

近日,66 岁的张阿姨(化名)因胸口闷痛加重到我院就诊,一查竟发现胸膛里藏着颗 「不定时炸弹」——升主动脉扩张到 6 厘米(正常不超 4 厘米),还伴着主动脉瓣重度关闭不全,再加上有家族遗传的马凡综合征,血管随时可能破裂或引发致命主动脉夹层!
在多学科协作下,我院胸心血管外科团队实施了高难度「Bentall 手术」,既成功「拆弹」又重建了「生命主干道」,张阿姨最终顺利康复出院,标志着这台高风险、高难度的心脏大血管手术取得圆满成功。
张阿姨来院时,反复前胸部闷痛的症状已经折腾了她 3 年,4 天前症状突然加重后,她连喘气都难受。
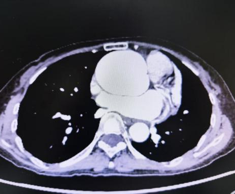
心脏彩超和主动脉 CTA 检查明确诊断为:升主动脉瘤样扩张(最宽处直径约 6.0 厘米)+ 主动脉瓣重度关闭不全。 经详细询问病史及详细体格检查,张阿姨还被诊断为「马凡综合症」且有家族遗传现象。


「正常升主动脉直径一般不超过 4 厘米,现在张阿姨的血管已经扩张到最宽 6 厘米,就像被吹胀的气球,壁薄得不堪重负。」
胸心血管外科石磊副主任医师解释,当升主动脉直径扩张 ≥ 4.5 厘米或直径超过正常部位的 1.5 倍以上时可形成动脉瘤,血管壁难以承重,随时可能引发主动脉夹层或破裂,死亡率极高,堪称 「埋在胸膛里的不定时炸弹」。
更棘手的是,病变的主动脉瓣无法正常关闭,导致大量血液返流回心脏,已造成张阿姨心脏功能严重受损,出现心力衰竭的征兆。
「现在手术成了挽救患者生命的唯一途径!」石磊副主任医师说道。
鉴于病情凶险又复杂,胸心血管外科立刻牵头,联合麻醉科、手术室、重症医学科、放射科、输血科等各科专家开展多学科会诊(MDT)。
经过全面评估,专家团队最终敲定方案:实施经典的「Bentall 手术」(升主动脉带瓣管道置换术 + 冠状动脉移植术)。
「这可不是简单的血管替换,而是一项『心脏出口重建系统工程』,是心脏外科领域最复杂的手术之一。」
石磊副主任医师解释,手术要在深低温停循环的体外循环支持下,先把病变的升主动脉和「罢工」的主动脉瓣一起切除;再用一个『人工带瓣管道』(即人工血管和人工瓣膜的复合体)来重建患者的『心脏出口』和『生命主干道』;最关键的一步,是要把供应心脏自身供血的左右冠状动脉,精确移植到新的人工血管上。
「任何一步出错,都可能造成心肌缺血,导致手术直接失败!」
手术当天,在麻醉科、手术室和体外循环团队的精密护航下,石磊副主任医师带领手术团队展开了长达 4 小时的 「生命保卫战」:

01
术中,团队建立了体外循环,将张阿姨的体温降至安全保护状态;
02
精确切除了病变的主动脉和瓣膜,置入合适尺寸的人工带瓣管道;
03
最考验技术的一步:像「绣花」一样,将纤细的冠状动脉开口小心翼翼地吻合到新血管上。

整个过程如履薄冰,但团队配合默契,操作精准流畅。
当升主动脉阻断钳开放、心脏自动复跳的那一刻,救治团队松了口气。
经食道超声监测确认:新植入的人工瓣膜启闭良好,无任何返流,冠状动脉血供充沛——手术成功了!张阿姨的 「生命主干道」 被成功重建,重获「心」生。
术后,张阿姨被送入重症医学科(ICU)、胸心血管外科接受密切监护及治疗。
在 ICU 和胸心血管外科医护团队的精心照料下,张阿姨生命体征平稳,术后第 1 天顺利脱离呼吸机,并很快开始床旁活动。
团队还为她搭配了我院特色中医外治——中药贴敷、温通拨筋罐、中医刮痧,帮她调理身体,加快康复。

通过这例手术,石磊副主任医师也向公众发出健康提醒:主动脉疾病起病隐匿,就像「沉默的杀手」,平时无明显症状,一旦发病则异常凶险。高血压、马凡综合征、动脉硬化及有家族史的人群正是高危人群。
石磊副主任医师建议:「普通人应定期体检,通过心脏彩超等无创检查,就能初步筛查主动脉情况。如果确诊为主动脉瘤,一定要严格遵医嘱,控制血压和心率,并定期复查,在达到手术指征时及时干预,避免发生不可挽回的悲剧。」
此次高难度 Bentall 手术的成功,不仅救了张阿姨的命,更再次彰显了我院在心脏大血管外科领域的技术实力和多学科协作的综合救治水平,为区域内复杂心血管疾病患者带来了生的希望。
未来,我院胸心血管外科将继续聚焦「技术+多学科协作」,致力把患者的「九死一生」变成「重获心生」。
好文章,需要你的鼓励