女性,67 岁,
主诉:右侧胸痛伴咳嗽 1 月余。
现病史:患者 1 月余前无明显诱因出现右侧胸痛伴咳嗽,间断有痰中带血,无胸闷、气促,无胸痛、心悸,无头痛、头晕等不适,就诊当地医院行 CT 示右肺病变,肺穿刺活检病理示高度怀疑腺癌,其他待排,未行具体治疗。现为求进一步治疗,行全身 PET/CT 检查。患者目前精神好,体力正常,食欲正常,睡眠正常,体重无明显变化,大便正常,排尿正常。
既往史: 体健,否认「高血压」「糖尿病」「冠心病」史。否认肝炎、结核、疟疾等传染史。否认外伤史、输血史、中毒史。
手术史:20 余年前曾行子宫切除术。
个人史: 生于甘肃省,成长经历地当地,无疫区居住史,无冶游史,无饮酒史,无吸烟史,无放射物、毒物接触史。无疫区接触史,无不洁饮食史,无传染病史,地方病接触史。




















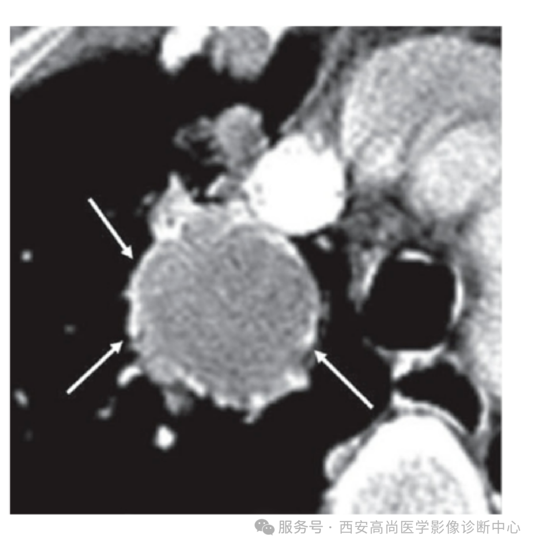
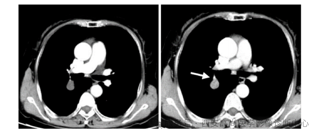
检查所见:右肺中叶见不均匀团块状软组织病变,大小约 8.0 cm×6.3 cm×7.0 cm,右肺中叶支气管完全闭塞,肿块呈高低混杂密度,边界较为光整,其内见点状钙化灶,呈不均匀放射性摄取异常增高,SUV 最大值介于 2.6-6.0。
影像学诊断:右肺中叶不均匀团块状软组织病变,肿块呈高低混杂密度,呈不均匀 FDG 代谢增高,结合病理,考虑为肺低度恶性肿瘤可能(孤立性纤维瘤?)建议穿刺病理检查明确。
病理结果:右肺中下叶切除标本:
1、(右) 肺 (中下) 叶硬化性肺细胞瘤 (硬化性血管瘤),部分细胞增生活跃:
2、另见 (楔形肺 1) 孤立性纤维性肿瘤,部分细胞增生活跃,危险度分级倾向低风险:
3、另见 (楔形肺 2) 肺组织慢性炎伴纤维组织增生及炭末沉积,局部查见个别多核巨细胞反应伴灶状坏死
4、另送 (右肺上叶楔形) 肺组织慢性炎伴纤维组织增生及末沉积;
5、支气管残端粘膜组织慢性炎:
6、肺门淋巴结 (1 枚)、另送 (第 2 组) 淋巴结 (8 枚)、(第 3a 组) 淋巴结 (1 枚)、(第 4 组) 淋巴结 (11 枚)、(第 7 组) 淋巴结 (3 枚)、(第 10 组) 淋巴结 (1 枚) 及 (第 11 组) 淋巴结 (1 枚) 慢性炎。
[注: 分子检测结果: 实时荧光定量 PCR 法未检测到结核分枝杆菌 DNA,此结果在临床诊疗工作中仅供参考,不能作为治疗或其他临床管理的唯一依据】

手术记录:
手术经过: 术中所见: 胸腔镜下探查见右侧胸膜腔无积液,胸膜无粘连,肿瘤位于右肺中叶,大小约 7.0 cmX6.0 cm,肿瘤侵犯右肺下叶,右肺胸膜可见多发结节,楔形切除右肺上叶胸膜及右肺下叶胸膜部分结节,术中冰冻活检示考虑良性病变;遂决定行胸腔镜下行右肺中下叶切除+右肺胸膜活检术。
手术步骤:
① 麻醉满意后左侧卧位, 并行折刀位, 常规消毒, 铺巾, 贴膜。
② 胸腔镜下探査见右侧胸膜腔无粘连, 无积液, 楔形切除右肺上叶胸膜及右肺下叶胸膜部分结节,术中冰冻活检示考虑良性病变,右肺病变体积大,且包埋肺门组织,遂延长第 4 肋间切口至约 20 cm,逐层切开进胸。松解下肺韧带, 游离出下肺静脉,直线切割闭合器切断,游离右肺中下叶支气管,直线切割闭合器切断,游离出中叶肺静脉,直线切割闭合器切断,充分游离暴露右肺下叶动脉及中叶动脉,直线切割闭合器切断,完整切除右肺中下叶及病灶;右肺中叶病变部分送检示考虑恶性病变,并清扫 2、3a、4、7、10.11 组淋巴结。倒水膨肺未见中下叶支气管残端及上叶肺组织有漏气. 检查术野无出血, 用盐水冲洗胸腔后, 彻底止血. 肺组织残面放置吸收止血膜, 于右侧锁骨中线第 2 肋间及腋中线第 7 肋间各放置胸腔引流管 1 根. 清点器敷料无误后, 逐层关胸, 缝合皮肤。
敷料清点情况: 纱布器械对数。
术后病人情况: 患者生命体征平稳,术后安返病房切除组织处理: 标本请患者家属过目后送病理检查。
硬化性肺细胞瘤 (pulmonary sclerosingpneumocytoma,PSP) 是肺内少见的良性肿瘤,过去认为起源于血管内皮,故被称为肺硬化性血管瘤,随着对该疾病的深入认识,免疫组化及超微结构的研究表明其起源于Ⅱ型肺泡上皮细胞,故肿瘤组织学分类 WHO(2015) 将其更名为硬化性肺细胞瘤占肺部良性肿瘤的 3%-5%,发现及诊断主要依靠 CT 检查。
1. 多见于中年女性,好发年龄为 15-76 岁,平均年龄 50 岁左右;
2. 研究发现,大部分患者雌激素和孕激素受体免疫组化呈阳性,提示该病发生与女性激素有关;
3. 通常无明确的症状体征,多于体检时发现,少数有咳嗽咳痰、痰中带血或咯血、胸背痛等表现;
4. 存在潜在侵袭性,少数 PSP 可以发生淋巴结转移、胸膜转移及胃转移等。
病理:两种细胞表面立方上皮细胞和圆形间质细胞。
四种结构: 乳头状区、血管瘤样区、实性区及硬化区。
免疫组化:与肺腺癌(最主要的鉴别对象)的鉴别:
共同点:两者均可表达 TTF-1 和 CK7。
关键区别:结构单一 vs 双相分化:腺癌通常由一种恶性腺上皮构成;而硬化性肺细胞瘤具有「两种细胞」(CKpan 阳性的表面细胞 + Vimentin 阳性的间质细胞)
PSP 复杂的病理结构决定了其影像表现的多样性:
病灶较小时,以乳头状区及血管瘤样区为主,血管分布密集、密度高,增强扫描强化相对均匀;
病灶较大时,与实性区和硬化区 (纤维化区) 比例增高血管分布稀疏、密度较低;
增强扫描多表现不均匀强化,由于血管瘤样区并没有真正的血管,而是红细胞所在区会有血流,故增强幅度会比较高,但又由于血液不存在于血管内,而是在血管外,血流较慢,因此强化峰值较晚,且其内四种结构多混合存在、互相移行,故多表现为延迟强化。
贴边血管征: 是 PSP 增强扫描的特征影像表现之一是病灶周围受推挤的粗大血管影或断面血管影,早期强化明显且先于病灶本身强化;

晕征:表现为病灶周围的磨玻璃样改变,可能是病变周围组织炎性渗出或瘤体伴发出血;
空气新月征:病理基础尚不明确,瘤体可能存在破裂,局部与气管相通形成;

假包膜征: 病灶周围邻近肺组织受压,形成类似包膜结构包绕病灶,增强 CT 扫描时病灶边缘呈线状高密度影;

尾征: 表现为肿瘤边缘的尾状突起,且多位于病灶靠近肺门一端,其发生与 PSP 对肺门血管有生长趋向性有关;

研究表明18 F-FDG PET 上 PSP 可表现异常放射性浓聚,一般为轻到中度 ,影响 PSP 18 F-FDG 摄取因素尚不清楚,有学者研究认为 浓聚的高低可能与肿瘤大小相关。瘤体小于 2.5,FDG 呈轻度摄取增高。瘤体大于 4 cm,SUV 最大值>2.5。


一、 CT
平扫:多为宽基底、贴邻胸膜的类圆形或分叶状肿块,边界清晰。较小者密度均匀(近似肌肉),较大者常因粘液样变、坏死或出血而不均匀。
增强扫描(最具特征性):
明显不均匀强化,呈现「快进慢出」或持续强化模式。可见来自胸壁的粗大供血血管(「血管蒂征」)。主要因为肿瘤内的病理组成成分不同所致,但大部分均为中度或明显强化,强化主要与致密胶原纤维和细胞致密区、囊变或黏液样变情况有关。呈典型的「地图样」强化,另外,部分体积较大肿瘤内可见增粗紊乱血管影,呈「蚯蚓钻土」征。
二、 MRI(软组织分辨率更高,是 CT 的重要补充)
平扫 T2WI: 最具特异性征象。由于富含胶原纤维,肿瘤内常见片状或地图状低信号区(「黑相」),与中高信号区(「白相」)交错,形成特征性表现。
平扫 T1WI: 通常呈等或稍低信号(相对于肌肉)。
三、 通过 18-FDG PET/CT SUVmax 来鉴别孤立性纤维瘤良恶性具有较大价值。孤立性纤维瘤国内外 PET/CT 显像资料很少,研究 PET 特征发现:恶性代谢率 SUVmax(中位数:3.6 范围:2.5-4.9),比良性代谢率(中位数:2.0,范围:1.2-3.1)略高,差异有统计学意义。


胸膜孤立性纤维瘤(2)

类癌是一种低度恶性神经内分泌肿瘤,可发生于全身各个部位。肺类癌起源于支气管粘膜上皮的神经内分泌细胞,因此中央型肺类癌的 CT 表现主要为肺门部支气管腔内向外生长的结节或肿块,伴支气管阻塞继发征象;类癌肿块多呈圆形或卵圆形,部分轻度分叶,边缘光整,血供丰富,强化明显,甚至可呈血管瘤样强化 。CT 可显示结节或肿块在支气管腔内、腔外的生长情况,一些肿瘤较小,完全位于支气管腔内,还有一些肿瘤可以表现为支气管腔外较大的肿瘤,伴腔内一小部分肿瘤,此征象被称为「冰山征」。 I 型,K 细胞癌 I 型,典型类癌(TC)。II 型,K 细胞癌 II 型,非典型类癌(AC)

肺炎性肌纤维母细胞瘤 (inflammatory myofibro-blastic tumor,IMT) 是一种少见的间叶源性真性肿瘤,属低度恶性肿瘤。
影像特点: 单发多见,常位于肺周边浅表部位;少数可见浅分叶,部分病例可见粗长毛刺及棘状突起,肿块边缘可有「桃尖征」、「平直征」;密度均匀或不均匀。少数可见气体密度及点状钙化;增强后多呈延迟强化。

影像特点: 边缘光整,内密度均匀,有钙化。爆米花样钙化、内含脂肪成分是其特征性表现。增强扫描后也有强化,但不如 PSP 明显。

1.PSP 于中青年女性多见;
2.PSP 近肺门区及胸膜区多见;
3. 主要的 CT 特征有: 空气新月征、贴边血管征、假包膜征、晕征、尾征、肿块内钙化灶;
4.PSP 病灶 CT 增强持续时间长,增强方式和分型有关
5.PSP 是良性肿瘤,虽然可能转移、恶变、复发等,但预后良好。
好文章,需要你的鼓励