供稿:超声科 杨霞
近日,南昌大学第二附属医院超声科章春泉教授带领介入团队,为一名复杂胆道梗阻的高危患者成功实施了超声引导下 PTCD 置管引流。该手术在超声实时、精准导航下顺利完成,及时为患者解除生命危险,彰显了超声介入技术在应对复杂临床难题中的关键作用。
据悉,该患者因胰头癌导致严重胆道梗阻,肝功能急剧恶化,胆红素水平持续升高,急需进行胆道引流。此前,该院消化内科团队曾尝试 CT 引导下 PTCD 及经内镜逆行胰胆管造影(ERCP)支架置入术,因患者肝内胆管纤细扭曲、十二指肠解剖结构变异而未获成功。面对常规治疗方案接连受阻的困境,超声科章春泉教授介入团队临危受命。
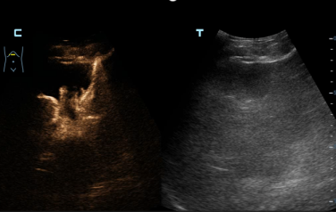
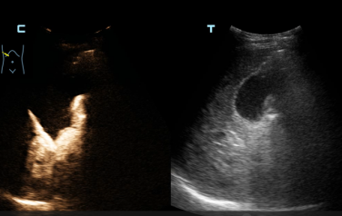
术前面临的主要挑战在于患者左肝胆管位置较高、走行迂曲,可供安全穿刺的窗口极为有限。该院超声科主治医师李西接手后,在超声影像的清晰引导下,对穿刺路径进行了毫米级的精细规划。术中,在超声「导航」下,李西医师手法娴熟,穿刺针在手中游刃有余,精准地避开血管,直抵目标胆管,随即墨绿色的胆汁从针芯流出—「一针」成功!随后,在助手的配合下,李西依次置入导丝和导管。术后即刻行超声造影显示双侧肝内胆管显影,引流管位置理想,胆汁引流通畅。术后患者生命体征平稳,黄疸症状明显缓解。为表达对超声介入团队的高度认可和衷心感谢,患者家属专程送来了锦旗。





该病例的成功实施,不仅为患者赢得了宝贵的治疗时机,也充分展现了超声介入技术实时、精准、无辐射的独特优势。在复杂胆道梗阻的临床处理中,该技术成为建立生命通道的可靠手段。超声引导下 PTCD 已逐渐从备选方案,发展为处理此类疑难病例的重要选择。
此次高难度 PTCD 的成功,是南昌大学第二附属医院超声介入技术实力的体现,也是多学科协作诊疗模式的成果。超声科团队表示,将继续深化介入诊疗能力,让精准可视的超声技术服务于更多复杂临床场景。
好文章,需要你的鼓励