人们在与「意外」擦肩而过时,往往第一反应是自己何其幸运,但健康「幸运之神」的眷顾,有时并没有那么多的戏剧性,而是那些为守护生命健康而全力以赴的幕后英雄背后的托举。
Z 先生就是这样一位幸运儿,35 岁的他平时生活习惯良好,也无吸烟喝酒的不良嗜好,在陪家人检查时临时决定做一次身体基础检查,当他在健康管理中心与医生沟通病史时,连主任敏锐地捕捉到一条关键信息:Z 先生的父亲有肿瘤病史,家族史也是癌症的高危因素之一,凭着职业的敏感度,从健康检查的严谨性出发,他建议 Z 先生额外加做胸部低剂量 CT 检查及相关肿瘤标记物检查。
正是这条额外增加的医嘱,帮他揪出了一颗「定时炸弹」。

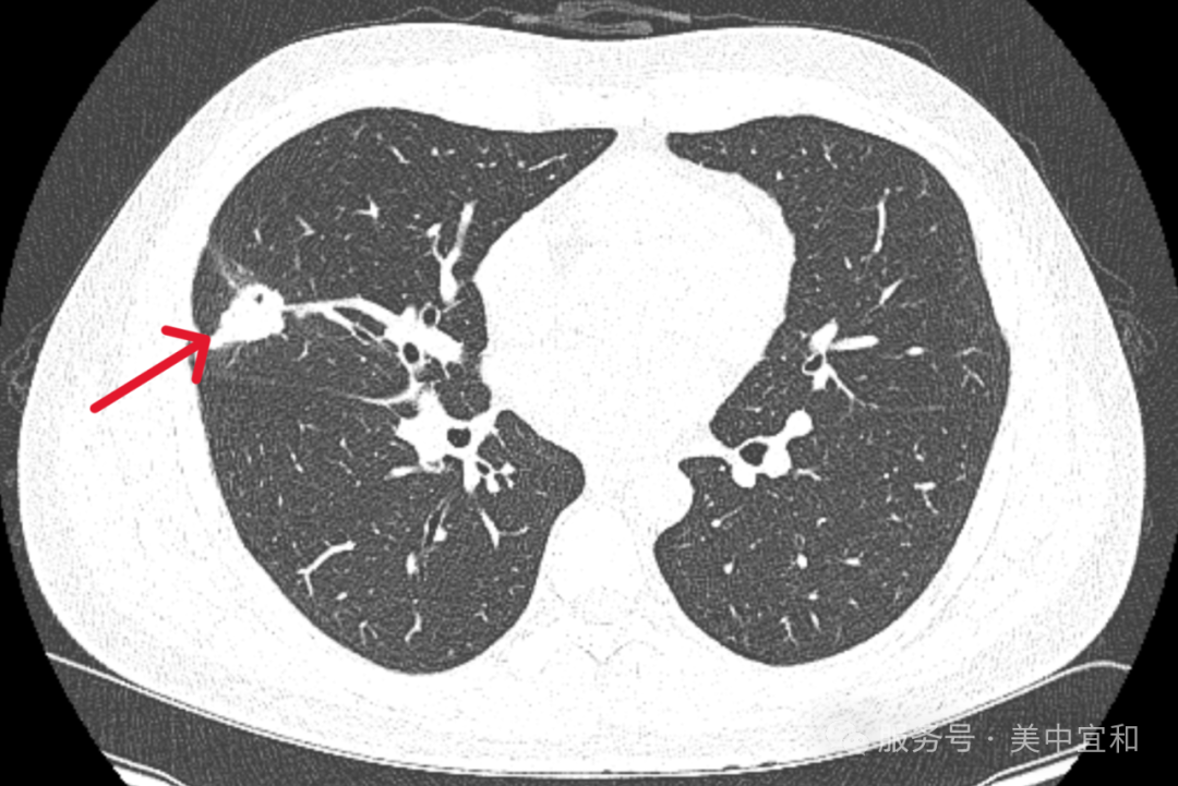
CT 检查结果显示 Z 先生 右肺中叶外侧段占位累及邻近胸膜占位,约 30×20 mm,C-Lung-RADS 4 级,肿瘤标记物癌胚抗原 CEA 及鳞状细胞相关抗原均增高。
对于这个意外诊断,Z 先生起初不敢相信,但在进一步诊断后,明确为肺交界性肿瘤——指生物学特征介于良性肿瘤和恶性肿瘤之间的肺部病变,属于一种潜在低度恶性或不确定恶性潜能的肿瘤类型。简单来说:肺交界性肿瘤是 「肿瘤进展的中间状态」—— 它比良性肿瘤 「危险」(有进展和复发可能),但比恶性肺癌 「温和」(无转移能力,规范治疗后预后较好)。
为何多年体检未发现癌症风险?
Z 先生在往年体检都进行胸部 X 光检查,却并未发现异常。早期肺交界性肿瘤几乎无典型症状,所以并未引起重视,连主任强调这正是癌症早筛的意义所在——不能仅按症状判断是否患病,癌症早期大多无症状,早筛应在症状出现前进行。
以 Z 先生患的肺交界性肿瘤为例,在早期几乎无典型症状,它的生长速度较良性肺肿瘤快,可能局部侵犯邻近肺部组织,少数可进展为恶性癌。因此不能等有症状再检查,主动筛查才是关键。
"健康管理不止是一次检查,而是一段由专业驱动、由数据赋能、由医生全程守护的生命旅程"。这是连主任对健康管理中心使命和责任的「心」体会。
好文章,需要你的鼓励