29 岁的林女士(化名),两年前开始被反复头痛困扰。起初,她以为是工作压力大、睡眠不足导致的普通头痛,每次发作时吃片止痛药、休息一会儿,症状就能暂时缓解,便没放在心上。
可近一个月,情况逐渐失控——头痛频率从之前的每月 1-2 次,变成了几乎每天发作,止痛药效果越来越差。无法正常工作和生活的林女士,终于在家人的劝说下,来到漳州第三医院神经外科就诊。
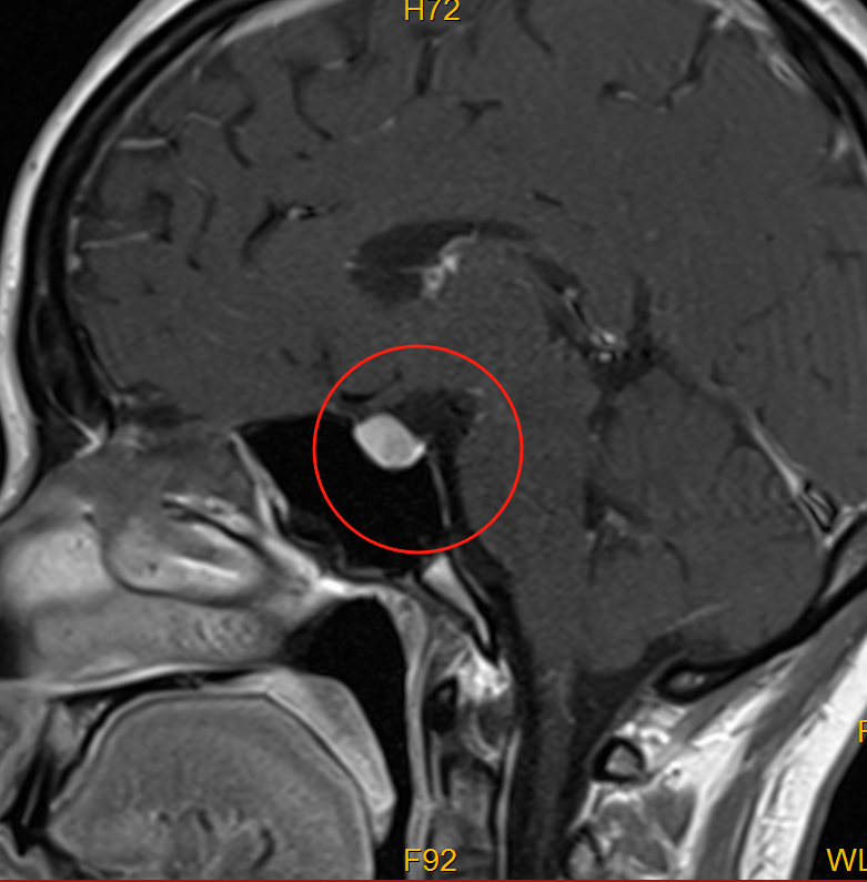
接诊医生详细询问病史后,安排了颅脑 MRI+增强检查,结果提示:林女士的头痛根源并非普通疲劳,而是垂体区域存在异常——考虑为 Rathke 囊肿、垂体神经内分泌肿瘤,且肿瘤已出现出血,正是这部分出血和肿瘤本身的压迫,直接引发了她日益加重的头痛。

神经外科主任林友城召集手术团队紧急讨论:由于肿瘤已出血并压迫周围组织,若不及时干预,头痛会持续加剧,还可能进一步损伤视力甚至影响内分泌功能。结合林女士年轻、对术后恢复和外观有较高需求的特点,团队最终确定采用「显微镜下经鼻蝶鞍区占位切除术」——这种手术最大的优势在于「微创不开脑」,无需在头部做任何切口,仅通过鼻腔这一自然通道就能直达鞍区病变部位,术后体表完全无疤痕,既能最大程度降低手术创伤,又能精准解决问题。
手术当天,医生在显微镜的高清视野下,通过一侧鼻孔逐步抵达垂体瘤位置,小心翼翼地清除了出血组织并完整切除肿瘤,整个过程未损伤周围的神经、血管,也没有打开颅骨。
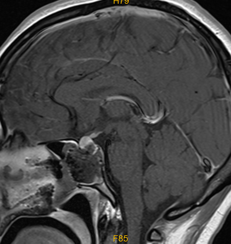
由于手术创伤小,她术后恢复很快,没有出现并发症。后续病理检查确诊为垂体腺瘤,而术后复查显示,肿瘤及出血已彻底清除,头痛根源被完全解决。


垂体位于大脑底部的鞍区,大小仅如一颗豌豆,却掌控着人体内分泌系统的「指挥权」,是名副其实的「内分泌总司令」。它通过分泌多种激素,调控身体多个关键生理功能,具体可分为两大功能区:
PART1
腺垂体(前叶):分泌生长激素、促甲状腺激素、促肾上腺皮质激素、促性腺激素(卵泡刺激素、黄体生成素)、泌乳素等。
PART2
神经垂体(后叶):不直接分泌激素,而是储存和释放由下丘脑分泌的抗利尿激素和催产素。
一旦垂体出现问题,就像「总司令」失灵,会引发全身内分泌紊乱,进而影响生长发育、新陈代谢、生殖功能等多个方面。
垂体腺瘤类型多样
垂体腺瘤是起源于腺垂体细胞的肿瘤,约占颅内肿瘤的 10%-15%,且绝大多数为良性,恶性(垂体癌)发生率不足 1%。根据肿瘤是否分泌激素,可分为两大类:
功能性垂体腺瘤
01
这类腺瘤会异常分泌一种或多种激素,占垂体腺瘤的 60%-70%,常见类型有:
● 泌乳素腺瘤:最常见的功能性腺瘤,约占 40%。女性患者会出现月经不调、闭经、非哺乳期溢乳,严重时导致不孕;男性患者则表现为性欲减退、勃起功能障碍、乳房发育,甚至精子数量减少、不育。
● 生长激素腺瘤:约占功能性腺瘤的 20%。若在儿童青少年时期发病,会导致「巨人症」(身高远超同龄人,可达 2 米以上);成年后发病则引发「肢端肥大症」,表现为手脚变大(鞋子、戒指尺码逐渐变大)、面容变丑(额头变宽、下巴前突、鼻子变大、嘴唇增厚),还可能伴随高血压、糖尿病、睡眠呼吸暂停等并发症。
● 促肾上腺皮质激素腺瘤:约占 5%-10%。会导致「库欣综合征」,患者出现向心性肥胖(腹部肥胖,四肢相对纤细)、满月脸(脸部圆润浮肿)、水牛背(背部脂肪堆积隆起),还可能有皮肤紫纹(腹部、大腿内侧出现紫色条纹)、高血压、高血糖、骨质疏松等问题。
无功能性垂体腺瘤
02
不分泌激素或分泌的激素无明显生理作用,约占垂体腺瘤的 30%-40%。由于早期无明显激素异常症状,通常是肿瘤增大到一定程度,压迫周围组织(如视神经、鞍区脑膜)时才被发现,患者多以头痛、视力下降、视野缺损(看东西时两侧范围缩小,如「管中窥豹」)为主要就诊原因。
垂体腺瘤虽然是颅内肿瘤
但绝大多数为良性
只要早发现、早诊断
规范治疗
绝大多数患者
都能有效控制病情
恢复正常生活
无需过度恐慌
好文章,需要你的鼓励