「手术太复杂,一不小心容易大便失禁;不治又流脓,还天天疼得睡不着……」 王先生(化名)焦虑又无奈地说道。
王先生的痛苦,源于肛瘘的 「高位」 和 「复杂」:普通肛瘘位置浅、瘘管直,而他的瘘管不仅走向复杂,像盘绕在肛门深处的 「迷宫隧道」,深达肛提肌上方,还穿破了控制排便的肛门括约肌复合体,形成了提肛肌上脓肿。
正因为病情过于棘手,多家医院的医生都不敢选择手术治疗,可保守治疗只能暂时缓解,流脓、剧痛反复来袭,严重影响生活。
抱着一丝希望,王先生最终找到了我院肛肠专科团队。面对这例极为复杂的病例,接诊的仙葫院区普通外科·肛肠科李裕波团队没有退缩。
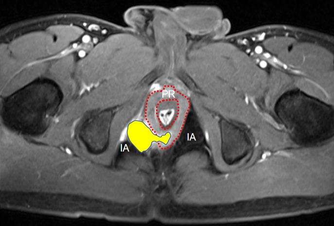
他们先给王先生做了详细的专科检查——王先生的肛周外观看着完全正常,可肛门指检时,能摸到右侧粘膜饱满、压痛,6 时位的肛窦还能触及硬结、压痛。肛周 MRI 更是清晰显示,瘘管主支像 「隧道」一样穿过肛管直肠环,突破肛提肌,并合脓肿形成。最终明确诊断为「高位复杂性肛瘘」。


结合王先生的症状、体征及影像结果,李裕波手术团队进行深入的术前讨论:肛门括约肌就像控制排便的「闸门」,高位肛瘘的瘘管刚好绕在「闸门」周围,此时治疗需要权衡治愈率和肛门功能保护,既要把瘘管和脓包清干净,又不能在过程中碰伤括约肌,否则会导致大便失禁,终身遗憾。
因此复杂性肛瘘的手术治疗常常要联合多种手术方式,方能在保证治愈的前提下最大程度的保护肛门功能。「治愈肛瘘是目标,但保住肛门功能是底线!」
最终,团队敲定手术方案:TROPIS(经肛括约肌间切开术)+ 松弛挂线手术——该术式是目前国际上推崇的、能最大程度保护括约肌的微创手术之一,刚好平衡了「肛瘘治愈率」和「肛门功能保护」。「2021 年,我们团队也是国内首个在国际杂志发表 TROPIS 手术临床研究的团队。」
「复杂性肛瘘是肛肠外科领域公认的『硬骨头』。」李裕波介绍,手术的核心主要抓四点:彻底处理原发病灶、彻底清创瘘管脓腔、通畅引流手术创面、全力保护肛门功能。
与其他术式相比,TROPIS 术的巧妙之处,正在于「绕开要害、精准拆隧道」;加上松弛挂线手术,这套组合术既能彻底清病灶,又最大程度保护括约肌这个「排便闸门」,是对付高位复杂性肛瘘的「利器」。

传统的肛瘘切开引流术
虽然治愈率高但容易损伤括约肌,进而伤害肛门功能、导致大便失禁。因此保护肛门括约肌手术才是复杂性肛瘘未来手术治疗的一大趋势。
常见的保留肛门括约肌手术
松弛挂线引流术、直肠黏膜推移皮瓣术、肛瘘栓填塞术、LIFT 术、VAAFT 术等常见的保留肛门括约肌手术各自存在一些缺陷,治疗复杂性肛瘘的结果欠满意。
TROPIS 手术
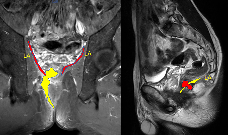
TROPIS(经肛括约肌间切开术)作为目前一种新兴的肛瘘保留肛门括约肌手术,其核心原理是:①经肛门切开肛门内括约肌,开放内外括约肌间隙,清除感染源。②保留外括约肌,减少对肛门控便的影响。③引流脓腔或瘘管,达到二期愈合。
该术式的核心优势在于:经肛内切开肛门内括约肌,完全敞开括约肌间隙,几乎不损伤肛门外括约肌,极大程度的保护肛门功能和肛周形态。

手术中,团队借着高清视野,绕开要害、精准拆「隧道」:既把瘘管和脓包清得干干净净,又没碰伤外层括约肌——这层肌肉是控制排便的关键,不损伤它,就守住了 「控便底线」;再用松弛挂线术引流剩余的脓腔和瘘管,让创面慢慢二期愈合,避免积液积脓。
整个过程就像在布满「高压线」的狭窄空间里拆炸弹,每一步精准到毫米,最终手术顺利完成。
手术成功只是肛瘘治疗的第一步,复杂肛瘘的术后康复,同样考验着团队的细心和经验。王先生的康复之路就遇到了两次 「小危机」:
术后王先生肛周创面突发出血两次,团队凭借丰富经验,果断采取止血措施,快速控制住了出血,没影响创面愈合。
就在创面接近痊愈时,团队又发现切口深部有少量食物残渣残留,这会导致感染、延缓愈合。团队立即为王先生进行了一次彻底的异物清除手术,扫清了愈合路上的 「绊脚石」。
「肛瘘治疗的全程管理至关重要,不是『做完手术就结束』,术后创面愈合管理、换药和并发症处理也是治疗成败的关键。」李裕波介绍,例如高位复杂性肛瘘术后大出血虽然少见,但是出血凶猛,肛周创面暴露困难,处理更是棘手。 「我们必须对每一个细节保持高度警惕,及时发现问题并果断处理。」
同时科室还为王先生制定了个体化的中西医结合治疗措施:
中药热奄包敷腰部:温经通络、消肿止痛,缓解腰部麻醉术后不适感;
中药「苦劳汤」坐浴:消肿止痛,祛瘀生新,促进切口愈合;
中药辨证内服:调理脾胃,促进身体恢复。
院内制剂拔毒生肌膏外敷:直接涂在创面上,加速切口愈合。
此例极端复杂肛瘘的成功救治,充分展现了我院肛肠专科在处理肛肠疑难重症上的硬实力——不仅能熟练运用国际前沿微创技术处理肛肠疑难重症,还能通过个体化诊疗,在「治愈疾病」和「保护功能」之间找到最优解,为众多疑难肛肠疾病患者带来了新的希望。
问 01 什么是肛瘘?
肛瘘是肛门直肠周围脓肿破溃或切开引流后,没完全愈合留下的 「后遗症隧道」,通常包括内口、瘘管和外口三部分。
这条异常通道一端连肛管/直肠(内口),一端通肛周皮肤(外口),中间的瘘管会反复发炎、流脓。
问 02 哪些信号要警惕?
肛瘘主要发病原因包括:①肛门腺感染是主要原因;②克罗恩病等特殊类型肛瘘的重要病因;③外伤或手术直肠手术或损伤后并发症;④结核感染。
主要症状:肛周肿痛,流脓不适,肛周瘙痒,肛周触及条索样硬结。
问 03 怎么预防肛瘘?
及时治肛周脓肿: 别拖着等破溃,及时治疗肛周脓肿能避免形成慢性瘘管;
保持肛周清洁: 便后用温水清洗,擦干保持干燥;
饮食别任性: 合理饮食,少吃辛辣、油腻、刺激食物,保持大便通畅;
控制基础病:
有克罗恩病、糖尿病的患者,要规范治疗,避免诱发肛瘘。
问 04 怎么应对肛瘘?
确诊后勿拖延:肛瘘一旦确诊应尽早治疗,尤其是高位复杂性肛瘘,拖得越久,瘘管越复杂,手术难度大,复发率高,对肛门功能威胁大。
找专业肛肠外科医生评估治疗:经验丰富的专科医生和团队,能制定个体化方案,避免盲目手术。
优先选微创保功能术式:采用个体化的微创治疗方案,是确保治愈并保护功能的关键。例如 TROPIS 这类技术,能在治愈率和功能保护之间找到平衡。
重视术后管理:术后严格遵守医嘱、定期换药和复查,别擅自停药或忽视创面清洁,这是避免复发的关键。
好文章,需要你的鼓励