(邱佳、黄芬 报道) 当肝癌悄然进展时,早期往往毫无症状,一旦出现腹痛、黄疸等明显表现,往往已错过最佳治疗时机。对于肝硬化患者而言,定期影像学检查正是拦截早期肝癌的 「关键防线」。近日南昌大学第二附属医院接诊的一例病例,再次为这一健康认知敲响警钟。
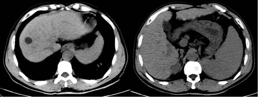
一位 60 岁的男性患者因反复解黑便 25 天来院就诊,全腹部 CT 平扫加增强检查结果令人揪心:肝右叶多发占位,大者范围约 110 mm×70 mm,考虑原发性肝癌,伴门脉右支及主干癌栓可能;同时还发现肝硬化,脾大,食管胃底静脉曲张,门静脉高压伴侧支循环开放,腹盆腔积液。追溯病史发现,早在 2019 年,该患者就已通过 CT 检查确诊肝硬化、脾大及门静脉高压伴侧支循环开放,但 6 年间未进行任何定期复查,最终错失了早期干预的机会。

图 1 患者 2019 年 CT 图像示肝硬化、脾大。

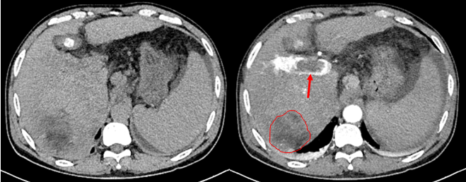
图 2:患者 2025 年 CT 图像轴位示肝右叶肝癌(红色圈)、门静脉癌栓(红色箭头)

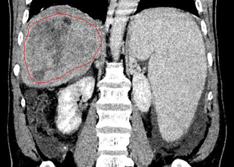
图 3:冠状位示边界不清的肝右叶巨大肝癌(红色圈)
这一案例并非个例。临床数据显示,肝癌早期手术后 5 年生存率可达 60-70%,而中晚期患者生存率仅约 10%。早发现、早治疗,是肝癌诊疗的 「黄金法则」,而定期影像学检查正是实现这一目标的核心手段。看到这里,相信很多肝硬化患者及家属都会开始担心,肝硬化一定会进展为肝癌吗?如果是的话,这个周期会是多长呢?要进行随诊的话,该怎样选择合适的检查方法和检查时间呢?
一、肝硬化一定会变肝癌吗?周期多长?
风险极高,但非必然: 肝硬化是肝癌最主要的「温床」。肝硬化是一种慢性、进行性、弥漫性的肝脏病变,其特点是肝细胞坏死的基础上的纤维化及假小叶形成。原发性肝癌是肝硬化的严重并发症,特别是乙型肝炎引起的肝硬化。乙型肝炎病毒感染是肝细胞癌最主要的危险因素,在中国大陆地区,乙型肝炎病毒慢性感染占肝细胞癌病因的 84.4%。肝硬化中肝癌的发生率高达 10%。因此,肝硬化患者定期的影像学检查监测是非常有必要的。
肝癌是如何一步步发生的?
肝癌的发生非「一日之功」,常常沿着这样的路径悄然发展:慢性肝炎、肝硬化、肝硬化再生结节(RN)、低级别不典型增生结节(LGDN)、高级别不典型增生结节(HGDN)、极早期肝癌、早期肝癌到进展期肝癌。
研究结果显示,LGDN 进展为肝癌的 1、3、5 年累积发生率分别为 2.6%、30.2% 和 36.6%,HGDN 进展为肝癌的 1、3、5 年累积发生率分别为 46.2%、61.5% 和 80.8%。这意味着,一旦在影像检查中发现不典型增生结节,就是拉响「癌前警报」的关键时刻! 定期复查就是为了捕捉这个「窗口期」。
二、肝硬化患者该如何选择影像检查?
影像学是揪出早期肝癌(尤其<3 cm 的小肝癌)的「火眼金睛」,具有无创、直观、准确的巨大优势。不同检查各有千秋:
肝硬化背景下小肝癌是指直径小于 3 cm 的肝癌,一般无明显的临床症状。影像学检查对于小肝癌的筛查意义重大。研究结果显示 MRI 与 CT 对小肝癌的诊断的灵敏度 ( 97. 93% vs 67. 71%)、特异度(76. 86% vs 92. 72%)、阳性预测值(75. 78% vs 89. 65%)、 阴性预测值 ( 98. 33% vs 80. 71%)。
超声:筛查主力军,定期复查的「第一道哨兵」。
优点:无辐射、无创、便捷。
局限性:对小于 1 cm 的病灶敏感度不高(小于 60%)。
CT 平扫+增强:发现可疑病灶后的重要验证和评估手段。
优点:无创、快速、分辨率高。
局限性:在肝硬化背景下,对不典型增生结节和小肝癌难以区分。
MR 平扫+增强: 精准诊断的「利器」,尤其适用于超声/CT 发现疑难病灶时。
优点:无辐射、无创、对直径小于 2 cm 的肝癌的检出有优势。
局限性:检查时间长,对患者的配合要求高。
MR 特殊造影剂增强检查(Gd-EOB-DTPA):诊断「重要武器」,强烈推荐用于常规检查难以确诊的可疑小肝癌或高危结节。
优点:对肝癌的检出具有特异性,有助于检出亚厘米肝癌(直径小于 1 cm),同时有助于与高度异型增生结节的鉴别。
适用性:对于常规 MR 增强检查难以鉴别的可疑小肝癌患者,强烈推荐进行 Gd-EOB-DTPA 增强检查。
核心原则:规律、持续!

肝癌凶险,但早期发现可极大改写命运结局。从肝炎到肝硬化,再到肝癌的「三部曲」中,肝硬化阶段是实施有效拦截的黄金窗口! 前述患者的悲剧深刻警示:规律、规范的影像学复查,是肝硬化患者对抗肝癌最有力的武器,是真正的「生命警报器」!
参考资料
1.《中国肿瘤防治核心科普知识(2025)》
2. 国家卫健委《原发性肝癌诊疗指南(2024 年版)》
3. 陈一凡, 曹广文. 乙型病毒性肝炎分子流行病学特征及特异性防控策略研究 [J]. 中华疾病控制杂志,2025,29(02):125-131+248.DOI:10.16462/j.cnki.zhjbkz.2025.02.001.
4.Bray F, Laversanne M, Sung H, et al. Global cancer statistics 2022: GLOBOCAN estimates of incidence and mortality worldwide for 36 cancers in 185 countries [J]. CA Cancer J Clin, 2024,74 (3):229-263. D0I:10.3322/caac.21834
5. 席利力. 肝硬化并发原发性肝癌的危险因素评估 [D]. 新疆医科大学,2006.
6. 杨伟, 罗倩, 刘启榆, 等.MSCT 与 MRI 在肝硬化背景下小肝癌中的诊断价值 [J]. 中国老年学杂志,2023,43(23):5670-5673.
7. 原发性肝癌诊疗指南 (2024 年版)[J]. 肝胆胰外科杂志,2024,36(05):321.
8.Sato T, Kondo F, Ebara M, et al. Natural history of large regenerative nodules and dysplastic nodules in liver cirrhosis: 28-year follow-up study[J]. Hepatol Int, 2015, 9(2): 330-336. DOI: 10.1007/s12072-015-9620-6.
(注:本文仅作健康科普,具体诊疗请遵医嘱)
审稿 影像中心 邓军
好文章,需要你的鼓励