「对不起兄弟们,今天来晚了,我先自罚三杯!」 酒桌上,这样的开场白似乎成了不少人眼中的 「爽快」 标配,杯中摇曳的酒液也常被视作快意人生的点缀。可很少有人意识到,一旦越过 「度」 的红线,这杯中之物便会化身 「定时炸弹」,每一口畅饮都可能在为生命埋下隐患。
24 岁的董某(化名)躺在昆明三博脑科医院神经外二科的病床上,回想不久前的经历仍心有余悸:「当时就觉得喝多了断片儿,没想到一睁眼竟在医院,差一点就把命丢了。」 这场惊魂记的起因,正是他一次不加节制的豪饮。
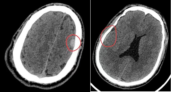
1 公斤白酒下肚,年轻小伙昏迷送医,查出脑出血
10 月 6 日凌晨,昆明三博脑科医院急诊抢救室的警报骤然响起 ——120 急救车正转运一名昏迷的年轻男性患者。车刚停稳,陪同的朋友王某便焦急地冲向医护人员,声音因慌乱而发颤:「医生快救救他!他叫董某,3 小时前喝了大概 1 公斤松子酒,一开始还能说话,后来突然就没了意识,怎么喊都没反应,我们赶紧打了 120!」
入院后,董某病情急速恶化,情况危急,朋友见状悄悄溜走。为全力救治,急诊科请示医院总值班,立即牵头组建急救团队,开通绿色通道展开抢救:给予心电监测、指脉氧监测、观察生命体征检测等;并开放气道,保持呼吸道通畅,建立静脉通道,补液促醒,维持内环境稳定等对症支持治疗。与此同时,医护人员推着平车,以最快速度将其送往影像科行头颅 CT 检查。

检查结果让所有人都捏了把汗:CT 显示董某右外侧裂池、右颞顶叶部分脑沟,以及大脑镰、小脑幕密度增高,提示为 蛛网膜下腔出血;更危险的是,他还伴有左额部硬膜外小血肿,且血肿仍在持续增大,随时可能引发颅内压升高、脑疝等致命风险。
急诊科值班医生当机立断,第一时间邀请神经外二科医生紧急会诊,共同制定救治方案;并安排工作人员联系辖区派出所,协助寻找董某家属。经过多方努力,医护人员终于与家属取得联系,在电话中详细说明病情并获得治疗同意后,董某在急诊科医护的护送下,被转入神经外二科接受进一步针对性治疗。幸运的是,经过及时救治,董某于次日成功清醒,病情明显好转,顺利闯过了生死关。
别轻视!一次豪饮就让大脑 「宕机」,这些危害年轻人也躲不过
「很多人觉得『偶尔喝一次、喝多一点没关系』,尤其在聚会、社交场合,饮酒仿佛成了默认的『社交礼仪』。」 急诊科值班医生无奈地表示,但事实上,酒精对身体的伤害远超多数人的认知,它进入人体后,会迅速对多个系统发起 「全方位攻击」,且不分年龄,年轻人同样难以幸免。
「过量饮酒相当于给神经系统按下『加速毁灭键』。」 急诊科值班医生解释,酒精能直接穿透血脑屏障,不仅会导致大脑皮层萎缩,还会造成神经元大量死亡,引发记忆力下降、反应迟钝等问题;更危险的是,酒精会使血管剧烈扩张,导致血压像 「过山车」 般骤升骤降,大幅增加心脑血管疾病的发病风险。「我们急诊接诊的自发性脑出血患者中,近 20% 都与饮酒相关,其中不乏董某这样的年轻人。」
除此之外,酒精还会给消化系统和肝脏带来沉重负担:长期或过量饮酒可能诱发消化道溃疡,导致胃出血;同时,肝脏作为代谢酒精的主要器官,会因持续 「超负荷工作」 引发酒精性肝炎、肝硬化等疾病,严重时甚至会发展为肝癌。
饮酒牢记 「三限原则」,这些细节能减少伤害
为了避免健康受损,韦主任特别提醒大家,饮酒务必遵循 「三限原则」:
一是 限量:健康成年男性每日摄入的纯酒精量不应超过 15 克(换算成饮品约为 50 度白酒 1 两、红酒 200 毫升或啤酒 500 毫升),女性则需控制在更低水平,避免过量摄入;
二是 限频:不要每天都饮酒,建议每周至少留出 3 天不饮酒,让肝脏有充足的时间休息,减少代谢负担;
三是 限速:饮酒时避免 「一口闷」「快速灌」,每小时摄入的酒精量不宜超过 15 克(约等于 1 罐普通啤酒),给身体足够的代谢时间。
同时,医生还分享了两个减少酒精伤害的小技巧:饮酒前可先喝一杯温牛奶,利用牛奶中的蛋白质在胃黏膜表面形成保护膜,减少酒精对胃壁的刺激;就餐时搭配豆制品(如豆腐、豆浆)或新鲜蔬菜,其中的营养成分能在一定程度上促进酒精代谢,帮助减轻肝脏压力。
「酒精对健康的危害不可逆,为了自己和家人,务必谨慎饮酒。」 医生最后强调,尤其是青少年,身体各器官尚未发育成熟,对酒精的耐受度更低,更应坚决远离酒精,切勿因一时冲动或 「好面子」 而让自己陷入健康危机。
好文章,需要你的鼓励