11 月 15 日,西安高新医院泌尿外科成功采用钬激光前列腺剜除术为一位巨大前列腺增生患者实施手术,术中剜除 100 分钟,粉碎 35 分钟,剜除后的前列腺增生组织重达 224 克,创西安高新医院泌尿外科成立以来手术治疗前列腺增生重量之最。
今年 80 岁的柳爷爷生活在外地,出现进行性排尿困难长达 10 年之久,因为老爷子有慢性肾功能不全、肾性贫血、甲状旁腺功能亢进及高血压等多种基础性疾病,加之前列腺增生不是什么要命的病,所以也就一直没想着手术。随着年龄增长,老爷子的病情越发严重,半夜频繁起夜让他苦不堪言。
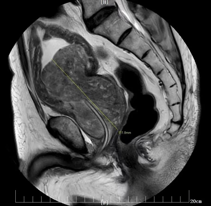
11 月 9 日,柳爷爷前往西安高新医院泌尿外科治疗。详细查体显示,柳爷爷前列腺体积显著增大至 112×80×70 mm,梗阻明显、排尿困难,仅凸入膀胱内的前列腺增生部就有 60x61x50 mm。

与手术麻醉科胡彬主任共同商议并全面评估李老爷子身体状况后,协调输血科提前备血。结合既往手术经验,泌尿外科甘为民主任团队为李老爷子选择了出血风险极低,术后症状改善明显损伤小的经尿道钬激光前列腺剜除术。
11 月 15 日下午 13:30,在手术麻醉科团队配合下,手术顺利结束,甘为民主任主刀为老先生顺利实施了经尿道钬激光前列腺剜除术,术中切除的腺体重达 224 g(正常前列腺重约 20 g),术后恢复良好。

近年来在国际上兴起的经尿道钬激光前列腺剜除术利用光纤传导激光,利用激光能量爆破、钝性分离前列腺增生腺体与前列腺外科包膜之间的间隙,从根源上将增生腺体从外科包膜内完整地剥离、剜除,再以组织粉碎器将腺体组织粉碎成碎块吸出体外。

经尿道钬激光前列腺剜除术具有解剖精细、极少出血、安全性高,疼痛小,复发率低的特点,24 小时即可出院,可大大减少患者的住院费用及术后并发症的风险。尤其适合高龄、基础病多、IPSS 评分中重度、身体情况差,前列腺重度增生的患者。
好文章,需要你的鼓励