-
交大一附院获批陕西省免疫学、内分泌、医院感染管理医疗质量控制中心
2026-03-11 -
以「精准」护佑健康:前海人寿广州总医院泌尿外科正式迈进机器人手术新时代
2026-03-11 -
交医精术 | 胸外科张勇教授团队深耕颈腹双单孔微创食管癌根治术获新成效
2026-03-11 -
科研速递 | 浙大四院血管外科团队在 EJVES 发表原创技术成果:假性动脉瘤 PLTA 精准闭合新策略
2026-03-11 -
32 分钟,生死营救
2026-03-11 -
半世医路守初心 脊柱领域铸匠心
2026-03-11 -
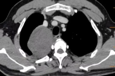
9 cm 胸腔巨瘤「盘踞」体内,微创技术如何巧妙化解危机?
2026-03-10 -
本想「割痔疮」,却意外发现肾上长个「西瓜大」肿瘤
2026-03-10 -
延续性医疗服务新突破|江西省儿童医院吴文波主任团队顺利治疗河南 20 岁女孩罕见膀胱外翻
2026-03-10 -
Ph+ALL 五年脱白,她在道培闯出一条「不移植」的治愈路
2026-03-10










