发布于:2025-08-25
原创

13 岁少年耳疾引发颅内感染——专家提醒:莫把「耳流脓」当小事!

一名 13 岁少年因「意识丧失 3 天」于近日被紧急送入 河南科技大学第二附属医院。颅脑 MRI 提示:患者左侧颞叶脑脓肿,进一步完善颞骨 CT 提示左侧中耳胆脂瘤。进一步追问发现患者既往有左耳间断流脓 3 年病史,间断出现头痛。

13 岁少年耳疾引发颅内感染——专家提醒:莫把「耳流脓」当小事!
术前 MRI(圆圈所示为脓肿所在位置)
13 岁少年耳疾引发颅内感染——专家提醒:莫把「耳流脓」当小事!
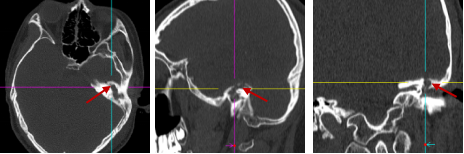
术前 CT(箭头为中耳胆脂瘤骨质破坏缺损处)

经神经外科、耳鼻咽喉科及全院专家会诊讨论,考虑患者为中耳胆脂瘤并发耳源性脑脓肿。然而患者在入院后病情开始急剧恶化,出现意识淡漠、高热及喷射性呕吐等严重颅内高压症状,情况十分危急。

时间就是生命!两科室火速联合实施急诊手术。神经外科团队率先进行脑脓肿引流术,成功清除 25 ml 致命脓液。鉴于患者生命体征极不稳定,耳鼻咽喉科团队接力完成耳内镜下鼓室探查术。术中发现外耳道及鼓室充满肉芽组织和粘稠脓液,上鼓室更被白色胆脂瘤组织完全堵塞。手术团队给予过氧化氢及盐水反复冲洗,彻底清除病灶并建立通畅引流通道,为后续择期进行乳突根治手术奠定了基础。

13 岁少年耳疾引发颅内感染——专家提醒:莫把「耳流脓」当小事!
外耳道肿胀充满肉芽组织
13 岁少年耳疾引发颅内感染——专家提醒:莫把「耳流脓」当小事!

耳源性脑脓肿:隐匿的致命威胁

耳源性脑脓肿是在中耳炎症性疾病发展过程中,通过血液感染或破坏周围骨质等方式向脑组织侵犯而引起的脑脓肿,是耳科疾病 最为严重的颅内并发症之一。

耳源性脑脓肿初期表现出间断剧烈头痛、呕吐、发热等症状,症状逐步加重,发展至终末期可形成脑疝,及时治疗可好转,延误就诊可致突然死亡。

该病治疗原则是积极抗感染的同时防止颅内压增高,避免脑疝形成。脑脓肿包膜形成后,及时手术清理感染病灶并切除脑脓肿。

如何守护健康,远离耳源性脑脓肿?

专家给出关键建议:

1. 积极治疗耳部感染

及时干预中耳炎/乳突炎:一旦出现耳痛、流脓、听力下降等症状,需立即就医,尤其是中耳胆脂瘤(易破坏骨质导致感染扩散)。同时规范用药,遵医嘱使用抗生素, 避免自行停药或滥用药物导致耐药性。

2. 保持耳部卫生与防护

出现中耳炎后注意正确清洁耳道,游泳、洗澡时使用耳塞或防水帽,避免污水进入耳道。

3. 阻断感染扩散途径

避免用力擤鼻:防止鼻腔分泌物经咽鼓管逆流至中耳。

勿自行使用耳部药粉:不溶性药粉可能堵塞耳道,导致脓液积聚并侵入颅内

4. 增强免疫力与健康管理

控制上呼吸道感染:及时治疗感冒、鼻炎等,减少咽鼓管功能障碍引发的中耳炎风险。均衡饮食(富含蛋白质、维生素)、规律运动、充足睡眠,提升抵抗力。 

5. 定期检查与高风险人群关注

定期耳科体检:慢性中耳炎患者需定期复查(如 CT 检查),监测骨质破坏情况。

紧急情况处理: 若出现持续头痛、高热、呕吐或意识障碍,必须争分夺秒送医——这极可能是颅内感染的生死信号!

推荐阅读

合作咨询