发布于:2023-04-12
原创

高龄不是禁忌!南科大医院为 85 岁老人切除 3 斤重肠道肿瘤

85 岁高龄老人罹患横结肠癌,因高龄及有复杂病史迟迟不敢手术治疗。老人每况愈下,已到了无法进食的地步。经评估和沟通,南方科技大学医院消化道肿瘤中心专家为老人开展手术,切下约 3 斤重的肿瘤,老人术后康复顺利,目前已出院。

专家提醒,高龄不是结直肠癌手术的绝对禁忌,应根据具体情况评估手术指征。

肠道慢性出血,体内血量只剩一半 

王奶奶(化名)半年前已确诊横结肠癌。因为王奶奶有高血压、脑梗后遗症、下肢血栓等病史,当时外院医生认为手术风险巨大,建议保守治疗。

1 月份,王奶奶因多发性脑梗、肺炎到南方科技大学医院神经内科住院,经对症保守治疗后情况暂时稳定。消化道肿瘤中心杜长征副教授会诊后,建议手术治疗切除肿瘤。王奶奶家属害怕风险,拒绝手术治疗的提议。

一个多月后,王奶奶的病情每况愈下,已发展至无法清晰说话及对答、无法进食的地步。

入院时,王奶奶脸色苍白、言语不清、无法站立,腹胀、腹痛,数天未排便。

检查发现,王奶奶血红蛋白只有 57 g/L(正常参考值 115~150 g/L)。考虑是消化道慢性失血,丢失血量竟达到体内血量的一半!杜长征副教授再次评估了王奶奶的情况,认为她横结肠肿瘤伴肠梗阻、消化道出血、重度贫血,合并脑梗、肺部感染、下肢静脉血栓等,病变符合手术指征,但围术期并发症风险较大。经与王奶奶家属积极沟通,后者在了解手术风险后,同意手术治疗。

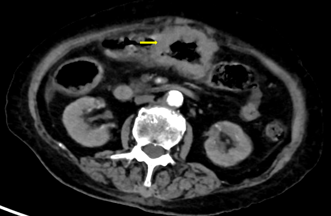
术前的腹部增强 CT 提示,王奶奶横结肠中段有节段性肠壁增厚,累及长度约为 58 mm,最厚处约 16 mm,局部管腔狭窄并伴有周围淋巴结转移。这意味着肿瘤已大幅挤占肠道,如不及时切除,可能完全堵塞肠管甚至出现肠管穿孔危及生命。

高龄不是禁忌!南科大医院为 85 岁老人切除 3 斤重肠道肿瘤

「庖丁解牛」切除 3 斤重肿瘤

考虑到王奶奶高龄、内科基础病较多,病情危重,在完善术前准备、与患者家属充分沟通手术方案及风险后,杜长征副教授第二天便为王奶奶进行手术治疗。

由于王奶奶的手术一再拖延,术中探查发现,肿瘤已经突破肠管侵犯到远端胃大弯及部分小肠,腹腔粘连严重,手术分离组织难度增大。杜长征副教授凭借娴熟的手术技术,如庖丁解牛般精细解剖组织,精确切除 3 斤病变组织,术中出血量少。

在护理团队的精心护理下,王奶奶术后恢复得十分顺利,并未出现术前所担心的一些术后并发症如术后吻合口瘘、术后出血、术后伤口愈合不良等情况,术后复查血红蛋白波动于 100 g/L 左右。

目前王奶奶已顺利出院。

高龄不是消化道肿瘤手术的绝对禁忌

根据深圳市慢性病防治中心 2022 年发布的「2021 年度全市肿瘤排行榜」,结直肠癌排行第三,占比超过 10%。

杜长征总结道,包括胃癌、结直肠癌等在内的消化道肿瘤在深圳呈发病年轻化趋势,临床接触的年轻患者较多。消化道肿瘤发病与家族遗传、饮食习惯、心理状态等多方面相关,市民应减少脂肪类食物的摄入(包括动物油和植物油),以鱼、禽、瘦肉、低脂奶制品代替动物油过多的肉食,以煮、蒸食物代替油炸食品;增加绿色叶类和根类蔬菜、水果的摄入;多吃富含纤维的食物;保持适当的体重;避免高盐饮食,每天的食盐摄入低于 5 克;多进食新鲜食物,少吃腌、熏食物,不吃发霉食品;少饮酒;调节工作和生活压力,减轻心理负担,减少焦虑情绪,树立积极、健康的心态。

有家族史、40 岁以上的市民应定期进行消化道肿瘤筛查,包括胃肠镜检查。此外,市民平时应重视身体发出的「信号」,如出现大便习惯和性状的改变、大便困难等症状,可以进行大便隐血试验、结肠镜等检查,早就诊,早诊断,早治疗。

杜长征是深圳市海外高层次人才,现任南方科技大学医学院副教授、博士生导师。临床上,杜长征也经常碰到家属对高龄患者手术治疗有疑虑的情况。他提醒道,高龄不是手术的绝对禁忌,在医生评估下,肠道肿瘤合并肠梗阻、肠穿孔及消化道出血的应尽早实施手术治疗。

推荐阅读

合作咨询