
9 名乳腺癌患者自述
美国《健康杂志》报道
布列塔尼·惠特曼:我腋窝里有一颗「冰冻的豌豆」
梅利莎·汤普森:我发烧,母乳喂养困难
詹尼弗·坎兹:我的胸部看上去有点呈粉红色
伊琳·谢伊特:感觉我胸中好像有一块大理石
斯蒂芬·伍兹:我母亲死于癌症,我发现了一个肿块
克里斯廷·伊根:我的狗总把爪子搭在我乳房的一个部位
桑迪·汉肖:我胸部摸到一块坚硬、圆形「奶酪」
辛西娅·贝利:我摸到肋骨上有颗豌豆
格里·威利斯:我的乳房缩小了,乳头也内陷了
通常,我们可能对经济了如指掌,但对自己身体却一无所知!
早期乳腺癌案例
小于(化名)在洗澡时意外发现左乳出现包块,不痛不痒,也没有太在意,就这样过了大半年,一直未重视的她明显感觉肿块增大,才做进一步检查,了解情况后,我们为她安排了乳腺磁共振检查。


影像:
左侧乳腺内见一巨大不规则肿块,病灶主体位于中央区及下象限,大小约 75 mm×62 mm×72 mm,边界清晰,T1WI 呈低信号,T2WI 呈高信号,DWI 呈稍高信号,ADC 为 0.96~1.13×10^-3 mm^2/s* 增强扫描内见不强化分隔,病灶实性部分时间信号强度曲线呈速升流出型,部分纤维腺体受压推移。
诊断:
怀疑左乳肿块为交界性(低度恶性)乳腺肿瘤,建议手术。
病理:
交界性乳腺叶状肿瘤
结果出来后,我们快速启动佲医荟平台资源为小于安排乳腺临床专家问诊,与此同时帮助协调入院手术,不幸中的万幸,因为救治及时并未恶变。
乳腺癌转移案例
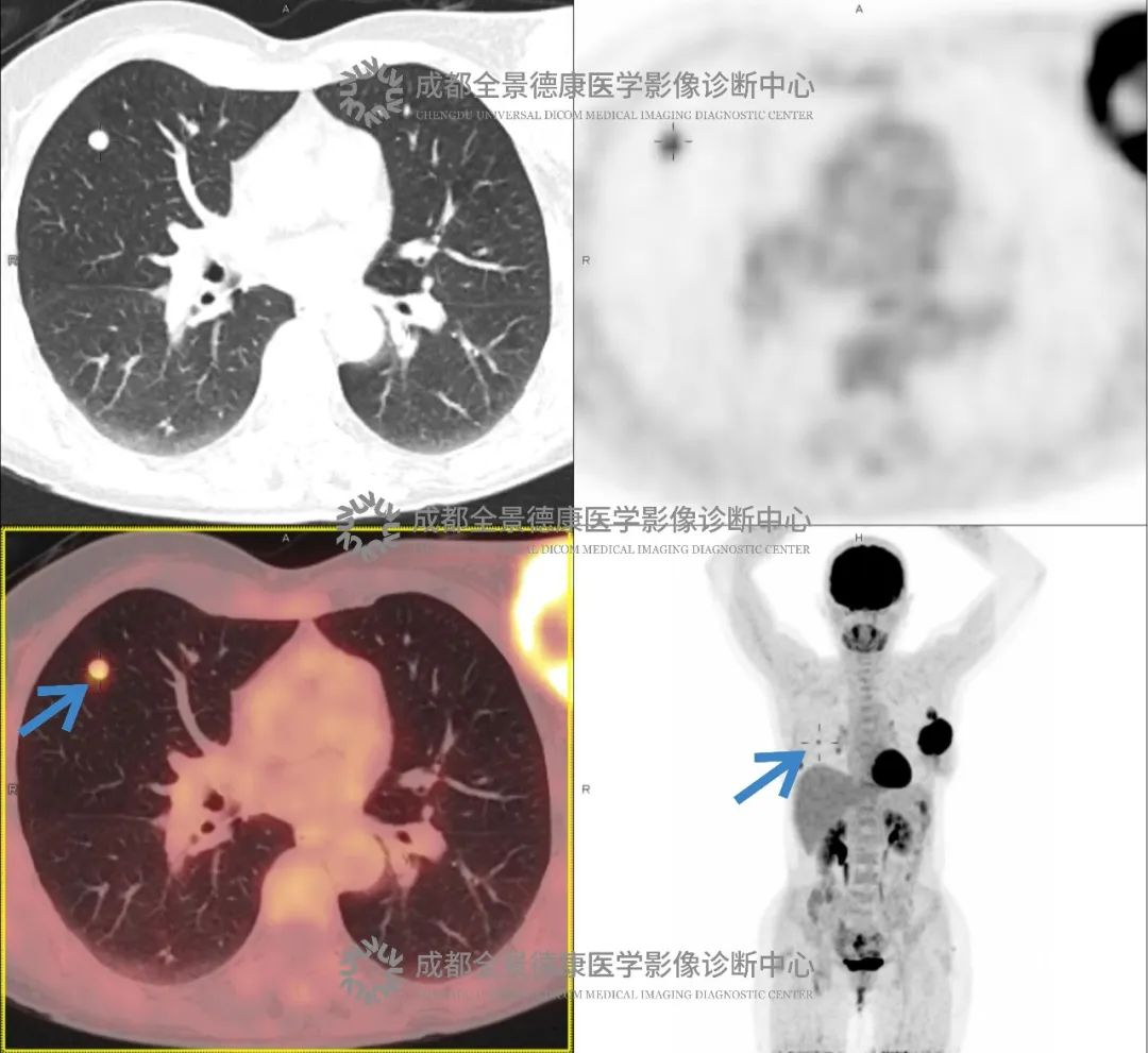
夏女士(化名),4 个月前偶然发现左侧乳腺有包块,无疼痛、发热等症状。没太在意,但随着时间推移,包块越长越大,夏女士这才去医院,结果被诊断为「左侧乳腺癌」。为进一步评估全身转移情况,我们为夏女士进行了 PET/CT 检查。


影像:
左乳软组织肿块伴坏死,FDG 代谢活跃
诊断:
考虑乳腺癌,伴左乳头侵犯,左侧胸大肌受累可能;并伴:(1)左侧腋窝淋巴结转移;(2)双肺转移瘤。
病理:
左乳浸润性癌
夏女士平素未定期进行乳腺癌筛查,在乳腺发出「长出包块」的信号后也未引起重视,更遑论及时诊治,导致确诊时已出现淋巴结转移和肺转移,延误了治疗时机。
两个案例,不同结果,却有一个共同点:有着不痛不痒的肿块!让我们低估了它恶变的本性!也因此错失最佳治疗时机!
乳腺癌(Breast cancer,BC) 发病率高、恶性程度高、转移生长早、早期无明显症状有明显异常症状时均已发展至中晚期【1】。
[1] 郑礼杰.关于乳腺癌早期筛查临床意义分析 [J].人人健康,2015,13(24):783—784.
好文章,需要你的鼓励