-
生命的奇迹——32 天 768 个小时精心医护,10 楼坠落的昆明 14 岁女孩出院了……
2026-03-09 -
辽宁方大总医院 MDT 会诊:疑难病症可申请 多专家联手解难题
2026-03-06 -
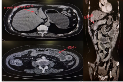
胆囊结石忍了又忍,这次撑破胆囊掉进小肠卡死
2026-03-06 -
疼到睡不着、吃不下!顽固疼痛别硬扛!
2026-03-06 -
一次修复,一份宽慰:嘉会助力藏族青年从容走向康复之路
2026-03-06 -
全飞秒 4.0,为何成为征兵、艺考的学子优选?
2026-03-06 -
帮扶暖民心 妙手护安康——漳州第三医院帮扶专家助力华安患者重获健康
2026-03-06 -
89 岁熊猫血老人脑内大面积出血,竟凭「保守治疗」闯过生死关
2026-03-06 -
800 度近视+300 度散光,个性化微飞秒圆梦军旅
2026-03-06 -
南大二附院刘安文团队研究成果发表于国际顶级期刊,首次揭示放免联合治疗相关心脏损伤防治关键策略
2026-03-06








