不到 40 岁的洪先生(化名),已被眩晕困扰整整 6 年。
7 年前洪先生确诊左侧脑血管畸形,接受介入栓塞术及伽玛刀治疗后,从第二年开始,他每天都会突发眩晕,最近一年还伴随出现了右臂僵直握拳的症状,虽然每次持续很短(约 10-15 秒),但日复一日的眩晕已经严重影响了洪先生的生活。
洪先生来到全景,希望通过深度影像筛查和佲医荟专科问诊得到解答。
考虑到病症复杂,全景安排门诊部主任与影像主任联合问诊,结合病史和症状,影像主任建议在无创检查前提下,采用结构影像、血流灌注与代谢功能的多模态联合检查,通过脑部 MR 平扫、ASL 脑血流灌注成像与脑部 PET-CT 的融合,实现精准定位与定性诊断。
温馨提示:为了保护患者隐私,本案例全文使用化名。
脑部核磁+ASL 脑血流灌注成像显示:
左侧基底节区异常信号,考虑术后改变,局部脑软化灶周围胶质增生;相应区域 ASL 示灌注稍减低。
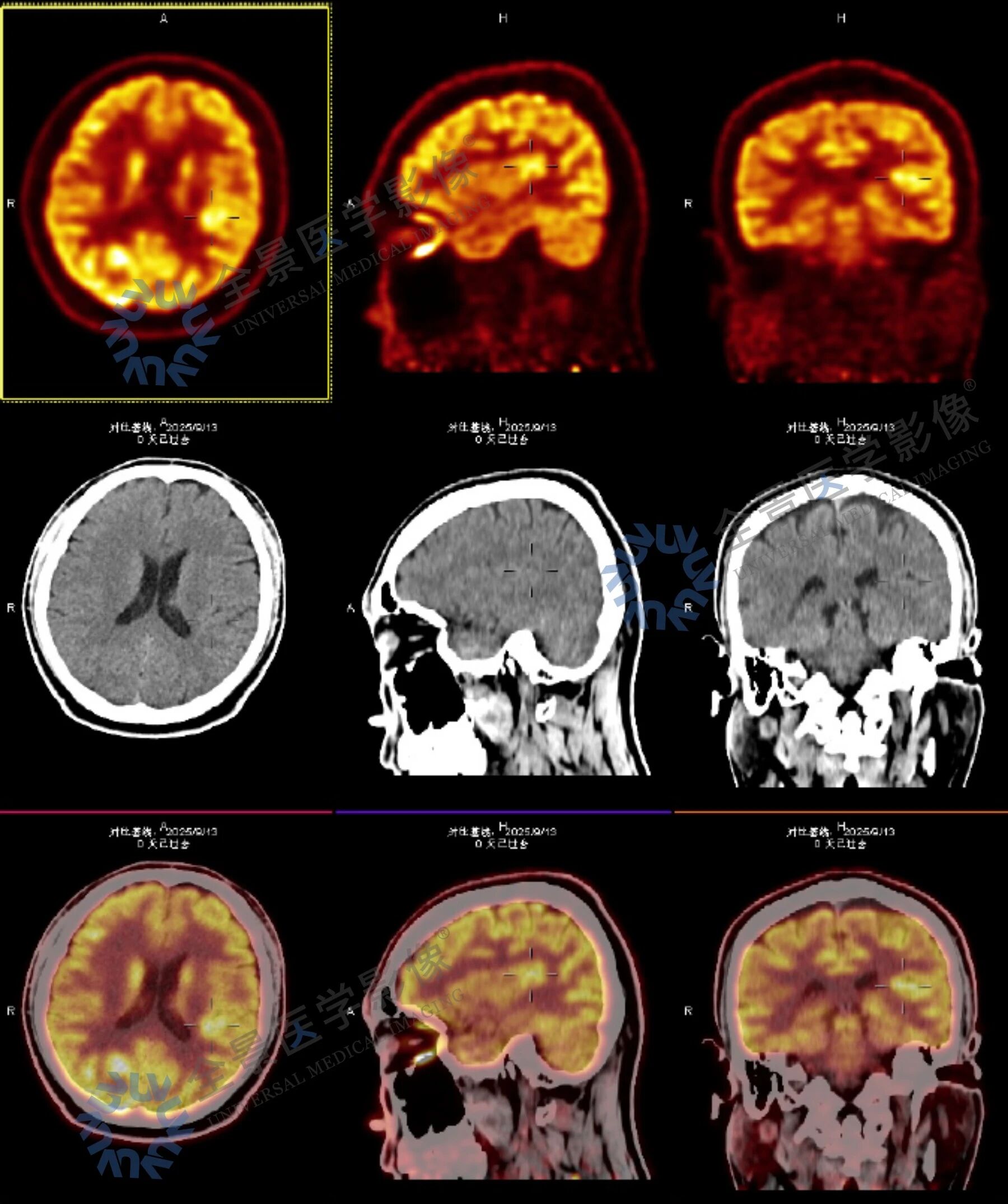
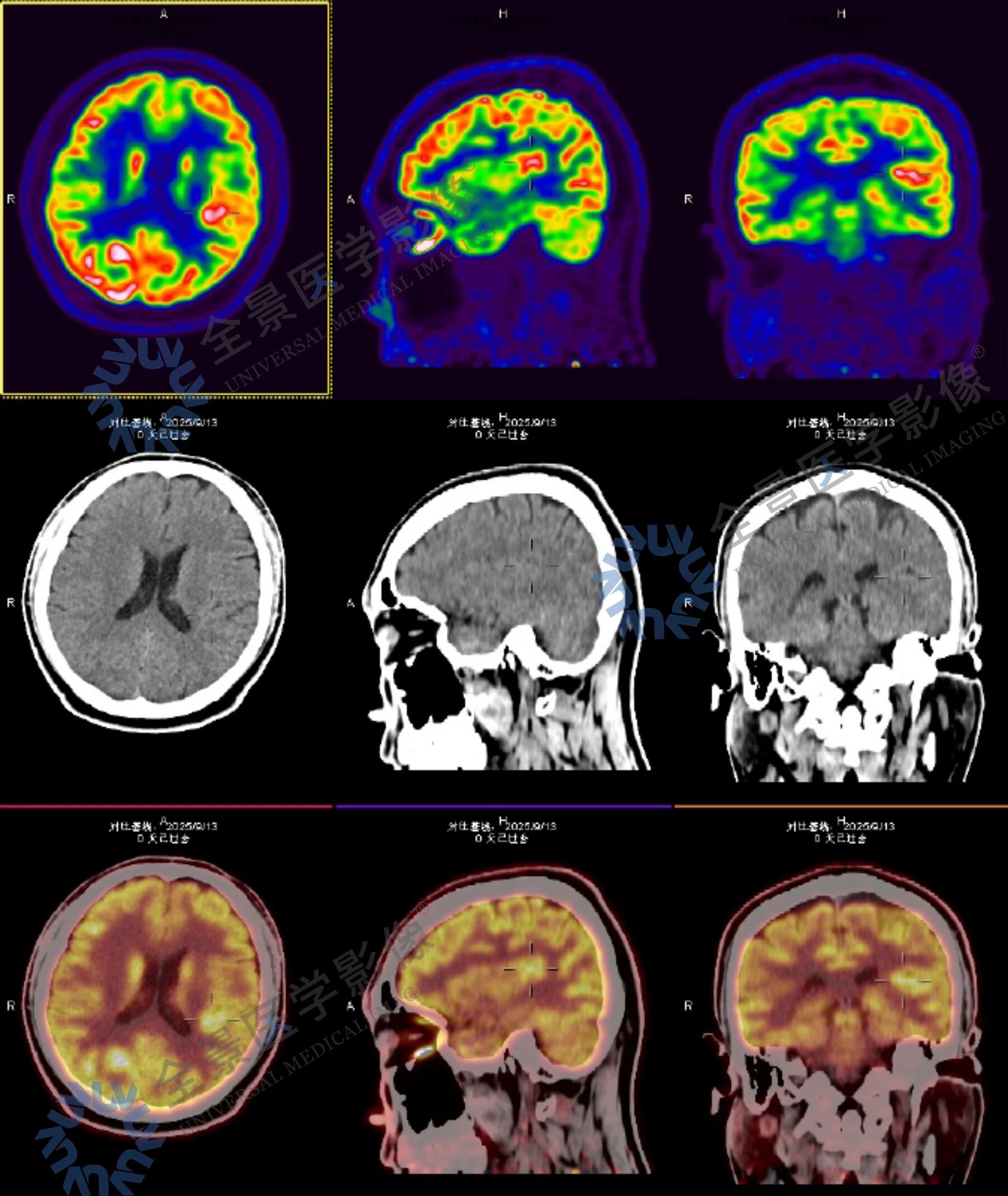
脑部 PET-CT 扫描显示:
病灶前缘 MR 异常信号增高,考虑局部神经胶质增生表现;左侧上额叶中部深层较小的类圆形代谢轻中度增高灶及左侧颞叶中部后内侧小片状轻中度代谢增高灶。
结合影像检查结果与临床表现,考虑上述三个部位与头晕发作关系密切,提示存在癫痫可能,以左侧颞叶中部后内侧代谢增高灶为主要病变部位。



明确病因后,全景从佲医荟专家团队中精挑细选了上海三甲医院擅长癫痫综合征诊断与治疗的临床主任医师,为他进行报告解读与线上诊断。
主任明确诊断其为继发性癫痫,并解释此前用药无效不代表无法治疗,建议可以更换抗癫痫药物,并详细指导用药注意事项:坚持服药至少 2 周,记录发作情况,如需调整用药需先检测血药浓度。专家还贴心建议,后续治疗在本地三甲医院即可。
本文案例归全景医学所有,患者隐私信息已做处理,未经作者及相关权利人许可,不得商用。
好文章,需要你的鼓励