近日,西安交通大学第二附属医院 消化内科马师洋副教授团队成功解决了一起疑难腹痛病例,展现出高超的医疗技术与创新精神。
一名 52 岁男性患者,被反复右下腹痛折磨长达 2 个月,期间辗转多地求医,接受了胃肠镜、小肠镜以及超声内镜等一系列检查,均未能明确病因。
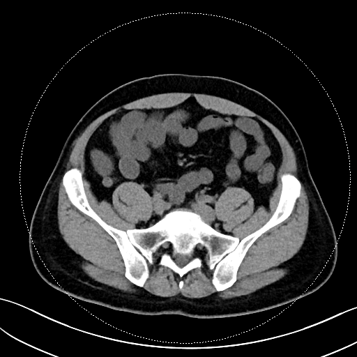
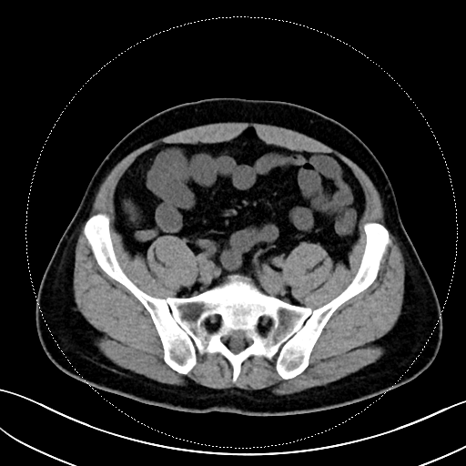
该患者的症状表现为钝痛,与进食、排便没有关联,也未出现发热、腹泻等伴随症状。在外院检查时,常规实验室检查如血常规、CRP、粪便钙卫蛋白均无异常,胃镜、结肠镜、胶囊内镜及超声内镜检查也未发现溃疡、肿瘤或克罗恩病的迹象。转诊至我院后,马师洋副教授团队另辟蹊径,对患者的腹部 CT 进行了细致入微的 「像素级」 阅片,并通过三维重建分析,敏锐地捕捉到阑尾根部呈现 「折角样」 扭曲,管腔局部狭窄且粘膜皱襞紊乱,虽无典型阑尾炎的周围脂肪条索、粪石等征象,但这一发现与患者的疼痛定位高度吻合,初步判断为非梗阻性阑尾功能障碍。
经过多学科讨论,团队决定采用创新性的经结肠镜阑尾腔内探查术(appendoscopy)。手术过程中,发现阑尾开口充血,内镜深入 5 cm 后遇到管腔扭曲,局部粘膜可见淋巴滤泡增生及微糜烂,未发现肿瘤或粪石。医生以生理盐水脉冲冲洗后,留置引流管 48 小时。令人惊喜的是,术后患者的腹痛症状立刻得到缓解,且在随访 3 个月内未再复发。


传统观念认为,阑尾炎需要出现化脓、穿孔等典型改变,但近年来研究表明,约 4%-15% 的慢性右下腹痛与亚临床阑尾病变有关。马师洋副教授团队此次通过阑尾镜直视下发现的粘膜炎症与解剖异常,为 「功能性阑尾病」 提供了有力证据。团队采用的 「靶向阅片法」,即追踪阑尾全程走行、分析粘膜 - 管腔比例、评估周围血管纹理,成功突破了影像诊断的 「灰度地带」,识别出极易被忽视的形态学线索。而作为新兴技术的阑尾镜,不仅能直视管腔、获取活检,还能通过冲洗、引流恢复管腔通畅,此次创新性应用也证实了其对传统检查阴性的腹痛患者具有重要价值,避免了盲目阑尾切除。
这一病例提醒医疗从业者,慢性腹痛的诊断需将阑尾纳入考量范围,细微的影像学异常可能成为解决疑难病症的关键突破口,内镜技术的创新能够改写诊疗路径。马师洋副教授团队凭借 「毫米级」 洞察与 「微创式」 干预,为腹痛诊疗提供了全新范式,让患者免受病痛折磨,也为医疗领域在疑难腹痛诊断与治疗方面提供了宝贵经验。
好文章,需要你的鼓励