「想当然」是一种常见的认知捷径,它帮助我们快速处理日常信息。然而,当面对身体发出的复杂疾病信号时,这种依赖经验的直觉判断往往失效,甚至可能掩盖真实的危险。
71 岁的张爹,差点因为想当然,失去双腿。
他,双腿疼麻十年,于是自己给出诊断:「腰椎间盘突出!错不了!年纪大了,正常。」
没错,换了我,也希望是这样的!
可最近俩月,张爹不淡定了。先是两腿冰凉,怎么都捂不热,接着两只脚的脚趾悄悄变黑;白天走路——走几十米就要歇一下。更要命的是,到了晚上,双腿钻心地疼,让他无法入睡。
疼痛加剧,两腿冰冷,脚趾变黑,张爹意识到不妙:「怕是病情在加重!」
他赶紧来到南医大附属泰州人民医院,血管外科戴翔主任瞄了一眼他的脚,摸一下腿,脉搏很弱,不好!脸色立马凝重起来:「老爷子,这可不是腰椎的事儿!这是腿上的『血管』堵死了,脚缺血啦!再拖,腿就保不住了!」
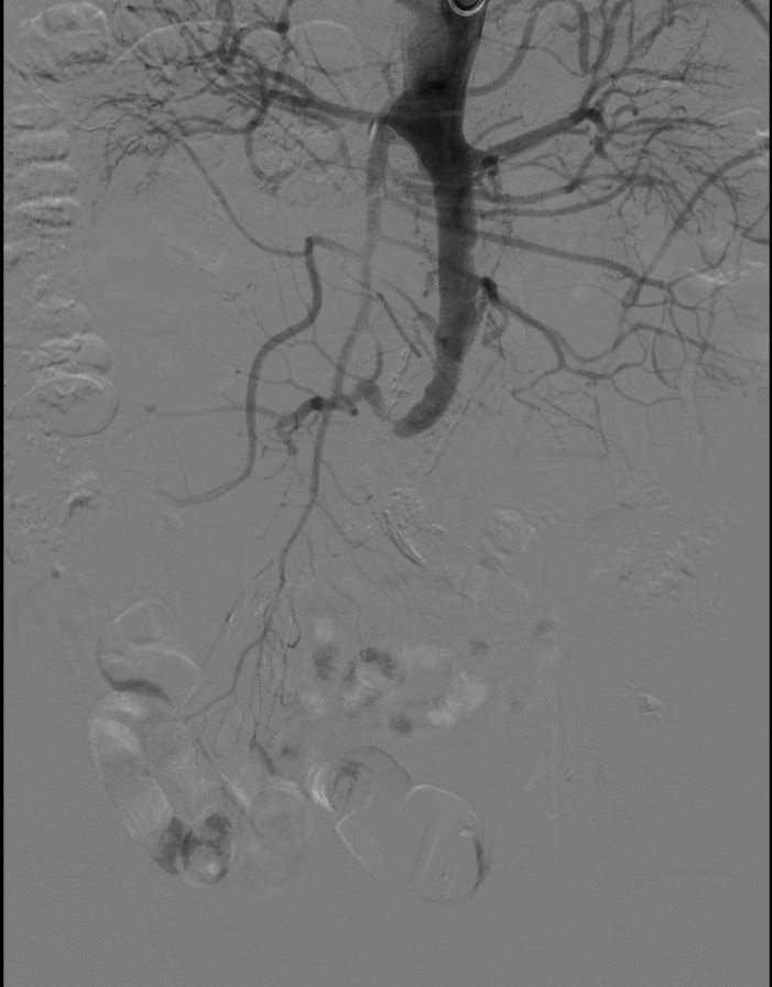
检查结果出来,大家都吓了一跳。从肚子到双腿的大血管,长长一段全堵上了!诊断很清楚:勒里施综合征。 「截肢?」 张爹一听,脑子「嗡」的一声,似乎看见自己坐着轮椅的样子,心凉了半截。
听医生这么说,他不敢耽搁,马上住了院。如何治疗的担子交到了血管外科主任车星手上,当他深入了解后发现,张爹是个「老烟枪」,每天 1 包,抽了 50 年,去年做过肺癌手术,外加有房颤。第一次麻醉评估就泼了冷水:基础疾病多,肺功能太差,传统开放手术风险极高,不建议。
难道就这么让他回去,任由脚趾烂掉?血管外科主任车星不太甘心,一个电话打给了麻醉科副主任于大朋。「于主任,有个棘手的老爷子,血管全堵了,肺功能很差……麻醉这块,能不能闯?」
几个科的专家一起商量。经过反复评估和推演,定了方案:上,用创伤小、恢复快的微创手术-腹主动脉-双髂动脉分叉血管腔内覆膜支架重建术(CERAB 技术)!


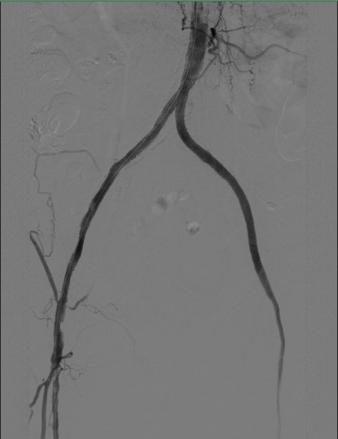
手术当天,介入手术室里气氛紧张。麻醉由于大朋主任坐镇,车星主任操控着导丝导管,细心打通堵塞的血管。最终,凭借娴熟的技术,把支架精稳稳放进去,血流「哗」的一下通了!

术后立竿见影!张爹摸着瞬间回暖的双腿,激动得不行:「热了!热了!不麻了!」
车星主任介绍,对付勒里施综合征,医院既有传统的「开大刀」搭桥,也能做这种微创介入。像张爹这样身体条件差的,微创手术无疑是更好的选择,术后恢复快,三天就能出院。
这次手术成功,标志着南医大附属泰州人民医院血管外科在治疗复杂血管疾病方面,真正做到了「两条腿走路」。

车星
南医大附属泰州人民医院 血管外科主任
副主任医师,医学硕士
江苏省医师协会血管外科分会委员,江苏省医学会血管外科分会青年委员,江苏省中西医结合学会周围血管病专业委员会青年委员。
擅长外周血管疾病的诊疗,特别是下肢深静脉血栓、肺动脉栓塞、腹主动脉瘤、动脉硬化闭塞症、内脏动脉瘤等疾病的诊疗。
来源:血管外科
组稿:董龙江
编辑(一审):季依宁
核稿(二审):车星
发布:宣传统战处
好文章,需要你的鼓励