近日,南京江北医院神经外科团队成功完成了一例大脑中动脉瘤夹闭术。颅内动脉瘤开颅夹闭术难度大、风险高,是目前神经外科手术中技术要求最高的手术之一,此次手术的成功,为患者开辟了一条生命之路。
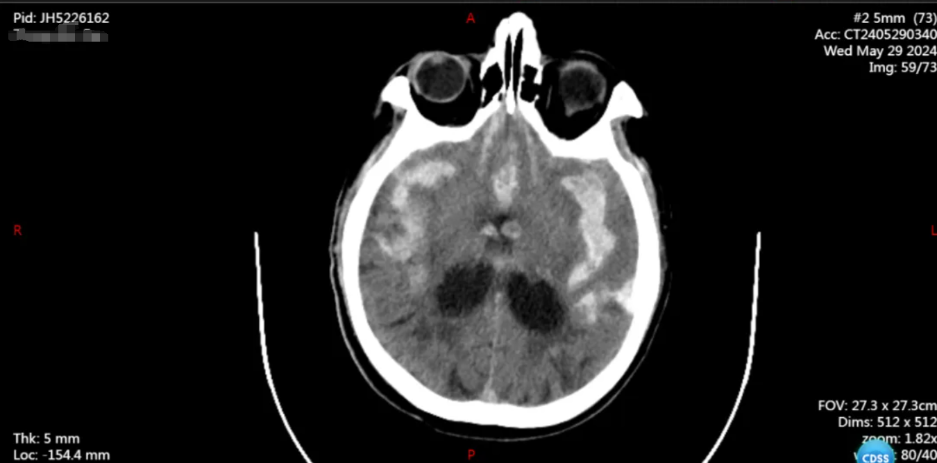
患者章爷爷(化姓),73 岁,安徽来安人,5 月 29 日晚上,因"被发现意识不清 2 小时"被送入外院就诊。接诊医生检查后发现他神志浅昏迷、无意识睁眼、不能言语、四肢肌力检查不配合等症状,做了头颅 CT 发现蛛网膜下腔出血。
患者病情危重,被紧急转院至我院,经头颈部 CTA 后,医生诊断:
1、左侧大脑中动脉瘤破裂伴蛛网膜下腔出血
2、意识模糊


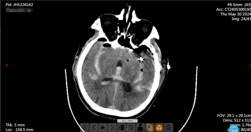
我院神经外科团队立即行动,予以对症治疗,同时,在征求患者家属同意后,决定为患者实施开颅动脉瘤夹闭术。时间就是生命,由汤明磊主任主刀,急诊在全麻下行左侧大脑中动脉瘤夹闭术。

手术很顺利,术后患者安返病房,复查头颅 CT 提示左侧大脑中动脉瘤夹闭完全,载瘤动脉通畅,继续予以对症支持治疗。
汤主任告诉我们,若患者的颅内动脉瘤破裂出血,并形成局部颅内血肿,引起头晕、呕吐、昏迷等情况时,需要紧急进行颅内动脉瘤夹闭术。该项技术手术费用相对低,术后不用服用双抗治疗。



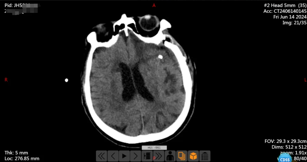
术后经过医护人员精心护理,目前章爷爷神志清楚,能自主睁眼,遵医嘱活动,对答切题,GCS 评分 15 分 (E4V5M6),可以适当床上活动。
目前恢复良好的章爷爷
颅内动脉瘤是指脑动脉内腔的局限性异常扩大造成动脉壁的一种瘤状突出。颅内动脉瘤多因脑动脉管壁局部的先天性缺陷和腔内压力增高的基础上引起囊性膨出,是造成蛛网膜下腔出血的首位病因,致死率极高,即便幸存下来的患者,也往往会遗留后遗症,所以常被人们形象地称为颅内的「不定时炸弹」。
动脉瘤一旦破裂出血,临床表现为严重的蛛网膜下腔出血,发病急剧,患者剧烈头痛,频繁呕吐,大汗淋漓,体温可升高,也可能出现意识障碍,甚至昏迷。
脑动脉瘤在破裂前,一般都没有明显的症状,但一旦破裂,如果抢救不及时,死亡率很高,所以江湖人称藏在大脑里的「隐形杀手」。因此,当出现不明原因的头疼、呕吐、头晕等症状时,需警惕脑动脉瘤,及时就医。
好文章,需要你的鼓励