恶性中央气道阻塞是指气道受到气管壁或腔外恶性组织的浸润、压迫导致中央气道阻塞,出现咳嗽、气促、阻塞性肺炎、甚至呼吸衰竭,往往会危及患者生命。
经支气管镜下介入治疗可以解决此类患者的气道阻塞问题。然而对于患有严重心肺功能衰竭或气道严重阻塞的部分患者,手术风险极高。此时人工肺可为这类患者进行呼吸介入治疗创造条件。
桂林医学院附属医院呼吸与危重症医学科(下文简称呼吸科)不久前对 2 例晚期肺癌合并中央气道严重狭窄、呼吸功能衰竭的患者在人工肺支持下成功进行了气道内支架置入术,解决了患者的呼吸困难问题。术后,患者的生活质量得到明显改善。
张先生今年 4 月不明原因出现咳嗽、呼吸困难症状,在外地某大医院就诊,胸部 CT 提示「前上纵隔区团片状混杂密度影,考虑肿瘤累及气管及右主支气管」,诊断为「低分化腺癌」。由于病变范围过大无法手术,他便回到桂林。之后呼吸困难愈加严重,夜间无法平卧,生命危在旦夕。
于是,张先生来到桂林医学院附属医院就医,呼吸科医生会诊考虑是肿瘤造成气管下段以及右主气管阻塞,随时可能有生命危险。听医生说置入气道支架可以改善通气,他便果断转入呼吸科准备做气道支架置入术。



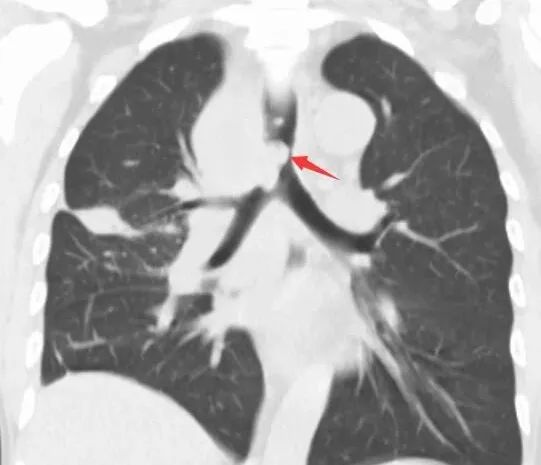
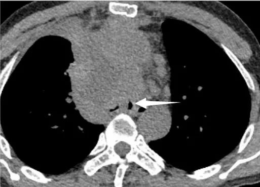
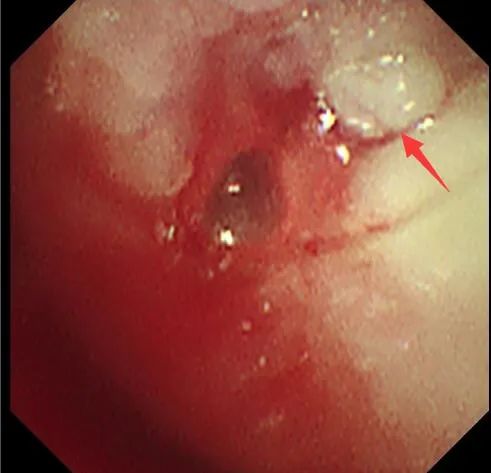
支架置入前(图 1 为 CT 冠状位,红色箭头提示肿物阻塞气道;图 2 为 CT 纵隔窗,白色箭头所指为气道肿物;图 3 为气管镜下图像,红色箭头所指为气道肿物。)
为充分保障患者安全,治疗团队决定对患者先用 ECMO 来改善氧合,之后再进行手术。重症医学科团队有条不紊地为患者进行双侧股静脉置管,连接人工肺管路,使患者血氧饱和度维持在 95% 以上。而在患者的另一边,呼吸介入团队快速插入硬质支气管镜,镜下可见患者气管下段气管已被完全堵塞。
手术团队果断进行电圈套器套切肿瘤、止血治疗,经处理后管腔明显通畅,镜下见气道肿瘤浸润范围从气管下段一直到隆突,右主气管管腔中度狭窄,呼吸介入团队在导丝引导下成功置入 Y 型覆膜支架。术后患者呼吸困难症状明显改善,欣喜的同时也感受到了自由呼吸的来之不易。



晚期恶性肿瘤引起的重度气道狭窄危及生命,需要呼吸介入处理,但常规麻醉呼吸机通气难以解决手术中供氧问题。人工肺又称体外膜肺(ECMO),是一种以体外循环为基础的心肺支持技术,能将血液通过动力泵从体内引到体外,经过氧合器氧合后将血液回输到动脉(VA-ECMO)或静脉(VV-ECMO)系统,从而维持人体组织氧合血供。
本例手术的成功证明对于严重气道阻塞的患者,采用 ECMO 保障生命安全进而完成呼吸介入治疗的方案是可行的,能为更多严重气道狭窄患者带来福音。
桂林医学院附属医院呼吸介入团队成功掌握并能顺利开展各种四级呼吸介入手术,为气道狭窄患者提供优质服务,竭诚守护患者的呼吸通道。

好文章,需要你的鼓励