(舒羿 报道)近日,南昌大学第二附属医院通过一场多学科协作的「生命接力」,运用脊髓电刺激植入术(SCS),成功让一名饱受 2 型糖尿病胃轻瘫及顽固性内脏痛折磨的 36 岁患者重获新生。本例治疗不仅是神经调控技术在内脏功能疾病领域的一次创新应用,也彰显了现代医学多学科诊疗模式(MDT)的强大合力。
患者李先生(化名),今年 36 岁,确诊 2 型糖尿病已 9 年。由于血糖控制不理想,自今年 4 月起,他开始出现严重上腹部疼痛、恶心呕吐,进食后加剧,体重骤降近 20 公斤。
「痛起来浑身冷汗,手脚冰凉,根本没法想别的事。」李先生回忆道。今年 10 月,因症状急性加重,他被送入南大二附院。
面对这一复杂病例,经南大二附院急诊科初步诊治,后由内分泌代谢科刘建萍主任医师、蔡霞副主任医师迅速牵头,组织了一场由疼痛科、心身医学科、消化内科、影像科、营养科、胃肠外科等多学科专家参与的 MDT 会诊。经过系统检查,排除其他器质性疾病后,专家团认为,长期控制不佳的高血糖已严重损害了李先生支配胃肠道的自主神经,导致其患上「糖尿病性内脏神经病变」,具体表现为严重的「胃轻瘫」和随之产生的顽固性内脏痛。此时,常规促胃肠动力药物和镇痛药已难以奏效。

「患者的核心矛盾已从单纯的动力障碍,发展为以顽固疼痛和神经功能紊乱为主导的复杂状态。」参与会诊的疼痛科梁应平主任解释道,「我们提出了一个更根本的思路:直接对传导疼痛和调节胃肠功能的『总司令部』——脊髓进行干预。」经充分讨论并与患者家属沟通后,患者转入疼痛科治疗并接受为其实施一项微创神经调控技术——脊髓电刺激植入术(SCS)。

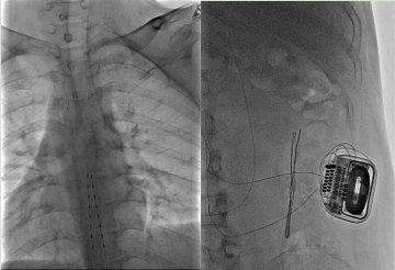
SCS 手术如同为身体安装一个「智能神经稳压器」。医生在影像引导下,将细如发丝的电极精准植入患者胸段脊髓的硬膜外腔,连接至皮下植入的刺激器。该装置持续释放微弱电脉冲,旨在「拦截」错误的疼痛信号,并调节过度兴奋的交感神经,从而从根源上改善胃肠功能与疼痛。
手术分两期进行。令人振奋的是,在第一期测试阶段,李先生的腹痛、恶心呕吐等症状便得到显著缓解,这证实了治疗靶点的准确性。随后,他顺利接受了永久刺激器植入。
在接受 SCS 治疗后,李先生的病情出现了令人欣喜的转变。一是痛苦解除:持续的烧灼样腹痛得到极大控制,恶心呕吐基本消失。二是功能复苏:李先生逐步恢复经口进食,最终拔掉了赖以生存的空肠营养管,排便也恢复正常。三是全身改善:心慌、大汗、肢体冰凉等自主神经紊乱症状显著缓解。
疼痛消失为李先生带来了安稳睡眠,情绪明显好转,笑容重回脸上,出院前夕他已能下床自如活动,正逐步回归正常生活。「看到患者从痛苦不堪到逐渐恢复正常生活,我们都感到欣慰和振奋。」疼痛科医生赵买林表示。
据了解,糖尿病是导致胃轻瘫的首要原因,超过半数胃轻瘫患者与糖尿病相关。此类患者常面临诊断困难、治疗手段有限的困境,严重影响生存质量。
「脊髓电刺激不仅是『镇痛器』,更是一个『神经功能调节器』。」梁应平主任介绍,糖尿病神经病变是常见并发症,当累及内脏神经时,会导致胃轻瘫、肠功能紊乱及难治性内脏痛。SCS 应用于胃轻瘫仍属前沿探索,其长期疗效与适应症有待更多研究验证,但它无疑为传统治疗陷入困境的患者开辟了一条充满希望的新路径。
李先生的经历为所有糖尿病患者敲响警钟:平稳控制血糖是预防严重并发症的基石。同时,他的成功救治也是现代医学以患者为中心的多学科协作模式的胜利,展现了神经调控技术为疑难疾病患者带来的新曙光。
好文章,需要你的鼓励