陈老师身体一向硬朗,但近 1 年来,他总感觉双下肢无力,无其他不适,年度常规体检未发现异常,为求安心,做了 PET/CT 检查后,确诊隐藏的食管癌。
68 岁陈老师(化名),今年按时进行年度常规体检,血检、心电图、肺部 CT 等均未发现异常,本以为可以彻底放心,可双下肢无力的症状仍在持续,在朋友建议下,为进一步了解全身情况,来全景医学做了 PET/CT 检查,令人意外的是检查不仅为双腿乏力的排查提供了重要参考,还意外发现了一个隐藏的健康隐患 —— 食管癌。
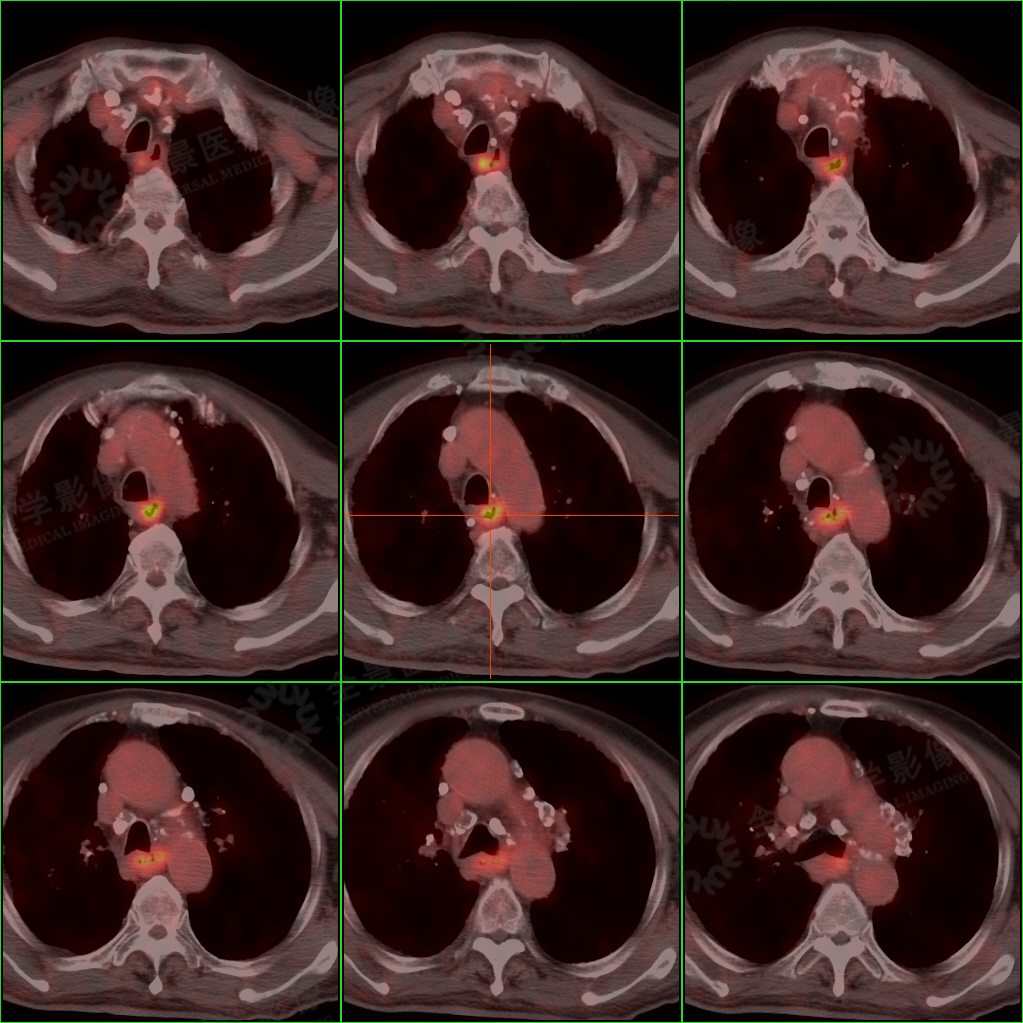
PET/CT 检查图像:



PET/CT 检查显示: 陈老师食管胸中段壁增厚、毛糙,FDG 摄取增高,考虑食管癌可能,建议进一步通过胃镜活检明确诊断。
值得注意的是,这次发现的食管癌与他持续一年的双腿乏力症状并无直接关联。陈老师和家人都倍感意外:原本是为了查清双腿不适的原因,却意外发现了食管部位的潜在问题;而且食管癌并未表现出任何典型症状,若不是进行了全身 PET/CT 检查,这个 「沉默的隐患」 很难被及时察觉。
1. 兼顾形态与代谢,筛查更全面
PET/CT 通过追踪葡萄糖类似物(FDG)在体内的分布,能灵敏捕捉细胞代谢活跃程度。恶性肿瘤细胞代谢旺盛,会在 PET 图像上形成 「亮斑」(高代谢灶),相比仅关注形态变化的常规检查,能更早发现潜在病变。
2. 全身扫描,无死角排查
陈老师的双腿乏力可能由神经、血管、代谢等多种因素引起,属于非特异性症状,局部检查易遗漏其他部位问题。而一次全身 PET/CT 扫描,能从全身视角进行排查,既为双腿乏力的病因查找提供了全面参考,也意外发现了食管部位的隐匿病变,避免了单一局部检查的局限性。
3. 「无症状」 病变的精准探测器
部分早期疾病(包括早期肿瘤)症状极其隐匿,仅可能伴随乏力、体重轻微波动等非特异性全身症状,极易被忽视。PET/CT 凭借其独特的代谢检测优势,成为发现这类 「沉默隐患」 的有力工具。
1. 重视身体的 「小信号」 长期不明原因的乏力、食欲减退、体重下降等症状,可能是身体发出的健康警报,即便常规检查无异常,也不应忽视,需及时进行全面排查。
2. 深度筛查是全面守护健康的关键 当常规检查结果无法解释身体持续的不适,或希望进行全面健康评估时,及时选择全景医学 PET/CT 这类深度筛查方式,一次全身 「代谢侦察」,能更全面地排查潜在健康风险,避免局部检查的局限性
3. 早发现 = 好预后 无论是针对明确的不适症状排查,还是偶然发现的潜在病变,早期发现、及时干预,不仅能降低后续治疗难度,更能有效保障生存质量。
好文章,需要你的鼓励