74 岁的王叔叔,既往高血压病、冠心病多年,间断服药,2 周前因左侧偏身麻木于当地医院确诊为脑梗死,入院期间完善经颅多普勒超声提示右侧椎动脉开口狭窄 80%(重度),为求进一步介入治疗,就诊于西北大学附属医院·西安市第三医院神经内科。
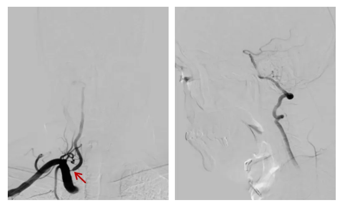
脑血管造影(DSA)示:右侧椎动脉开口局部斑块形成伴狭窄 80%,V4 段局部斑块形成;左侧椎动脉开口处局部斑块形成伴狭窄 60%,左椎偏劣势,主供左侧小脑下后动脉。


神经内科介入团队分析后发现,患者右侧椎动脉开口位置较低。若采用常规方法,支架放置时容易移位,结合导引导管控制支架「半释放技术」可明显减少支架移位的风险。
建立通道:从右侧桡动脉送入导引导管至锁骨下动脉。
测量病变:狭窄远端血管直径约 3.7 mm。

微导丝通过狭窄段,球囊扩张:将微导丝小心穿过狭窄段,用小球囊对狭窄处进行扩张,扩张后残余狭窄约 60%。

支架植入:沿导丝送入椎动脉药物支架至狭窄段,采用「半释放」技术,在导引导管辅助下逐步打开支架,确保位置精准。
术后造影:支架完全膨开,支架位置满意,前向血流改善。

好文章,需要你的鼓励