近日,北京大学第三医院延安分院(延安市中医医院)消化内科顺利完成了院内首例肠道支架置入术。该手术的成功实施,标志着我院不仅内镜下治疗技术迈上了新台阶,而且在微创手术领域获得新突破!
病例回顾
70 岁的患者曹某,因「腹痛、呕吐、停止排气、排便 1 天。」主诉入院,初步诊断不完全性肠梗阻。患者完善全腹部增强 CT 提示:回肠远段、结肠肠梗阻,梗阻点位于乙状结肠与直肠交界区。入院后给予胃肠减压、灌肠通便、止痛、补液支持等治疗后患者腹痛、腹胀、恶心、呕吐症状持续不能缓解。消化内科请普外科会诊后建议外科手术治疗,由于不能行术前肠道准备,手术处理非常困难,需要首先进行临时结肠造瘘,后期再进行二次手术治疗。

由于该患者年纪大,基础疾病多,罹患高血压病、2 型糖尿病等,行外科手术治疗风险较大,且造瘘后严重影响患者生活质量。消化内科主任郭锐带领科内骨干反复多次讨论、评估患者病情并做出详细的诊疗方案,与患者家属充分沟通后,最终决定为患者行肠镜检查明确肠道情况,必要时给予肠道支架置入以解除梗阻。


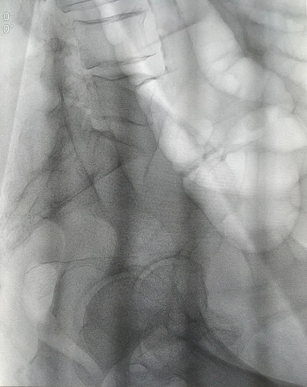
确定诊疗方案后,因患者病情发展较快,消化内科团队为患者开展了急诊肠镜。肠镜检查发现,进镜至距肛缘约 10 cm 处可见一肿物,呈隆起性生长,表面有出血,附有脓苔,考虑直肠恶性肿瘤可能性大,因肠腔水肿、狭窄明显,镜身不能通过,切开刀带导丝进入远端肠道,造影可见肠道呈截断性狭窄。


为快速缓解症状、解除患者疼痛,消化内科郭锐主任及张磊护师结合患者具体情况,决定给予肠道支架置入解除肠道梗阻,使患者免遭肠造瘘的痛苦,为择期手术切除直肠病变做好准备。由于病变导致肠腔严重狭窄,肠道支架置入难度也随之增加,郭锐主任凭借夯实的理论基础及高超的操作技术,通过 DSA 及肠镜联合引导,成功完成了肠道内金属支架置入术。术后患者能自主排便,腹痛、腹胀症状明显缓解,现已出院。
消化内科郭锐主任介绍
「结直肠癌所致的肠梗阻需要急诊外科手术治疗,因该病早期没有典型的临床症状,许多患者直到出现急性梗阻才到医院就诊,而此时病情已到中晚期。由于不能行术前肠道准备,手术处理非常困难,通常需要进行临时或者永久性的结肠造瘘,这种做法虽然可暂时缓解梗阻,但手术存在一定感染风险,且造瘘后严重影响患者生活质量。」
科普小知识:什么是肠道支架?
即在肠道狭窄的部位放置一个网状支架将肠道撑开,使狭窄或阻塞部位重新恢复通畅,可作为结直肠癌恶性梗阻的永久或暂时性治疗。肠道支架的过渡性放置,使梗阻性结直肠癌患者的肠道局部和全身状态恢复或接近无梗阻状态,2-3 周后再选择结直肠癌的 I 期手术方式处理,降低造瘘率、改善患者生存质量。肠道支架置入的引导方式有 DSA 引导和肠镜引导,DSA 引导通过注入对比剂能透视到狭窄近段肠腔扩张的程度,以及导丝是否确定在肠腔内;肠镜引导能直接清晰地看到狭窄远段肠腔的情况,尤其是狭窄段外口的具体位置;两者结合对重度狭窄、甚至闭塞的肠腔寻得一丝缝隙,使得支架置入获得成功。
好文章,需要你的鼓励