腹腔作为人体内相对密闭的空间,
正常情况下仅有少量液体起润滑作用。
然而,当腹腔内异常积聚过量液体,
医学上称为「腹腔积液」或「腹水」时,
这往往不是一个独立疾病,
而是一个重要的健康警示信号,
其背后可能隐藏着
从常见肝病到罕见肿瘤的多种病因。
近期,郑州大学第五附属医院
胃肠甲状腺外科收治了
两例特殊类型的腹腔积液患者,
在科主任杨战锋及其团队的精心诊治下,
患者均已康复出院。
一位 89 岁老年女性因近 1 个月逐渐加重的腹胀、食欲不振和轻微腹痛来院就诊。患者自觉腹部逐渐膨隆,伴乏力与体重减轻。查体发现腹部膨隆,触诊有柔韧感与轻度压痛,移动性浊音阳性。腹部超声提示大量腹腔积液。


外院曾行诊断性腹腔穿刺,却未能明确病因。PET-CT 检查提示恶性肿瘤可能。为寻求进一步诊治,家属来到医院胃肠甲状腺外科找到杨战锋主任。
杨主任团队详细评估后,决定行腹腔镜探查。术中发现腹膜、大网膜及肠壁表面布满大小均匀的粟粒样结节,腹腔及盆腔内积聚大量草绿色腹水。凭借丰富经验,杨主任判断该病变可能并非肿瘤,留取病理标本后结束手术。
术后病理结果出人意料:检测出结核分枝杆菌,最终确诊为结核性腹膜炎。 患者随后转入感染科接受抗结核治疗,目前恢复良好。
杨战锋主任指出: 「老年结核性腹膜炎患者的临床表现往往隐匿且不典型,发热、盗汗等典型中毒症状可能不明显,极易被误诊为消化不良或老年性改变。因此,在老年腹水患者的鉴别诊断中,除考虑心、肝、肾疾病及肿瘤外,也应将结核这一可治愈的感染性疾病纳入考量。」
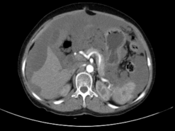
另一位 80 岁老年女性患者因精神萎靡、低热就诊,腹部 CT 检查发现其腹腔积液分布颇具特征:肝脏边缘呈「扇贝形」受压,大网膜增厚呈「饼状」。外院治疗效果不佳,遂至郑大五附院求诊。


杨战锋主任详细询问病史并全面查体后,初步判断为腹腔粘液瘤可能。排除手术禁忌后,行腹腔镜探查,术中见腹腔、盆腔内大量胶冻样粘液性腹水,阑尾可见实体肿瘤,子宫及双侧附件亦见粘液样肿块。
遂联合妇科专家共同手术,术后病理证实为阑尾低级别粘液性肿瘤。 谜底就此揭开:这是一种较为罕见的腹膜假黏液瘤。阑尾的黏液瘤细胞在腹腔内悄然播散,持续产生大量胶冻状黏液,逐渐形成特征性的「黏液性腹水」。这类积液既非普通的漏出液,也非化脓性渗出液,而是一种需要外科肿瘤减灭术等综合治疗的肿瘤性疾病。
杨战锋主任总结,腹腔积液的诊治犹如侦探破案,需循序渐进、精准施策:
第一步:明确性质,鉴别「清水」与「浓汤」
首选检查:安全、便捷的腹部超声进行初筛
关键步骤:诊断性腹腔穿刺,通过分析积液中的蛋白、细胞、细菌或肿瘤细胞,可初步区分:
漏出液:源于全身因素(如肝硬化、心衰)
渗出液:源于局部炎症、感染或肿瘤
第二步:追根溯源,针对病因治疗
治疗绝不能止于「抽水」,核心在于针对根本病因:
肝硬化腹水:基础治疗包括限盐、利尿、补充白蛋白,必要时考虑门体分流术(TIPS)
感染性腹水:需根据病原学结果选用敏感抗生素
癌性腹水:依据肿瘤类型,采取全身化疗、腹腔灌注或靶向治疗
罕见病如腹膜假黏液瘤:需在有经验的医疗中心进行肿瘤细胞减灭术等综合治疗
杨主任特别提醒:进行性加重的腹胀、腹围增大,尤其伴有腹痛、发热、消瘦、黄疸或呼吸困难时,切不可简单归咎于「发胖」或「消化不良」。
这很可能是身体发出的重要警报。 及早就医,通过规范检查明确病因,是决定治疗成败与患者预后的关键一步。
好文章,需要你的鼓励