有些东西一旦着迷
想摆脱就有点困难了
比如→麻将
就算摸不着
也得在旁「指点江山」过过瘾
这天夜里,来自重庆的江先生(化名)在看别人打麻将看得正起劲之时,他突然感到胸口一阵压榨样疼痛,有点喘不过气来。
于是他赶紧离开了,不料在回家的过程中,江先生走着走着就突然晕倒在地,脸上瞬间摔出了好几个伤口。

没多久江先生自己醒了过来,强忍着不适回到家中和家人一起赶往漳州正兴医院就诊。
到院后医护人员给江先生完善了心电图检查,结果提示 急性心肌梗死。
在向家属告知检查结果及交待病情后,由我院副院长、心血管内科主任桑学东、曾丁邻副主任医师、查庆春主治医师连夜为江先生实施了介入手术。
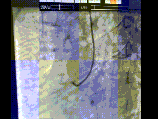
经过冠状动脉造影检查,医生发现江先生的左主干末端、前降支、回旋支均存在 70%-80% 不等的狭窄,该病变为风险叠加的左主干真性分叉病变。

更危险的是其右冠脉近段完全闭塞,这就意味着这根向心肌供血的血管全部被堵住了,如果不能及时开通,将会有更多的心肌坏死,进而出现心脏骤停、猝死等情况。

情况紧急,「救心」团队经过商讨决定分期实施手术:先处理「罪犯血管」——右冠闭塞血管;择期行左主干支架植入术。
手术正有条不紊地进行着,不料,术中患者一度出现血压下降、胸痛难忍等症状,所幸在心血管内科手术团队的全力救治下,一路化险为夷。
随后在导管引导下,手术团队顺利从病变狭窄处抽吸出大块红色血栓后,成功植入一枚支架,支架放开贴壁良好、血管再通、血流恢复,所有动作一气呵成。


经过抢救,江先生胸痛等症状明显好转。术后转入我院 ICU 监护治疗,一天后转至我院心血管内科后备行下一步手术治疗。
六天后,桑学东副院长、曾丁邻副主任医师、查庆春主治医师再次整装上阵,以娴熟的技术将一枚短支架成功植入左主干-前降支,并于左回旋支病变处行药物球囊扩张成形术。
治疗后复查造影显示原病变处已无明显残余狭窄。


手术过程十分顺利,术后患者恢复良好,现已康复出院。

桑学东副院长介绍:在进行看电视、(看人)打牌、下棋此类活动时一定要避免情绪过于激动,长时间的久坐后突然情绪激动容易导致血压飙升,心率加快继而诱发心梗发生。
心梗的发生,常被认为是突然倒地、悄无声息的。实际上,在心梗来临之前,身体会出现一系列的预警征兆。
典型症状有:胸骨后压榨样疼痛,持续不缓解,含服硝酸甘油无效,伴胸闷、气促、呼吸困难等。部分患者还会有明显的出汗、恶心症状。
他也提醒大家,一旦出现持续性胸闷、胸痛不能缓解,需高度怀疑急性心梗,应立即到医院就诊或拨打 120 急救电话。
好文章,需要你的鼓励