高跟鞋是许多女性对于美丽的一种追求,然而长期穿高跟鞋或者其它不合脚的鞋子,很容易导致后天性踇外翻畸形的形成,这不仅影响美观,更是会使得穿鞋和走路时疼痛难忍,既影响了生活,又影响了工作。

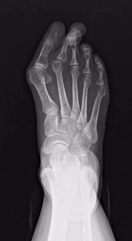
50 多岁的王阿姨,双足后天性踇外翻数年,以右足为甚,由于一直没有正规治疗,畸形日渐严重,近一年来走路时右足底异常疼痛,正常穿鞋也成了困扰。今年 10 月份,王阿姨为了缓解症状,矫正畸形,来到同济医院足踝外科就诊。X 线和 CT 检查显示籽骨已经严重脱位,脚底失去了籽骨的支持,第一跖骨头直接撑地,此外,第二足趾骑跨在第三足趾上,这些症状让王阿姨走路、穿鞋都很困难。

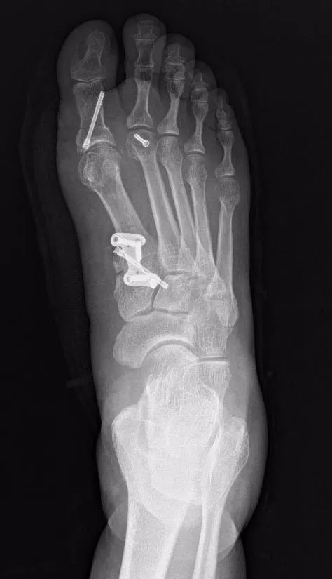
常规的手术方法都是从二维平面上来纠正踇外翻,但事实上踇外翻是一种三维的畸形,常规的术式无法将第一跖骨解剖复位。为了矫正王阿姨的畸形,让王阿姨能够正常的穿鞋和走路,经过仔细的术前准备,杨云峰主任选择了右足第一跖骨截骨+去旋转复位,从三维上将第一跖骨及籽骨恢复到正常解剖位置,第二跖骨采用切开复位+跖板修复手术,将第二足趾完全复位至正常位置,帮助患者解决了穿鞋难、走路痛的问题。
踇外翻畸形是一种常见的足畸形,是指第一跖骨内翻内旋以及趾骨外翻,可合并其它足趾的偏斜、骑跨。除了穿鞋不当以外,肥胖、遗传、年龄、类风湿性关节炎、韧带松弛等原因都可能引起踇外翻畸形的发生。踇外翻是一种复杂的解剖畸形,严重的踇外翻畸形可出现足底的疼痛及感觉减退,此时及早手术才是矫正踇外翻畸形的最佳解决办法。
好文章,需要你的鼓励