随着社会人口的老龄化,我国发生房颤的患者越来越多,房颤已成为临床上最常见的心律失常,房颤的主要危害在于左心耳的血栓栓塞引起脑中风。
如何预防房颤引起脑中风?
01 使用抗凝药物 (活血药)
不管房颤病人是否做过射频消融手术,也需要服用一段时间的抗凝药物,以减少脑中风,但长期吃活血抗凝药又容易导致大出血的风险。
02 经皮左心耳封堵术
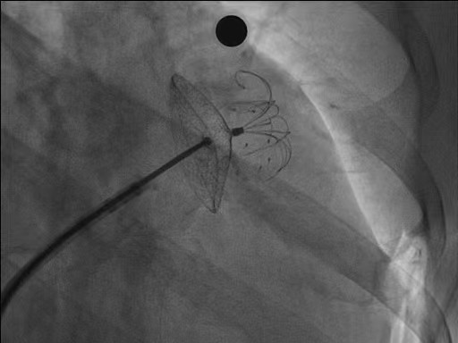
经皮左心耳封堵术是目前预防房颤脑中风比较好的微创介入方法。
它通过穿刺股静脉送导管经右心房→左心房→左心耳,最后左心房和左心耳交界处用一个盘状封堵器塞住,封闭左心耳的血栓,这样就起到了预防脑中风作用。
经皮左心耳封堵术效果肯定,又不需要长期服用抗凝药引起严重出血的风险,手术时间大概在 40~60 分钟左右。
为什么要封堵心脏的「小耳朵「?01「小耳朵「长在哪里?它是左心房右前方向前突出的部分,它的形状如我们的人耳,因此而得名左心耳。
左心耳和房颤有什么关系?
它是一个狭长的管状盲区,形状不规则,长相有菜花型、鸡翅型、风向标型、仙人掌型,血液经过左心耳容易产生流速减慢和涡流,因此容易形成血栓,房颤患者约 90% 的血栓来源于左心耳。
因此用一个盘状封堵器将左心耳封堵住,消灭掉了血栓形成的部位,就大大降低了房颤患者发生脑中风的风险,又避免长期服用抗凝药大出血的风险。

好文章,需要你的鼓励