在超声诊疗工作中,我们每天都会接诊很多小儿腹痛患者。
小儿腹痛很常见,而引发小儿腹痛的病因也很多,比如:肠套叠、急性阑尾炎、肠旋转不良、肠系膜淋巴结炎等等,今天我们来聊一聊另外一种小儿腹痛的病因——小儿急性胰腺炎。
事实上,急性胰腺炎是小儿腹痛的病因之一,患者会出现持续性剧烈腹痛伴呕吐,严重者可伴有高热、呕血等症状,所以能够早发现、早诊断、早治疗相当的重要。
为什么小朋友会得急性胰腺炎呢?
急性胰腺炎是多种病因导致胰酶在胰腺内被激活后引起胰腺组织自身消化、水肿、出血、甚至坏死的炎症反应。
近年来,小儿胰腺炎在小儿中的发病率呈上升趋势,发病率约为 1/10,000,其发病率接近成人。
小儿急性胰腺炎的临床表现、诊断标准和治疗原则跟成人急性胰腺炎差不多,最大的区别是发病原因及初诊时机。
成人急性胰腺炎最常见的原因是胆道结石和暴饮暴食、喝酒、高脂血症、肥胖。而小儿急性胰腺炎有点不一样,常见的原因还包括:
畸形: 如先天性胆总管囊肿、胰管开口异常等;
损伤: 创伤、车祸造成的胰腺损伤等;
梗阻: 如胆道蛔虫、肿瘤等;
感染: 病毒感染、支原体感染等;
药物: 使用激素、免疫抑制剂等;
缺血: 血管畸形等。
这里特别要提醒各位家长一种小朋友容易遭也容易被忽略的胰腺外伤——自行车把手撞伤、车祸外伤、健身器材外伤等。轻的只是单纯的胰腺炎症,重的会导致胰腺断裂,甚至危及生命。
如果小朋友骑了自行车,滑板车后回家来说肚子痛还呕吐的话,家长们一定要多个心眼,带小朋友去医院检查一下。
小儿急性胰腺炎有哪些症状?
跟成人急性胰腺炎一样,剧烈的腹痛+呕吐是最主要的症状。
一般是突然肚子就开始剧痛,从上腹部向腰背部放射性的痛,慢慢的痛感还会到中上腹,脐周甚至整个腹部;
痛感可以持续几个小时或几天,一旦吃了东西会更痛;
同时常伴有明显的呕吐,呕吐后疼痛感不会明显减轻;
大部分患儿有麻痹性肠梗阻产生的腹胀、便秘等症状,少数小儿还有发热、少尿、腹水、呼吸困难及腰部瘀斑等表现。
小儿急性胰腺炎要做哪些检查?
抽血:
A:检测血清淀粉酶和脂肪酶
B:检测肝功、肾功 (诊断是否有胆道梗阻、肝肾功能是否受损等)
C:检测血常规等 (帮助判断是否有感染)
肯定少不了腹部(肝胆脾胰)超声检查。
高频超声组织分辨率高,且不受探测深度的影响,超声还具有简便无创、无辐射及可反复多次检查等优点。
那小儿急性胰腺炎有哪些超声表现?

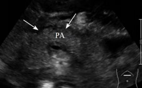
对于轻症胰腺炎,其超声表现主要为: 胰腺弥漫性或局限性肿大、内部回声增强、分布不均匀。

对于重症胰腺炎,其超声表现主要为:
●胰腺肿大更加明显、边缘不规则,边界不清楚,呈断续状。
●胰腺内部呈强回声、弱回声及无回声混杂的不均质改变。
●由于周围渗出及其周围组织水肿,胰腺周边可见一层弱回声带。
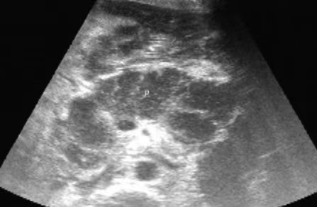
●胰周积液或胰腺假性囊肿形成。
●部分还可伴有胸腹腔积液。
部分胰腺炎为 胆道系统疾病 引起,例如:胆道蛔虫、胆道结石、胆总管囊肿 等情况,因此我们除了观察胰腺本身的超声改变,检查时需排除胆道系统疾病。
急性胰腺炎有哪些诊断标准?
临床上符合以下 3 项中的 2 项即可诊断。
① 与急性胰腺炎临床表现相符合的腹痛。
② 血清淀粉酶和(或)脂肪酶活性至少高于正常上限值 3 倍。
③ 符合急性胰腺炎的影像学改变。
那么小儿急性胰腺炎如何处理呢?
可疑或确诊急性胰腺炎后,遵从专科医师医嘱,该及时手术就手术,该定期复查就复查,不要耽误了最佳治疗时间。
温馨提示——超声检查前准备
小儿急性胰腺炎腹痛明显,虽然高频超声的特异性和准确性较高,但是还是会受到孩子的配合程度和胃肠道气体等多种因素的干扰,为更好的进行超声检查,需尽量保持安静状态,如若能在空腹状态下检查更佳。

供稿:超声医学科 陈媛
市健康科普专家审核:小儿消化感染科 黎瞳
编辑:冯杉杉、李若昊
初审:曾立忠
终审:徐进、何武东
好文章,需要你的鼓励