近日,北京大学第三医院延安分院(延安市中医医院)骨科来了位被家人用轮椅推入门诊的高龄患者,她 17 年前行右侧全髋关节置换手术,3 年前患髋再次出现疼痛,目前因为疼痛已几乎不能行走。

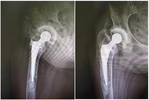
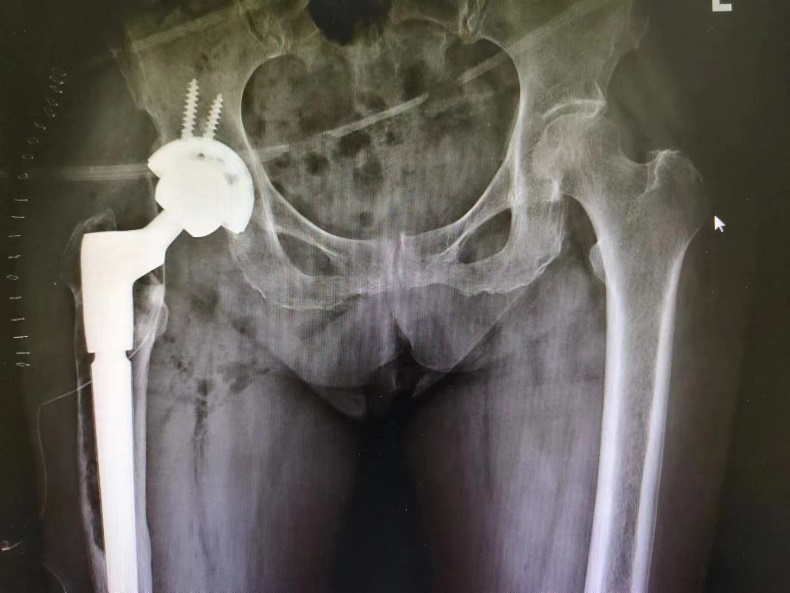
骨科副主任王建伟门诊查体并进行髋 DR 检查发现,患者右侧人工髋关节假体周围骨溶解严重,假体下沉松动。于是骨科团队考虑患者疼痛为人工髋关节置换术后假体松动所致,要想彻底治愈只能做翻修手术。



入院后,骨科主任姜宇高度重视,多次组织科内医生讨论关节置换方案,将患者查体情况及影像学资料发送至北医三院本部骨科田华教授等多位全国知名关节组专家讨论请教并听取了他们宝贵的意见。
经过充分术前检查和准备,并制定详细手术预案后,骨科团队决定为患者行右侧全髋关节翻修术。

3 月 8 日,由骨科副主任王建伟主任医师主刀,李延明副主任医师、蔡文龙主治医师、杨志军住院总医师为助手,髋关节翻修手术历时 3 小时按照术前计划顺利完成。术后拍患肢 X 光片提示翻修假体型号、位置良好,完全纠正了术前患肢的短缩畸形。

骨科副主任王建伟主任医师介绍说:
人工髋关节翻修是初次髋关节置换术后假体出现松动、感染、骨溶解、磨损、反复脱位、骨折、假体断裂等情况,需要全部或者部分更换原假体的手术,由于人工髋关节翻修手术要比初次手术复杂得多。髋关节翻修术中有时还会遇到意想不到的困难,需要变更手术方案,所以人工髋关节翻修是一个高难度、高风险手术,对手术医生的技术要求及团队协作能力要求更高。
能引起髋关节疼痛的疾病很多,包括髋关节骨性关节炎、髋关节周围肌肉韧带劳损、股骨头缺血坏死以及髋关节外伤、骨折等。无论是何种原因,当出现髋关节疼痛以后,首先要减少负重活动,局部进行热疗或物理治疗。如果是由于肌肉韧带劳损造成的髋关节疼痛,可进行推拿,按摩局部,外用活血止痛膏等药物治疗。如果疼痛比较严重,建议尽快到医院拍片检查,确诊病情后选择是否需进行手术治疗。
好文章,需要你的鼓励