈动脉支架植入术(CAS),另一种是外科的颈动脉内膜剥脱术(CEA)。
然而,对于刘大爷而言,常规的支架植入(CAS)并非理想选择。因为他的斑块并非普通的软斑块,而是严重的环形钙化斑块,像一圈硬壳一样紧紧包住血管壁。若采用常规的支架植入手术(CAS),会面临两大难题:球囊成形术存在球囊回收后斑块弹性回缩,支架植入后存在支架打开不全、贴壁不良的风险。
对于斑块负荷大、钙化严重、颈动脉严重迂曲的患者,颈动脉内膜剥脱术(CEA)成为更优的选择。经过全面评估,刘大爷的心肺功能也能够耐受全身麻醉和外科手术,专家团队最终确定颈动脉内膜剥脱术(CEA)。
显微镜下「微雕」除斑,重建脑供血通道
在麻醉科保驾护航下,手术由神经疾病科叶信珍副主任医师领衔,在高倍手术显微镜下展开。成人颈动脉直径仅数毫米,周围密布着重要的神经与组织,每一步手术操作都不容丝毫偏差。


整个过程如同「微雕艺术」。叶信珍副主任医师精准切开颈动脉,将堵塞血管的硬化斑块完整剥离取出,让大脑供血通道重新恢复通血。

术后,刘大爷生命体征平稳,原有的头晕、视物旋转等症状得到显著改善,恢复过程顺利。
叶信珍副主任医师提醒,颈动脉狭窄在早期可能没有明显症状,但一旦出现以下信号,就需要高度警惕:反复头晕、肢体麻木、言语不清、眼前一过性发黑(像拉上窗帘一样,几秒钟又恢复正常)等。如果检查发现颈部血管存在中重度狭窄,应尽早就医,由专业医师进行全面评估后,选择适合的治疗方案。
好文章,需要你的鼓励